Skip to main content

Key Product Details

Species Reactivity

Validated:

Human

Cited:

Human

Applications

Validated:

Immunohistochemistry, Immunocytochemistry

Cited:

Immunocytochemistry

Label

Unconjugated

Antibody Source

Monoclonal Mouse IgG1 Clone # 681630

Product Specifications

Immunogen

E. coli-derived recombinant human DNMT3A
Ala353-Lys486
Accession # Q9Y6K1

Specificity

Detects human DNMT3A in direct ELISAs. In direct ELISAS, no cross-reactivity with recombinant human DNMT1 is observed.

Clonality

Monoclonal

Host

Mouse

Isotype

IgG1

Scientific Data Images for Human DNMT3A Antibody

DNMT3A antibody in OVCAR-3 Human Cell Line by Immunocytochemistry (ICC).

DNMT3A in OVCAR‑3 Human Cell Line.

DNMT3A was detected in immersion fixed OVCAR-3 human ovarian carcinoma cell line using Mouse Anti-Human DNMT3A Monoclonal Antibody (Catalog # MAB6315) at 10 µg/mL for 3 hours at room temperature. Cells were stained using the NorthernLights™ 557-conjugated Anti-Mouse IgG Secondary Antibody (red, upper panel; Catalog # NL007) and counterstained with DAPI (blue, lower panel). Specific staining was localized to nuclei. View our protocol for Fluorescent ICC Staining of Cells on Coverslips.

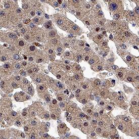
DNMT3A in Human Liver.

DNMT3A was detected in immersion fixed paraffin-embedded sections of human liver using Mouse Anti-Human DNMT3A Monoclonal Antibody (Catalog # MAB6315) at 3 µg/mL for 1 hour at room temperature followed by incubation with the Anti-Mouse IgG VisUCyte™ HRP Polymer Antibody (VC001). Before incubation with the primary antibody, tissue was subjected to heat-induced epitope retrieval using Antigen Retrieval Reagent-Basic (CTS013). Tissue was stained using DAB (brown) and counterstained with hematoxylin (blue). Specific staining was localized to cell nuclei. Staining was performed using our protocol for IHC Staining with VisUCyte HRP Polymer Detection Reagents.

DNMT3A in HeLa Human Cell Line.

DNMT3A was detected in immersion fixed HeLa human cervical epithelial carcinoma cell line (positive staining) and Daudi human Burkitt's lymphoma cell line (negative staining) using Mouse Anti-Human DNMT3A Monoclonal Antibody (Catalog # MAB6315) at 15 µg/mL for 3 hours at room temperature. Cells were stained using the NorthernLights™ 557-conjugated Anti-Mouse IgG Secondary Antibody (red; NL007) and counterstained with DAPI (blue). Specific staining was localized to cell nuclei. Staining was performed using our protocol for Fluorescent ICC Staining of Non-adherent Cells.

Applications for Human DNMT3A Antibody

Application
Recommended Usage

Immunocytochemistry

8-25 µg/mL
Sample: Immersion fixed OVCAR‑3 human ovarian carcinoma cell line and HeLa human cervical epithelial carcinoma cell line

Immunohistochemistry

3-25 µg/mL
Sample: Immersion fixed paraffin-embedded sections of human liver

Reviewed Applications

Read 1 review rated 5 using MAB6315 in the following applications:

Formulation, Preparation, and Storage

Purification

Protein A or G purified from hybridoma culture supernatant

Reconstitution

Sterile PBS to a final concentration of 0.5 mg/mL. For liquid material, refer to CoA for concentration.

Reconstitution Buffer Available:
Size / Price
Qty
Loading...

Formulation

Lyophilized from a 0.2 μm filtered solution in PBS with Trehalose. *Small pack size (SP) is supplied either lyophilized or as a 0.2 µm filtered solution in PBS.

Shipping

Lyophilized product is shipped at ambient temperature. Liquid small pack size (-SP) is shipped with polar packs. Upon receipt, store immediately at the temperature recommended below.

Stability & Storage

Use a manual defrost freezer and avoid repeated freeze-thaw cycles.
  • 12 months from date of receipt, -20 to -70 °C as supplied.
  • 1 month, 2 to 8 °C under sterile conditions after reconstitution.
  • 6 months, -20 to -70 °C under sterile conditions after reconstitution.

Background: DNMT3A

DNMT3A (DNA [cytosine-5]-methyltransferase 3A) is a 130 kDa member of the C5-methlytransferase family of molecules. It is expressed both during development and in virtually all adult tissues except for small intestine. DNMT3A is a nuclear protein that is found associated with heterochromatin. It possesses DNA methyltransferase activity, and acts in a complex with DNMT3L in embryonic stem cells, forming a (3A)2:(3L)2 heterotetramer. It also interacts with SETDB1 to form a transcriptional repressor. Human DNMT3A is 912 amino acids (aa) in length. It contains one ProTrpTrpPro domain (aa 292-350) and one ADD-type zinc finger region (aa 494-586). There is one 100 kDa splice variant termed DNMT3a2 that contains an alternative start site at Met224, and preferentially interacts with euchromatin. Other potential splice variants show a 16 aa substitution for aa 151-912, and a 24 aa substitution for aa 1-213. Over aa 353-486, human DNMT3A shares 96% aa identity with mouse DNMT3A. 

Long Name

DNA [Cytosine-5-]-Methyltransferase 3A

Alternate Names

DNA (cytosine-5-)-methyltransferase 3 alpha, DNA (cytosine-5)-methyltransferase 3A, DNA cytosine methyltransferase 3A2, DNA Methyltransferase 3 Alpha, DNA methyltransferase HsaIIIA, DNA MTase HsaIIIA, Dnmt3a, DNMT3A2, EC 2.1.1.37, M.HsaIIIA, TBRS

Entrez Gene IDs

1788 (Human); 13435 (Mouse); 444984 (Rat)

Gene Symbol

DNMT3A

UniProt

Additional DNMT3A Products

Product Documents for Human DNMT3A Antibody

Certificate of Analysis

To download a Certificate of Analysis, please enter a lot number in the search box below.

Note: Certificate of Analysis not available for kit components.

Product Specific Notices for Human DNMT3A Antibody

For research use only

Loading...
Loading...
Loading...
Loading...