Skip to main content

Key Product Details

Species Reactivity

Human

Applications

Immunohistochemistry, Western Blot, Flow Cytometry, CyTOF-ready

Label

Unconjugated

Antibody Source

Polyclonal Goat IgG

Product Specifications

Immunogen

Mouse myeloma cell line NS0-derived recombinant human MDL‑1/CLEC5A
Tyr26-Lys188
Accession # Q9NY25

Specificity

Detects human MDL‑1/CLEC5A in direct ELISAs and Western blots. In direct ELISAs and Western blots, approximately 25% cross‑reactivity with recombinant mouse MDL-1 is observed.

Clonality

Polyclonal

Host

Goat

Isotype

IgG

Scientific Data Images for Human MDL-1/CLEC5A Antibody

Detection of Human MDL-1/CLEC5A antibody by Western Blot.

Detection of Human MDL‑1/CLEC5A by Western Blot.

Western blot shows lysates of U937 human histiocytic lymphoma cell line. PVDF membrane was probed with 1 µg/mL of Goat Anti-Human MDL-1/CLEC5A Antigen Affinity-purified Polyclonal Antibody (Catalog # AF2384) followed by HRP-conjugated Anti-Goat IgG Secondary Antibody (Catalog # HAF017). A specific band was detected for MDL-1/CLEC5A at approximately 37-40 kDa (as indicated). This experiment was conducted under reducing conditions and using Immunoblot Buffer Group 1.
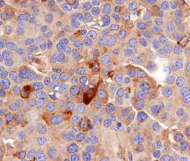
MDL-1/CLEC5A antibody in Human Joint by Immunohistochemistry (IHC-P).

MDL‑1/CLEC5A in Human Joint.

MDL-1/CLEC5A was detected in formalin fixed paraffin-embedded sections of human rheumatoid arthritis joint using Goat Anti-Human MDL-1/CLEC5A Antigen Affinity-purified Polyclonal Antibody (Catalog # AF2384) at 3 µg/mL overnight at 4 °C. Tissue was stained using the Anti-Goat HRP-DAB Cell & Tissue Staining Kit (brown; Catalog # CTS008) and counterstained with hematoxylin (blue). Specific staining was localized to plasma membranes of monocyte colony cells in rheumatoid arthritis joint. View our protocol for Chromogenic IHC Staining of Paraffin-embedded Tissue Sections.

Applications for Human MDL-1/CLEC5A Antibody

Application
Recommended Usage

CyTOF-ready

Ready to be labeled using established conjugation methods. No BSA or other carrier proteins that could interfere with conjugation.

Flow Cytometry

0.25 µg/106 cells
Sample: Human peripheral blood monocytes

Immunohistochemistry

5-15 µg/mL
Sample: Formalin fixed paraffin-embedded sections of human rheumatoid arthritis joint

Western Blot

1 µg/mL
Sample: U937 human histiocytic lymphoma cell line

Formulation, Preparation, and Storage

Purification

Antigen Affinity-purified

Reconstitution

Reconstitute at 0.2 mg/mL in sterile PBS. For liquid material, refer to CoA for concentration.

Reconstitution Buffer Available:
Size / Price
Qty
Loading...

Formulation

Lyophilized from a 0.2 μm filtered solution in PBS with Trehalose. *Small pack size (SP) is supplied either lyophilized or as a 0.2 µm filtered solution in PBS.

Shipping

Lyophilized product is shipped at ambient temperature. Liquid small pack size (-SP) is shipped with polar packs. Upon receipt, store immediately at the temperature recommended below.

Stability & Storage

Use a manual defrost freezer and avoid repeated freeze-thaw cycles.
  • 12 months from date of receipt, -20 to -70 °C as supplied.
  • 1 month, 2 to 8 °C under sterile conditions after reconstitution.
  • 6 months, -20 to -70 °C under sterile conditions after reconstitution.

Background: MDL-1/CLEC5A

MDL-1 is an approximately 40 kDa transmembrane glycoprotein belonging to the C-type lectin superfamily (CLEC5A). MDL-1 is expressed on immature myeloid cells, monocytes, macrophages, dendritic cells, neutrophils, NK cells, and osteocytes. It contains a charged lysine in the transmembrane region that enables it to associate with DAP12 and deliver an activating signal. MDL-1 mediates inflammatory responses during autoimmune arthritis and upon binding to Dengue and Japanese encephalitis viruses. The extracellular domain (ECD) of MDL-1 contains a juxtamembrane stalk region and one C-type lectin domain. Within the ECD, human and mouse MDL-1 share 67% amino acid sequence identity.

Long Name

Myeloid DAP12-associating Lectin

Alternate Names

CLEC5A, CLECSF5, MDL1

Entrez Gene IDs

23601 (Human); 23845 (Mouse)

Gene Symbol

CLEC5A

UniProt

Additional MDL-1/CLEC5A Products

Product Documents for Human MDL-1/CLEC5A Antibody

Certificate of Analysis

To download a Certificate of Analysis, please enter a lot number in the search box below.

Note: Certificate of Analysis not available for kit components.

Product Specific Notices for Human MDL-1/CLEC5A Antibody

For research use only

Loading...
Loading...
Loading...
Loading...
Loading...