Skip to main content

Key Product Details

Species Reactivity

Human

Applications

Immunohistochemistry, Immunocytochemistry

Label

Unconjugated

Antibody Source

Monoclonal Mouse IgG2A Clone # 358440

Product Specifications

Immunogen

NS0 mouse myeloma cell line transfected with human CXCR7/RDC‑1
Met1-Lys362
Accession # AAA62370

Specificity

Detects human CXCR7/RDC-1 in direct ELISAs.

Clonality

Monoclonal

Host

Mouse

Isotype

IgG2A

Scientific Data Images for Human CXCR7/RDC-1 Antibody

CXCR7/RDC-1 in MCF-7 Human Cell Line.

CXCR7/RDC-1 was detected in immersion fixed MCF-7 human breast cancer cell line using Mouse Anti-Human CXCR7/RDC-1 Monoclonal Antibody (Catalog # MAB42274) at 8 µg/mL for 3 hours at room temperature. Cells were stained using the NorthernLights™ 557-conjugated Anti-Mouse IgG Secondary Antibody (red; NL007) and counterstained with DAPI (blue). Specific staining was localized to cell surface and cytoplasm. Staining was performed using our protocol for Fluorescent ICC Staining of Non-adherent Cells.

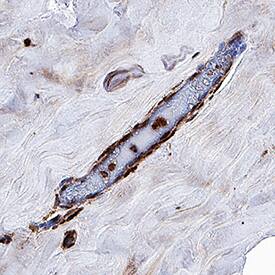
CXCR7/RDC-1 in Human Breast Cancer Tissue.

CXCR7/RDC-1 was detected in immersion fixed paraffin-embedded sections of human breast cancer tissue using Mouse Anti-Human CXCR7/RDC-1 Monoclonal Antibody (Catalog # MAB42274) at 0.5 µg/mL for 1 hour at room temperature followed by incubation with the Anti-Mouse IgG VisUCyte™ HRP Polymer Antibody (VC001). Before incubation with the primary antibody, tissue was subjected to heat-induced epitope retrieval using Antigen Retrieval Reagent-Basic (CTS013). Tissue was stained using DAB (brown) and counterstained with hematoxylin (blue). Specific staining was localized to endothelial cells. Staining was performed using our protocol for IHC Staining with VisUCyte HRP Polymer Detection Reagents.

Applications for Human CXCR7/RDC-1 Antibody

Application
Recommended Usage

Immunocytochemistry

8-25 µg/mL
Sample: Immersion fixed MCF‑7 human breast cancer cell line

Immunohistochemistry

0.5-25 µg/mL
Sample: Immersion fixed paraffin-embedded sections of human breast cancer tissue

Reviewed Applications

Read 1 review rated 5 using MAB42274 in the following applications:

Formulation, Preparation, and Storage

Purification

Protein A or G purified from hybridoma culture supernatant

Reconstitution

Reconstitute at 0.5 mg/mL in sterile PBS. For liquid material, refer to CoA for concentration.

Reconstitution Buffer Available:
Size / Price
Qty
Loading...

Formulation

Lyophilized from a 0.2 μm filtered solution in PBS with Trehalose. *Small pack size (SP) is supplied either lyophilized or as a 0.2 µm filtered solution in PBS.

Shipping

Lyophilized product is shipped at ambient temperature. Liquid small pack size (-SP) is shipped with polar packs. Upon receipt, store immediately at the temperature recommended below.

Stability & Storage

Use a manual defrost freezer and avoid repeated freeze-thaw cycles.
  • 12 months from date of receipt, -20 to -70 °C as supplied.
  • 1 month, 2 to 8 °C under sterile conditions after reconstitution.
  • 6 months, -20 to -70 °C under sterile conditions after reconstitution.

Background: CXCR7/RDC-1

The G protein-coupled receptor, RDC1, belongs to a subgroup of chemokine receptors and has been designated CXCR7. CXCR7 can bind with high-affinity to CXCL12/SDF-1 and CXCL11/I-TAC. It is also a co-receptor for several HIV and SIV strains. In their N-termini and extracellular loops 1, 2, and 3, human and mouse CXCR7 share 84%, 100%, 96% and 86% amino acid sequence identity, respectively. Reports of mRNA levels and/or protein expression (as assessed using anti‑CXCR7, clone 9C4) (1, 2) indicate that CXCR7 occurs on a wide variety of tissues and cells including monocytes, B cells, T cells and mature dendritic cells. In contrast, based on ligand binding analysis and receptor level (as assessed using anti‑CXCR7, clone 11G8), surface expression of CXCR7 was reported to be restricted to tumor cells, activated endothelial cells, fetal liver cells, and few other cell types (3). The basis of these inconsistent observations is not known but may be attributed to cell context and the use of different antibodies that may recognize different epitopes.

References

  1. Balabanian, K. et al. (2005) J. Biol. Chem. 280:35760.
  2. Infantino, S. et al. (2006) J. Immunol. 176:2197.
  3. Burns, J.M. et al. (2006) J. Exp. Med. 203:2201.

Alternate Names

ACKR3, CMKOR1, CXCR7, GPR159, RDC-1

Entrez Gene IDs

57007 (Human); 12778 (Mouse); 84348 (Rat)

Gene Symbol

ACKR3

UniProt

Additional CXCR7/RDC-1 Products

Product Documents for Human CXCR7/RDC-1 Antibody

Certificate of Analysis

To download a Certificate of Analysis, please enter a lot number in the search box below.

Note: Certificate of Analysis not available for kit components.

Product Specific Notices for Human CXCR7/RDC-1 Antibody

For research use only

Loading...
Loading...
Loading...
Loading...