Human Lamin B1 Antibody
R&D Systems, part of Bio-Techne | Catalog # AF8525
Key Product Details
Species Reactivity
Human
Applications
Knockout Validated, Immunohistochemistry, Western Blot, Immunocytochemistry
Label
Unconjugated
Antibody Source
Polyclonal Rabbit IgG
Product Specifications
Immunogen
E. coli-derived recombinant human Lamin B1
Met471-Ser582
Accession # P20700
Met471-Ser582
Accession # P20700
Specificity
Detects human Lamin B1 in direct ELISAs and Western blots.
Clonality
Polyclonal
Host
Rabbit
Isotype
IgG
Scientific Data Images for Human Lamin B1 Antibody
Detection of Human, Mouse, and Rat Lamin B1 by Western Blot.
Western blot shows lysates of HeLa human cervical epithelial carcinoma cell line, BaF3 mouse pro-B cell line, and Rat-2 rat embryonic fibroblast cell line. PVDF membrane was probed with 1:1000 dilution of Rabbit Anti-Human Lamin B1 Antigen Affinity-purified Polyclonal Antibody (Catalog # AF8525) followed by HRP-conjugated Anti-Rabbit IgG Secondary Antibody (Catalog # HAF008). A specific band was detected for Lamin B1 at approximately 70 kDa (as indicated). This experiment was conducted under reducing conditions and using Immunoblot Buffer Group 1.Lamin B1 in HeLa Human Cell Line.
Lamin B1 was detected in immersion fixed HeLa human cervical epithelial carcinoma cell line using Rabbit Anti-Human Lamin B1 Antigen Affinity-purified Polyclonal Antibody (Catalog # AF8525) at 1:150 dilution for 3 hours at room temperature. Cells were stained using the NorthernLights™ 557-conjugated Anti-Rabbit IgG Secondary Antibody (red; Catalog # NL004) and counterstained with DAPI (blue). Specific staining was localized to nuclear membrane. View our protocol for Fluorescent ICC Staining of Cells on Coverslips.Lamin B1 in Human Liver.
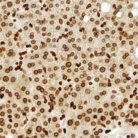
Lamin B1 was detected in immersion fixed paraffin-embedded sections of human liver using Rabbit Anti-Human Lamin B1 Antigen Affinity-purified Polyclonal Antibody (Catalog # AF8525) at 1:15 dilution overnight at 4 °C. Tissue was stained using the Anti-Rabbit HRP-DAB Cell & Tissue Staining Kit (brown; Catalog # CTS005) and counterstained with hematoxylin (blue). Specific staining was localized to nuclear membranes. View our protocol for Chromogenic IHC Staining of Paraffin-embedded Tissue Sections.Applications for Human Lamin B1 Antibody
Application
Recommended Usage
Immunocytochemistry
1:150 dilution
Sample: Immersion fixed HeLa human cervical epithelial carcinoma cell line
Sample: Immersion fixed HeLa human cervical epithelial carcinoma cell line
Immunohistochemistry
1:15 dilution
Sample: Immersion fixed paraffin-embedded sections of human liver
Sample: Immersion fixed paraffin-embedded sections of human liver
Knockout Validated
Lamin
B1 is specifically detected in HeLa human cervical epithelial carcinoma parental cell line but is not detectable
in Lamin B1 knockout HeLa cell line.
Western Blot
1:1000 dilution
Sample: HeLa human cervical epithelial carcinoma cell line, BaF3 mouse pro-B cell line, and Rat‑2 rat embryonic fibroblast cell line
Sample: HeLa human cervical epithelial carcinoma cell line, BaF3 mouse pro-B cell line, and Rat‑2 rat embryonic fibroblast cell line
Formulation, Preparation, and Storage
Purification
Antigen Affinity-purified
Formulation
Supplied as a solution in PBS containing BSA, Glycerol and Sodium Azide. See Certificate of Analysis for details.
Shipping
The product is shipped with polar packs. Upon receipt, store it immediately at the temperature recommended below.
Stability & Storage
Use a manual defrost freezer and avoid repeated freeze-thaw cycles.
- 12 months from date of receipt, -20 to -70 °C, as supplied.
- 1 month, 2 to 8 °C under sterile conditions after opening.
- 6 months, -20 to -70 °C under sterile conditions after opening.
Background: Lamin B1
Alternate Names
ADLD, LMN2, LMNB1
Gene Symbol
LMNB1
UniProt
Additional Lamin B1 Products
Product Documents for Human Lamin B1 Antibody
Product Specific Notices for Human Lamin B1 Antibody
* Contains <0.1% Sodium Azide, which is not hazardous at this concentration according to GHS classifications. Refer to SDS for additional information and handling instructions.
For research use only
Loading...
Loading...
Loading...
Loading...