Skip to main content

Key Product Details

Species Reactivity

Human

Applications

Immunohistochemistry

Label

Unconjugated

Antibody Source

Monoclonal Mouse IgG2B Clone # 718916

Product Specifications

Immunogen

E. coli-derived recombinant human Cyclin E2
Met1-Gln140
Accession # O96020

Specificity

Detects human Cyclin E2 in direct ELISAs.

Clonality

Monoclonal

Host

Mouse

Isotype

IgG2B

Scientific Data Images for Human Cyclin E2 Antibody

Cyclin E2 antibody in Human Breast by Immunohistochemistry (IHC-P).

Cyclin E2 in Human Breast.

Cyclin E2 was detected in immersion fixed paraffin-embedded sections of human breast using Mouse Anti-Human Cyclin E2 Monoclonal Antibody (Catalog # MAB7444) at 15 µg/mL overnight at 4 °C. Before incubation with the primary antibody, tissue was subjected to heat-induced epitope retrieval using Antigen Retrieval Reagent-Basic (Catalog # CTS013). Tissue was stained using the Anti-Mouse HRP-DAB Cell & Tissue Staining Kit (brown; Catalog # CTS002) and counterstained with hematoxylin (blue). Specific staining was localized to nuclei in epithelial cells. View our protocol for Chromogenic IHC Staining of Paraffin-embedded Tissue Sections.
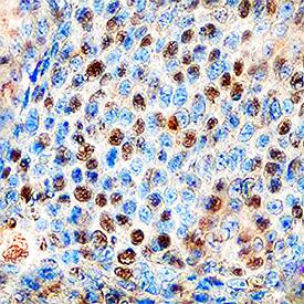
Cyclin E2 antibody in Human Cervical Cancer Tissue by Immunohistochemistry (IHC-P).

Cyclin E2 in Human Cervical Cancer Tissue.

Cyclin E2 was detected in immersion fixed paraffin-embedded sections of human cervical cancer tissue using Mouse Anti-Human Cyclin E2 Monoclonal Antibody (Catalog # MAB7444) at 1.2 µg/mL overnight at 4 °C. Tissue was stained using the Anti-Mouse HRP-DAB Cell & Tissue Staining Kit (brown; Catalog # CTS002) and counterstained with hematoxylin (blue). Specific staining was localized to nuclei. View our protocol for Chromogenic IHC Staining of Paraffin-embedded Tissue Sections.

Applications for Human Cyclin E2 Antibody

Application
Recommended Usage

Immunohistochemistry

8-25 µg/mL
Sample: Immersion fixed paraffin-embedded sections of human breast and human cervical cancer tissue

Formulation, Preparation, and Storage

Purification

Protein A or G purified from hybridoma culture supernatant

Reconstitution

Sterile PBS to a final concentration of 0.5 mg/mL. For liquid material, refer to CoA for concentration.

Reconstitution Buffer Available:
Size / Price
Qty
Loading...

Formulation

Lyophilized from a 0.2 μm filtered solution in PBS with Trehalose. *Small pack size (SP) is supplied either lyophilized or as a 0.2 µm filtered solution in PBS.

Shipping

Lyophilized product is shipped at ambient temperature. Liquid small pack size (-SP) is shipped with polar packs. Upon receipt, store immediately at the temperature recommended below.

Stability & Storage

Use a manual defrost freezer and avoid repeated freeze-thaw cycles.
  • 12 months from date of receipt, -20 to -70 °C as supplied.
  • 1 month, 2 to 8 °C under sterile conditions after reconstitution.
  • 6 months, -20 to -70 °C under sterile conditions after reconstitution.

Background: Cyclin E2

Cyclin E2, also known as CCNE2, is an approximately 45-50 kDa protein that associates with the kinase Cdk2. This complex phosphorylates multiple substrates involved in regulation of cell cycle progression and the initiation of DNA replication. Cyclin E2 is required for G1/S phase progression and cell cycle reentry from G0 phase. Cyclin E2 most highly expressed in testis, thymus, and brain and is frequently upregulated in cancer. Cyclin E2 contains two cyclin box folds (amino acids 141-231 and amino acids 241-361). An alternate splice form lacks 45 amino acids (aa) within the first cyclin box fold. Within aa 1-140, human Cyclin E2 shares 90% aa sequence identity with mouse and rat Cyclin E2.

Alternate Names

CCNE2, CYCE2

Entrez Gene IDs

9134 (Human); 12448 (Mouse); 362485 (Rat)

Gene Symbol

CCNE2

UniProt

Additional Cyclin E2 Products

Product Documents for Human Cyclin E2 Antibody

Certificate of Analysis

To download a Certificate of Analysis, please enter a lot number in the search box below.

Note: Certificate of Analysis not available for kit components.

Product Specific Notices for Human Cyclin E2 Antibody

For research use only

Loading...
Loading...
Loading...
Loading...