Skip to main content

Key Product Details

Species Reactivity

Human, Mouse

Applications

Immunohistochemistry, Immunocytochemistry

Label

Unconjugated

Antibody Source

Monoclonal Mouse IgG2B Clone # 976401

Product Specifications

Immunogen

Synthetic peptide containing human Adropin
Accession # Q6UWT2

Specificity

Detects human Adropin in direct ELISAs. Detects human and mouse Adropin in immunocytochemistry.

Clonality

Monoclonal

Host

Mouse

Isotype

IgG2B

Scientific Data Images for Human/Mouse Adropin Antibody

Adropin antibody in SH-SY5Y Human Cell Line by Immunocytochemistry (ICC).

Adropin in SH‑SY5Y Human Cell Line.

Adropin was detected in immersion fixed SH-SY5Y human neuroblastoma cell line using Mouse Anti-Human Adropin Monoclonal Antibody (Catalog # MAB9690) at 25 µg/mL for 3 hours at room temperature. Cells were stained using the NorthernLights™ 557-conjugated Anti-Mouse IgG Secondary Antibody (red; NL007) and counterstained with DAPI (blue). Specific staining was localized to cytoplasm. View our protocol for Fluorescent ICC Staining of Cells on Coverslips.
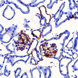
Adropin antibody in Mouse Kidney by Immunohistochemistry (IHC-Fr).

Adropin in Mouse Kidney.

Adropin was detected in perfusion fixed frozen sections of mouse kidney using Mouse Anti-Human Adropin Monoclonal Antibody (Catalog # MAB9690) at 5 µg/mL for 1 hour at room temperature followed by incubation with the Anti-Mouse IgG VisUCyte™ HRP Polymer Antibody (VC001). Tissue was stained using DAB (brown) and counterstained with hematoxylin (blue). Specific staining was localized to cytoplasm in glomeruli. View our protocol for IHC Staining with VisUCyte HRP Polymer Detection Reagents.

Adropin in Human Brain Cortex.

Adropin was detected in Immersion fixed paraffin-embedded sections of human brain cortex using Mouse Anti-Human/Mouse Adropin Monoclonal Antibody (Catalog # MAB9690) at 15 µg/mL for 1 hour at room temperature followed by incubation with the Anti-Mouse IgG VisUCyte™ HRP Polymer Antibody (Catalog # VC001). Before incubation with the primary antibody, tissue was subjected to heat-induced epitope retrieval using Antigen Retrieval Reagent-Basic (Catalog # CTS013). Tissue was stained using DAB (brown) and counterstained with hematoxylin (blue). Specific staining was localized to neuronal cell bodies and processes.

Applications for Human/Mouse Adropin Antibody

Application
Recommended Usage

Immunocytochemistry

5-25 µg/mL
Sample:

Immersion fixed SH-SY5Y human neuroblastoma cell line

Immunohistochemistry

5-25 µg/mL
Sample: Perfusion fixed frozen sections of mouse kidney

Formulation, Preparation, and Storage

Purification

Protein A or G purified from hybridoma culture supernatant

Reconstitution

Reconstitute at 0.5 mg/mL in sterile PBS. For liquid material, refer to CoA for concentration.

Reconstitution Buffer Available:
Size / Price
Qty
Loading...

Formulation

Lyophilized from a 0.2 μm filtered solution in PBS with Trehalose. *Small pack size (SP) is supplied either lyophilized or as a 0.2 µm filtered solution in PBS.

Shipping

Lyophilized product is shipped at ambient temperature. Liquid small pack size (-SP) is shipped with polar packs. Upon receipt, store immediately at the temperature recommended below.

Stability & Storage

Use a manual defrost freezer and avoid repeated freeze-thaw cycles.
  • 12 months from date of receipt, -20 to -70 °C as supplied.
  • 1 month, 2 to 8 °C under sterile conditions after reconstitution.
  • 6 months, -20 to -70 °C under sterile conditions after reconstitution.

Background: Adropin

Adropin (from the gene energy homeostasis-associated protein, ENHO) is a 76 amino acid peptide hormone encoded by the gene ENHO. Adropin levels are regulated by nutrition; a high fat diet in lean C57BL/6J mice produced rapid increase in ENHO expression. It is preferentially expressed in brain and has cardiovascular and metabolic roles in the periphery. Adropin plays a role in metabolic homeostasis, fatty acids metabolism control, insulin resistance prevention, Dyslipidemia and impaired glucose tolerance.  Adropin level is thought to be a factor in obesity because it plays a role in regulating carbohydrate, lipid and protein metabolisms by moderating glucose-mediated insulin release. High plasma levels of Adropin are associated with heart failure and body mass index. Adropin has also been shown to preserve the blood brain barrier and improve neuronal function after intracerebral hemorrhage in mice. 

Alternate Names

C9orf165, ENHO, UNQ470

Entrez Gene IDs

375704 (Human); 69638 (Mouse); 500443 (Rat)

Gene Symbol

ENHO

UniProt

Additional Adropin Products

Product Documents for Human/Mouse Adropin Antibody

Certificate of Analysis

To download a Certificate of Analysis, please enter a lot number in the search box below.

Note: Certificate of Analysis not available for kit components.

Product Specific Notices for Human/Mouse Adropin Antibody

For research use only

Loading...
Loading...
Loading...
Loading...