Human EGR1 Antibody
R&D Systems, part of Bio-Techne | Catalog # MAB2818
Key Product Details
Species Reactivity
Validated:
Cited:
Applications
Validated:
Cited:
Label
Antibody Source
Product Specifications
Immunogen
Gln282-Ser433
Accession # P18146
Specificity
Clonality
Host
Isotype
Scientific Data Images for Human EGR1 Antibody
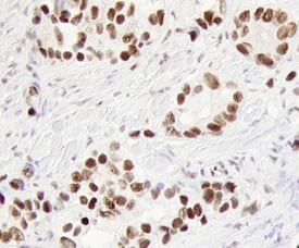
EGR1 in Human Prostate Cancer Tissue.
EGR1 was detected in immersion fixed paraffin-embedded sections of human prostate cancer tissue using 15 µg/mL Rat Anti-Human EGR1 Monoclonal Antibody (Catalog # MAB2818) overnight at 4 °C. Before incubation with the primary antibody tissue was subjected to heat-induced epitope retrieval using Antigen Retrieval Reagent-Basic (Catalog # CTS013). Tissue was stained with the Anti-Rat HRP-DAB Cell & Tissue Staining Kit (brown; Catalog # CTS017) and counterstained with hematoxylin (blue). View our protocol for Chromogenic IHC Staining of Paraffin-embedded Tissue Sections.EGR1 in Human Prostate Cancer Tissue.
EGR1 was detected in immersion fixed paraffin-embedded sections of human prostate cancer tissue using 15 µg/mL Rat Anti-Human EGR1 Monoclonal Antibody (Catalog # MAB2818) overnight at 4 °C. Before incubation with the primary antibody tissue was subjected to heat-induced epitope retrieval using Antigen Retrieval Reagent-Basic (Catalog # CTS013). Tissue was stained with the Anti-Rat HRP-DAB Cell & Tissue Staining Kit (brown; Catalog # CTS017) and counterstained with hematoxylin (blue). View our protocol for Chromogenic IHC Staining of Paraffin-embedded Tissue Sections.Applications for Human EGR1 Antibody
Immunohistochemistry
Sample: Immersion fixed paraffin-embedded sections of human prostate cancer tissue subjected to Antigen Retrieval Reagent-Basic (Catalog # CTS013)
Reviewed Applications
Read 1 review rated 5 using MAB2818 in the following applications:
Formulation, Preparation, and Storage
Purification
Reconstitution
Formulation
Shipping
Stability & Storage
- 12 months from date of receipt, -20 to -70 °C as supplied.
- 1 month, 2 to 8 °C under sterile conditions after reconstitution.
- 6 months, -20 to -70 °C under sterile conditions after reconstitution.
Background: EGR1
Early Growth Response 1, (EGR1) belongs to the EGR family of zinc finger transcription factors and regulates the expression of several tumor suppressors. Its expression is induced by diverse signals that initiate growth and differentiation. EGR1 suppresses or activates cell growth depending on the tumor type. Within the region that includes its three zinc finger domains, human EGR1 shares 99% aa sequence identity with mouse and rat EGR1.
Long Name
Alternate Names
Entrez Gene IDs
Gene Symbol
UniProt
Additional EGR1 Products
Product Documents for Human EGR1 Antibody
Product Specific Notices for Human EGR1 Antibody
For research use only