Skip to main content

Key Product Details

Species Reactivity

Validated:

Human

Cited:

Human

Applications

Validated:

Immunohistochemistry, Western Blot, Neutralization

Cited:

Immunocytochemistry

Label

Unconjugated

Antibody Source

Polyclonal Goat IgG

Product Specifications

Immunogen

E. coli-derived recombinant human FGF-4
Ala31-Leu206
Accession # P08620

Specificity

Detects human FGF‑4 in direct ELISAs and Western blots. In direct ELISAs, approximately 20% cross-reactivity with recombinant human (rh) FGF-6 is observed and less than 2% cross-reactivity with bovine FGF acidic, bovine FGF basic, rhFGF acidic, rhFGF basic, rh beta‑ECGF, rhFGF-5, rhFGF‑7, rhFGF‑8b, recombinant mouse (rm) FGF‑8b, rmFGF‑8c, and rhFGF‑10 is observed.

Clonality

Polyclonal

Host

Goat

Isotype

IgG

Endotoxin Level

<0.10 EU per 1 μg of the antibody by the LAL method.

Scientific Data Images for Human FGF-4 Antibody

Cell Proliferation Induced by FGF‑4 and Neutralization by Human FGF‑4 Antibody.

Cell Proliferation Induced by FGF‑4 and Neutralization by Human FGF‑4 Antibody.

Recombinant Human FGF-4 (Catalog # 235-F4) stimulates proliferation in the NR6R-3T3 mouse fibroblast cell line in a dose-dependent manner (orange line). Proliferation elicited by Recombinant Human FGF-4 (0.5 ng/mL) is neutralized (green line) by increasing concentrations of Goat Anti-Human FGF-4 Antigen Affinity-purified Polyclonal Antibody (Catalog # AF235). The ND50 is typically 0.3-0.9 µg/mL.
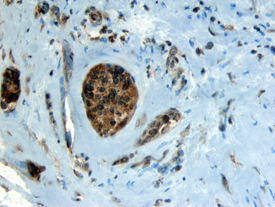
FGF-4 antibody in Human Breast Cancer Tissue by Immunohistochemistry (IHC-P).

FGF‑4 in Human Breast Cancer Tissue.

FGF-4 was detected in immersion fixed paraffin-embedded sections of human breast cancer tissue using Goat Anti-Human FGF-4 Antigen Affinity-purified Polyclonal Antibody (Catalog # AF235) at 15 µg/mL overnight at 4 °C. Before incubation with the primary antibody tissue was subjected to heat-induced epitope retrieval using Antigen Retrieval Reagent-Basic (Catalog # CTS013). Tissue was stained using the Anti-Goat HRP-DAB Cell & Tissue Staining Kit (brown; Catalog # CTS008) and counterstained with hematoxylin (blue). View our protocol for Chromogenic IHC Staining of Paraffin-embedded Tissue Sections.

Applications for Human FGF-4 Antibody

Application
Recommended Usage

Immunohistochemistry

5-15 µg/mL
Sample: Immersion fixed paraffin-embedded sections of human breast and breast cancer tissue

Western Blot

0.1 µg/mL
Sample: Recombinant Human FGF-4 (Catalog # 235-F4)

Neutralization

Measured by its ability to neutralize FGF‑4-induced proliferation in the NR6R‑3T3 mouse fibroblast cell line [Rizzino, A. et al. (1988) Cancer Res. 48:4266]. The Neutralization Dose (ND50) is typically 0.3-0.9 µg/mL in the presence of 0.5 ng/mL Recombinant Human FGF‑4.

Formulation, Preparation, and Storage

Purification

Antigen Affinity-purified

Reconstitution

Reconstitute at 0.2 mg/mL in sterile PBS. For liquid material, refer to CoA for concentration.

Reconstitution Buffer Available:
Size / Price
Qty
Loading...

Formulation

Lyophilized from a 0.2 μm filtered solution in PBS with Trehalose. *Small pack size (SP) is supplied either lyophilized or as a 0.2 µm filtered solution in PBS.

Shipping

Lyophilized product is shipped at ambient temperature. Liquid small pack size (-SP) is shipped with polar packs. Upon receipt, store immediately at the temperature recommended below.

Stability & Storage

Use a manual defrost freezer and avoid repeated freeze-thaw cycles.
  • 12 months from date of receipt, -20 to -70 °C as supplied.
  • 1 month, 2 to 8 °C under sterile conditions after reconstitution.
  • 6 months, -20 to -70 °C under sterile conditions after reconstitution.

Background: FGF-4

FGF-4, the product of a developmentally regulated gene (hst-1), is a member of the FGF family that is efficiently secreted. The gene for FGF-4 (also known as FGFK or K-FGF for Kaposi sarcoma-associated FGF) was initially discovered as a transforming gene by the NIH-3T3 focus formation assay using DNA derived from human tumors (including stomach and colon cancers, hepatocellular carcinomas, and Kaposi’s sarcomas). FGF-4 does not seem to be expressed in normal adult tissues. However, expression of the gene is spatially and temporally regulated during embryonic development. The murine homologue of human FGF-4 has been cloned and shown to be 82% homologous to the human protein at the amino acid sequence level. Human FGF-4 has been shown to exhibit cross species activity.

In vitro, FGF-4 is mitogenic for fibroblasts and endothelial cells. FGF-4 has been shown to be a potent angiogenesis promoter in vivo. FGF-4 has potent transforming potential apparently through an autocrine mechanism of action. FGF-4 plays a key role in limb development and has been identified as the molecular mediator of the activities of the apical ectodermal ridge that is required for directing the outgrowth and patterning of vertebrate limbs.

Long Name

Fibroblast Growth Factor 4

Alternate Names

FGF4, HBGF-4, HST-1, KFGF, KS3

Entrez Gene IDs

2249 (Human); 14175 (Mouse); 116499 (Rat)

Gene Symbol

FGF4

UniProt

Additional FGF-4 Products

Product Documents for Human FGF-4 Antibody

Certificate of Analysis

To download a Certificate of Analysis, please enter a lot number in the search box below.

Note: Certificate of Analysis not available for kit components.

Product Specific Notices for Human FGF-4 Antibody

For research use only

Loading...
Loading...
Loading...
Loading...