Human IA-2/PTPRN Antibody
R&D Systems, part of Bio-Techne | Catalog # MAB7906

Conjugate
Catalog #
Key Product Details
Species Reactivity
Human
Applications
Immunohistochemistry, Western Blot, Simple Western
Label
Unconjugated
Antibody Source
Monoclonal Mouse IgG2A Clone # 815811
Product Specifications
Immunogen
E. coli-derived recombinant human IA-2/PTPRN
Val35-Arg575
Accession # Q16849
Val35-Arg575
Accession # Q16849
Specificity
Detects human IA-2/PTPRN in ELISAs.
Clonality
Monoclonal
Host
Mouse
Isotype
IgG2A
Scientific Data Images for Human IA-2/PTPRN Antibody
Detection of Human IA-2/PTPRN by Western Blot.
Western blot shows lysates of human brain (hypothalamus) tissue and human brain (hippocampus) tissue. PVDF membrane was probed with 1 µg/mL of Mouse Anti-Human IA-2/PTPRN Monoclonal Antibody (Catalog # MAB7906) followed by HRP-conjugated Anti-Mouse IgG Secondary Antibody (Catalog # HAF018). A specific band was detected for IA-2/PTPRN at approximately 70 kDa (as indicated). This experiment was conducted under reducing conditions and using Immunoblot Buffer Group 1.IA-2/PTPRN in Human Pancreas.
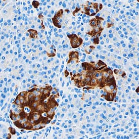
IA-2/PTPRN was detected in immersion fixed paraffin-embedded sections of human pancreas using Mouse Anti-Human IA-2/PTPRN Monoclonal Antibody (Catalog # MAB7906) at 15 µg/mL overnight at 4 °C. Before incubation with the primary antibody, tissue was subjected to heat-induced epitope retrieval using Antigen Retrieval Reagent-Basic (Catalog # CTS013). Tissue was stained using the Anti-Mouse HRP-DAB Cell & Tissue Staining Kit (brown; Catalog # CTS002) and counterstained with hematoxylin (blue). Specific staining was localized to islets. View our protocol for Chromogenic IHC Staining of Paraffin-embedded Tissue Sections.Detection of Human IA-2/PTPRN by Simple WesternTM.
Simple Western lane view shows lysates of human brain (hypothalamus) tissue, loaded at 0.5 mg/mL. A specific band was detected for IA-2/PTPRN at approximately 78 kDa (as indicated) using 10 µg/mL of Mouse Anti-Human IA-2/PTPRN Monoclonal Antibody (Catalog # MAB7906) . This experiment was conducted under reducing conditions and using the 12-230 kDa separation system.Applications for Human IA-2/PTPRN Antibody
Application
Recommended Usage
Immunohistochemistry
8-25 µg/mL
Sample: Immersion fixed paraffin-embedded sections of human pancreas
Sample: Immersion fixed paraffin-embedded sections of human pancreas
Simple Western
10 µg/mL
Sample: Human brain (hypothalamus) tissue
Sample: Human brain (hypothalamus) tissue
Western Blot
1 µg/mL
Sample: Human brain (hypothalamus) tissue and human brain (hippocampus) tissue
Sample: Human brain (hypothalamus) tissue and human brain (hippocampus) tissue
Reviewed Applications
Read 1 review rated 5 using MAB7906 in the following applications:
Formulation, Preparation, and Storage
Purification
Protein A or G purified from hybridoma culture supernatant
Reconstitution
Sterile PBS to a final concentration of 0.5 mg/mL. For liquid material, refer to CoA for concentration.
Formulation
Lyophilized from a 0.2 μm filtered solution in PBS with Trehalose. *Small pack size (SP) is supplied either lyophilized or as a 0.2 µm filtered solution in PBS.
Shipping
Lyophilized product is shipped at ambient temperature. Liquid small pack size (-SP) is shipped with polar packs. Upon receipt, store immediately at the temperature recommended below.
Stability & Storage
Use a manual defrost freezer and avoid repeated freeze-thaw cycles.
- 12 months from date of receipt, -20 to -70 °C as supplied.
- 1 month, 2 to 8 °C under sterile conditions after reconstitution.
- 6 months, -20 to -70 °C under sterile conditions after reconstitution.
Background: IA-2/PTPRN
Long Name
Islet Cell Antigen 2/Protein Tyrosine Phosphatase Receptor-type N
Alternate Names
IA2, ICA512, PTPRN, R-PTP-N
Gene Symbol
PTPRN
UniProt
Additional IA-2/PTPRN Products
Product Documents for Human IA-2/PTPRN Antibody
Product Specific Notices for Human IA-2/PTPRN Antibody
For research use only
Loading...
Loading...
Loading...
Loading...