Skip to main content

Key Product Details

Species Reactivity

Validated:

Human

Cited:

Human

Applications

Validated:

Immunohistochemistry, Western Blot, Immunocytochemistry

Cited:

Immunohistochemistry

Label

Unconjugated

Antibody Source

Monoclonal Mouse IgG1 Clone # 919330

Product Specifications

Immunogen

E. coli-derived recombinant human LIMD1
Met1-Val143
Accession # Q9UGP4

Specificity

Detects human LIMD1 in direct ELISAs.

Clonality

Monoclonal

Host

Mouse

Isotype

IgG1

Scientific Data Images for Human LIMD1 Antibody

Detection of Human LIMD1 antibody by Western Blot.

Detection of Human LIMD1 by Western Blot.

Western blot shows lysates of Jurkat human acute T cell leukemia cell line and U2OS human osteosarcoma cell line. PVDF membrane was probed with 2 µg/mL of Mouse Anti-Human LIMD1 Monoclonal Antibody (Catalog # MAB8494) followed by HRP-conjugated Anti-Mouse IgG Secondary Antibody (Catalog # HAF018). A specific band was detected for LIMD1 at approximately 75 kDa (as indicated). This experiment was conducted under reducing conditions and using Immunoblot Buffer Group 1.
LIMD1 antibody in HeLa Human Cell Line by Immunocytochemistry (ICC).

LIMD1 in HeLa Human Cell Line.

LIMD1 was detected in immersion fixed HeLa human cervical epithelial carcinoma cell line using Mouse Anti-Human LIMD1 Monoclonal Antibody (Catalog # MAB8494) at 25 µg/mL for 3 hours at room temperature. Cells were stained using the NorthernLights™ 557-conjugated Anti-Mouse IgG Secondary Antibody (red, upper panel; Catalog # NL007) and counterstained with DAPI (blue, lower panel). Specific staining was localized to nuclei. View our protocol for Fluorescent ICC Staining of Cells on Coverslips.
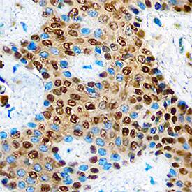
LIMD1 antibody in Human Breast Cancer Tissue by Immunohistochemistry (IHC-P).

LIMD1 in Human Breast Cancer Tissue.

LIMD1 was detected in immersion fixed paraffin-embedded sections of human breast cancer tissue using Mouse Anti-Human LIMD1 Monoclonal Antibody (Catalog # MAB8494) at 15 µg/mL overnight at 4 °C. Tissue was stained using the Anti-Mouse HRP-DAB Cell & Tissue Staining Kit (brown; Catalog # CTS002) and counterstained with hematoxylin (blue). Specific staining was localized to nuclei. View our protocol for Chromogenic IHC Staining of Paraffin-embedded Tissue Sections.

Applications for Human LIMD1 Antibody

Application
Recommended Usage

Immunocytochemistry

8-25 µg/mL
Sample: Immersion fixed HeLa human cervical epithelial carcinoma cell line

Immunohistochemistry

8-25 µg/mL
Sample: Immersion fixed paraffin-embedded sections of human breast cancer tissue

Western Blot

2 µg/mL
Sample: Jurkat human acute T cell leukemia cell line and U2OS human osteosarcoma cell line

Formulation, Preparation, and Storage

Purification

Protein A or G purified from hybridoma culture supernatant

Reconstitution

Reconstitute at 0.5 mg/mL in sterile PBS. For liquid material, refer to CoA for concentration.

Reconstitution Buffer Available:
Size / Price
Qty
Loading...

Formulation

Lyophilized from a 0.2 μm filtered solution in PBS with Trehalose. *Small pack size (SP) is supplied either lyophilized or as a 0.2 µm filtered solution in PBS.

Shipping

Lyophilized product is shipped at ambient temperature. Liquid small pack size (-SP) is shipped with polar packs. Upon receipt, store immediately at the temperature recommended below.

Stability & Storage

Use a manual defrost freezer and avoid repeated freeze-thaw cycles.
  • 12 months from date of receipt, -20 to -70 °C as supplied.
  • 1 month, 2 to 8 °C under sterile conditions after reconstitution.
  • 6 months, -20 to -70 °C under sterile conditions after reconstitution.

Background: LIMD1

Human LIM Domain-containing Protein 1 (LIMD1) is a ubiquitous tumor suppressor 72 kDa protein which has three LIM zinc-binding domains. Via its LIM domains LIMD1 interacts with TRAF6, SNAI2/SLUG  and SCRT1 (via SNAG domain) proteins. It also interacts with SQSTM1 and RB1, EIF4E, AGO1, AGO2, DCP2, DDX6, LATS1, LATS2, EGLN1/PHD2, EGLN2/PHD1 and EGLN3/PHD3 proteins. LIMD1 interacts with isoform 1 and isoform 3 of VHL and with SNAI1 proteins. LIMD1 localized predominantly in the cytoplasm but shuttles between cytoplasm and nucleus where it can be often detected: strong nuclear expression is indicative for a low-tumor grade and a better patient prognosis. Down-regulation  of LIMD1 is in the nuclei of neoplastic cells, is the indication for a poor prognosis of breast cancer. The correlation exists between LIMD1 and IRF4 in cell lines derived from lymphomas. In ulcerative epithelium it was found that LIMD1 has a reduced nuclear expression. LIMD1 is encoded at chromosome 3p21.3, a region which is deleted in many solid tumors and LIMD1 is down-regulated in the majority of human lung cancer samples. LIMD1 also is a regulator of both bone osetoclast and bone osteoblast development and function. Human LIMD1 shares 77% aa sequence identity with both rat and mouse LIMD1.         

Long Name

LIM Domains Containing 1

Alternate Names

LIM domain-containing protein 1, LIM domains containing 1

Entrez Gene IDs

8994 (Human); 29806 (Mouse); 316101 (Rat)

Gene Symbol

LIMD1

UniProt

Additional LIMD1 Products

Product Documents for Human LIMD1 Antibody

Certificate of Analysis

To download a Certificate of Analysis, please enter a lot number in the search box below.

Note: Certificate of Analysis not available for kit components.

Product Specific Notices for Human LIMD1 Antibody

For research use only

Loading...
Loading...
Loading...
Loading...