Skip to main content

Key Product Details

Species Reactivity

Validated:

Human

Cited:

Human

Applications

Validated:

Immunohistochemistry, Western Blot, Flow Cytometry, CyTOF-ready

Cited:

Immunohistochemistry, Western Blot

Label

Unconjugated

Antibody Source

Polyclonal Goat IgG

Product Specifications

Immunogen

Mouse myeloma cell line NS0-derived recombinant human IL‑17 RD/SEF
Ala27-Arg299
Accession # AAM77571

Specificity

Detects human IL‑17 RD/SEF in direct ELISAs and Western blots. In direct ELISAs, approximately 40% cross-reactivity with recombinant mouse (rm) IL-17 RD is observed and less than 10% cross-reactivity with recombinant human (rh) IL-17 RC, rmIL-17B R, and rhIL-17 R is observed.

Clonality

Polyclonal

Host

Goat

Isotype

IgG

Scientific Data Images for Human IL-17RD/SEF Antibody

Detection of IL-17 RD/SEF antibody in K562 Human Cell Line antibody by Flow Cytometry.

Detection of IL-17 RD/SEF in K562 Human Cell Line by Flow Cytometry.

K562 human chronic myelogenous leukemia cell line was stained with Goat Anti-Human IL-17 RD/SEF Antigen Affinity-purified Polyclonal Antibody (Catalog # AF2275, filled histogram) or isotype control antibody (Catalog # AB-108-C, open histogram), followed by Phycoerythrin-conjugated Anti-Goat IgG Secondary Antibody (Catalog # F0107).
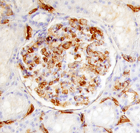
IL-17 RD/SEF antibody in Human Kidney by Immunohistochemistry (IHC-P).

IL-17 RD/SEF in Human Kidney.

IL-17 RD/SEF was detected in immersion fixed paraffin-embedded sections of human kidney using 15 µg/mL Goat Anti-Human IL-17 RD/SEF Antigen Affinity-purified Polyclonal Antibody (Catalog # AF2275) overnight at 4 °C. Tissue was stained with the Anti-Goat HRP-DAB Cell & Tissue Staining Kit (brown; Catalog # CTS008) and counterstained with hematoxylin (blue). Specific labeling was localized to the cytoplasm of glomerulli and endothelial cells in capillaries in connective tissue. View our protocol for Chromogenic IHC Staining of Paraffin-embedded Tissue Sections.

Applications for Human IL-17RD/SEF Antibody

Application
Recommended Usage

CyTOF-ready

Ready to be labeled using established conjugation methods. No BSA or other carrier proteins that could interfere with conjugation.

Flow Cytometry

2.5 µg/106 cells
Sample: K562 human chronic myelogenous leukemia cell line

Immunohistochemistry

5-15 µg/mL
Sample: Immersion fixed paraffin-embedded sections of human kidney

Western Blot

0.1 µg/mL
Sample: Recombinant Human IL-17 RD/SEF (Catalog # 2275-IL)

Reviewed Applications

Read 1 review rated 4 using AF2275 in the following applications:

Formulation, Preparation, and Storage

Purification

Antigen Affinity-purified

Reconstitution

Reconstitute at 0.2 mg/mL in sterile PBS. For liquid material, refer to CoA for concentration.

Reconstitution Buffer Available:
Size / Price
Qty
Loading...

Formulation

Lyophilized from a 0.2 μm filtered solution in PBS with Trehalose. *Small pack size (SP) is supplied either lyophilized or as a 0.2 µm filtered solution in PBS.

Shipping

Lyophilized product is shipped at ambient temperature. Liquid small pack size (-SP) is shipped with polar packs. Upon receipt, store immediately at the temperature recommended below.

Stability & Storage

Use a manual defrost freezer and avoid repeated freeze-thaw cycles.
  • 12 months from date of receipt, -20 to -70 °C as supplied.
  • 1 month, 2 to 8 °C under sterile conditions after reconstitution.
  • 6 months, -20 to -70 °C under sterile conditions after reconstitution.

Background: IL-17RD/SEF

Interleukin-17 receptor D (IL-17 RD), also known as SEF (similar expression to FGFs), is a type I transmembrane protein that is found in both the cytoplasm and plasma membrane (1-5). The gene for this protein belongs to a synexpression group originally identified in zebrafish where SEF is expressed along with FGF-3, -8, sprouty-2 (SPRY2) and SPRY4 (6, 7). By alternate splicing, two transcript variants, potentially encoding three protein isoforms, exist. One is a full-length long form, one a shortened form that uses an alternate start site, and one an alternate splice form that removes the classic signal sequence (1-4). These isoforms have different expression patterns, subcellular localization, and function. The membrane-bound long form of human IL-17RD is synthesized as a 739 amino acid (aa) precursor protein with a putative 27 aa signal peptide, a 272 aa extracellular domain, a 20 aa transmembrane segment and a 420 aa cytoplastic domain. The extracellular domain contains one Ig-like domain and a fibronectin type III motif. The cytoplasmic domain shares homology with the intracellular domains of IL-17 receptor family members and shows one TIR (Toll/IL-1 Receptor) domain and a putative TRAF6-binding motif (2). Natural IL-17 RD has been shown to form homomultimeric complexes (3). Unlike the alternate splice form of IL-17 RD that has a restricted pattern of expression, the full-length IL-17 RD isoform is expressed in most adult tissues and during embryonic development (3, 5). Functionally, IL-17 RD has been shown to be an inhibitor of FGF signaling. The molecule’s extracellular domain does not seem to be involved. There is an interaction between the intracellular domains of FGFR1/2 and IL-17 RD that blocks ERK dissociation from MEK, thereby interfering with downstream ERK activation of nuclear Elk-1 (8). IL-17 RD has also been reported to interact with TAK1 and induce JNK activation and apoptosis (9). Ligands that interact with the extracellular domain of IL-17 RD have not been identified.

References

  1. Furthauer, M. et al. (2002) Nat. Cell Biol. 4:170.
  2. Xiong, S. et al. (2003) J. Biol. Chem. 278:50273.
  3. Yang, R-B. et al. (2003) J. Biol. Chem. 278:33232.
  4. Preger, E. et al. (2003) Proc. Natl. Acad. Sci. USA 101:1229.
  5. Lin, W. et al. (2002) Mech. Dev. 113:163.
  6. Tsang, M. et al. (2002) Nat. Cell Biol. 4:165.
  7. Kovalenko, D. et al. (2003) J. Biol. Chem. 278:14087.
  8. Torii, S. et al. (2004) Dev. Cell 7:33.
  9. Yang, X. et al. (2004) J. Biol. Chem. 279:38099.

Long Name

Interleukin 17 Receptor D, Transcript Variant 3

Alternate Names

IL-17 RD, IL17RD, IL17RLM, SEF

Entrez Gene IDs

54756 (Human); 171463 (Mouse)

Gene Symbol

IL17RD

UniProt

Additional IL-17RD/SEF Products

Product Documents for Human IL-17RD/SEF Antibody

Certificate of Analysis

To download a Certificate of Analysis, please enter a lot number in the search box below.

Note: Certificate of Analysis not available for kit components.

Product Specific Notices for Human IL-17RD/SEF Antibody

For research use only

Loading...
Loading...
Loading...
Loading...
Loading...