Skip to main content

Key Product Details

Species Reactivity

Human

Applications

Immunohistochemistry, Immunocytochemistry

Label

Unconjugated

Antibody Source

Recombinant Monoclonal Rabbit IgG Clone # 2765A

Product Specifications

Immunogen

Human GHRHR synthetic peptide sequences within the first extracellular loop of the protein

Accession # Q02643

Specificity

Detects human GHRHR in direct ELISAs.

Clonality

Monoclonal

Host

Rabbit

Isotype

IgG

Scientific Data Images for Human GHRHR Antibody

Detection of GHRHR in Transfected HEK293 (positive) and Wild type (negative) Cells.

GHRHR was detected in immersion fixed transfected HEK293 (positive) and wild type (negative) cells using Rabbit Anti-Human GHRHR Monoclonal Antibody (Catalog # MAB107353) at 3 µg/mL for 3 hours at room temperature. Cells were stained using the NorthernLights™ 557-conjugated Anti-Rabbit IgG Secondary Antibody (red; Catalog # NL004) and counterstained with DAPI (blue). Specific staining was localized to cytoplasm. View our protocol for Fluorescent ICC Staining of Cells on Coverslips.

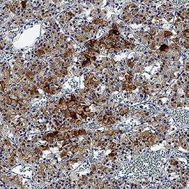
Detection of GHRHR in Human Pituitary.

GHRHR was detected in immersion fixed paraffin-embedded sections of human pituitary using Rabbit Anti-Human GHRHR Monoclonal Antibody (Catalog # MAB107353) at 3 µg/mL for 1 hour at room temperature followed by incubation with the Anti-Rabbit IgG VisUCyte™ HRP Polymer Antibody (Catalog # VC003). Before incubation with the primary antibody, tissue was subjected to heat-induced epitope retrieval using VisUCyte Antigen Retrieval Reagent-Basic (Catalog # VCTS021). Tissue was stained using DAB (brown) and counterstained with hematoxylin (blue). Specific staining was localized to cytoplasm. View our protocol for IHC Staining with VisUCyte HRP Polymer Detection Reagents.

Applications for Human GHRHR Antibody

Application
Recommended Usage

Immunocytochemistry

1-3 µg/mL
Sample: Immersion fixed transfected HEK293 (positive) and wild type (negative) cells

Immunohistochemistry

1-3 µg/mL
Sample: Immersion fixed paraffin-embedded sections of human pituitary

Formulation, Preparation, and Storage

Purification

Protein A or G purified from hybridoma culture supernatant

Reconstitution

Reconstitute at 0.5 mg/mL in sterile PBS. For liquid material, refer to CoA for concentration.

Formulation

Lyophilized from a 0.2 μm filtered solution in PBS with Trehalose. *Small pack size (SP) is supplied either lyophilized or as a 0.2 µm filtered solution in PBS.

Shipping

Lyophilized product is shipped at ambient temperature. Liquid small pack size (-SP) is shipped with polar packs. Upon receipt, store immediately at the temperature recommended below.

Stability & Storage

Use a manual defrost freezer and avoid repeated freeze-thaw cycles.
  • 12 months from date of receipt, -20 to -70 °C as supplied.
  • 1 month, 2 to 8 °C under sterile conditions after reconstitution.
  • 6 months, -20 to -70 °C under sterile conditions after reconstitution.

Background: GHRHR

GHRHR is a GPCR that binds growth hormone-releasing hormone that is expressed in the pituitary.  Significant amounts of GHRHR are also found in the hypothalamus, kidney, and placenta.  GHRH regulates the secretion of growth hormone that controls the metabolism and growth of every tissue through its binding with GHRHR.  Malfunction in GHRHR signaling is associated with abnormal growth.  GHRHR is a therapeutic target against dwarfism, gigantism, lipodystrophy, and certain cancers.

Long Name

Growth Hormone Releasing Hormone Receptor

Alternate Names

GHRFR, GRFR, IGHD1B, Little

Entrez Gene IDs

2692 (Human); 14602 (Mouse); 25321 (Rat)

Gene Symbol

GHRHR

UniProt

Additional GHRHR Products

Product Documents for Human GHRHR Antibody

Certificate of Analysis

To download a Certificate of Analysis, please enter a lot number in the search box below.

Note: Certificate of Analysis not available for kit components.

Product Specific Notices for Human GHRHR Antibody

For research use only

Loading...
Loading...
Loading...
Loading...