Skip to main content

Key Product Details

Species Reactivity

Validated:

Human

Cited:

Human, Mouse

Applications

Validated:

Immunohistochemistry, Western Blot, Flow Cytometry, Immunocytochemistry, CyTOF-ready

Cited:

Immunohistochemistry, Immunohistochemistry-Paraffin, Western Blot, Neutralization, Flow Cytometry, Immunocytochemistry

Label

Unconjugated

Antibody Source

Polyclonal Sheep IgG

Product Specifications

Immunogen

Mouse myeloma cell line NS0-derived recombinant human CLEC14A
Glu22-Ala397
Accession # Q86T13

Specificity

Detects human CLEC14A in direct ELISAs and Western blots. In direct ELISAs and Western blots, less than 1% cross‑reactivity with recombinant human (rh) CLEC1, rhCLEC2, rhCLEC3B, and rhCLEC10A is observed.

Clonality

Polyclonal

Host

Sheep

Isotype

IgG

Scientific Data Images for Human CLEC14A Antibody

Detection of Clec-14A antibody in HUVEC Human Cells antibody by Flow Cytometry.

Detection of Clec-14A in HUVEC Human Cells by Flow Cytometry.

HUVEC human umbilical vein endothelial cells were stained with Sheep Anti-Human CLEC14A Antigen Affinity-purified Polyclonal Antibody (Catalog # AF4968, filled histogram) or isotype control antibody (Catalog # 5-001-A, open histogram), followed by Phycoerythrin-conjugated Anti-Sheep IgG Secondary Antibody (Catalog # F0126).
CLEC14A antibody in HUVEC Human Cells by Immunocytochemistry (ICC).

CLEC14A in HUVEC Human Cells.

CLEC14A was detected in immersion fixed HUVEC human umbilical vein endothelial cells using Sheep Anti-Human CLEC14A Antigen Affinity-purified Polyclonal Antibody (Catalog # AF4968) at 10 µg/mL for 3 hours at room temperature. Cells were stained using the NorthernLights™ 557-conjugated Anti-Sheep IgG Secondary Antibody (red; Catalog # NL010) and counterstained with DAPI (blue). Specific staining was localized to cell surfaces and cytoplasm. View our protocol for Fluorescent ICC Staining of Cells on Coverslips.
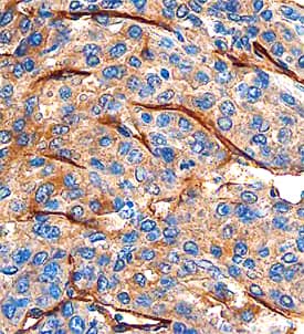
CLEC14A antibody in Human Breast Cancer Tissue by Immunohistochemistry (IHC-P).

CLEC14A in Human Breast Cancer Tissue.

CLEC14A was detected in formalin fixed paraffin-embedded sections of human breast cancer tissue using Sheep Anti-Human CLEC14A Antigen Affinity-purified Polyclonal Antibody (Catalog # AF4968) at 1.7 µg/mL overnight at 4 °C. Before incubation with the primary antibody, tissue was subjected to heat-induced epitope retrieval using Antigen Retrieval Reagent-Universal (Catalog # CTS015). Tissue was stained using the Anti-Sheep HRP-DAB Cell & Tissue Staining Kit (brown; Catalog # CTS019) and counterstained with hematoxylin (blue). Specific staining was localized to endothelial cells. View our protocol for Chromogenic IHC Staining of Paraffin-embedded Tissue Sections.

Applications for Human CLEC14A Antibody

Application
Recommended Usage

CyTOF-ready

Ready to be labeled using established conjugation methods. No BSA or other carrier proteins that could interfere with conjugation.

Flow Cytometry

2.5 µg/106 cells
Sample: HUVEC human umbilical vein endothelial cells

Immunocytochemistry

5-15 µg/mL
Sample: Immersion fixed HUVEC human umbilical vein endothelial cells

Immunohistochemistry

5-15 µg/mL
Sample: Formalin fixed paraffin-embedded sections of human breast cancer tissue

Western Blot

0.1 µg/mL
Sample: Recombinant Human CLEC14A

Formulation, Preparation, and Storage

Purification

Antigen Affinity-purified

Reconstitution

Reconstitute at 0.2 mg/mL in sterile PBS. For liquid material, refer to CoA for concentration.

Reconstitution Buffer Available:
Size / Price
Qty
Loading...

Formulation

Lyophilized from a 0.2 μm filtered solution in PBS with Trehalose. *Small pack size (SP) is supplied either lyophilized or as a 0.2 µm filtered solution in PBS.

Shipping

Lyophilized product is shipped at ambient temperature. Liquid small pack size (-SP) is shipped with polar packs. Upon receipt, store immediately at the temperature recommended below.

Stability & Storage

Use a manual defrost freezer and avoid repeated freeze-thaw cycles.
  • 12 months from date of receipt, -20 to -70 °C as supplied.
  • 1 month, 2 to 8 °C under sterile conditions after reconstitution.
  • 6 months, -20 to -70 °C under sterile conditions after reconstitution.

Background: CLEC14A

CLEC14A (C-type lectin domain family 14 member A; also EGFR5) is a 51 kDa (predicted) member of the C-type lectin domain family of proteins. It is a type I transmembrane protein, apparently expressed in brain and about which little is known. Mature human CLEC14A is 469 amino acids in length. It contains a 376 aa extracellular region (aa 22-397) and a 72 aa cytoplasmic domain. The extracellular region shows one C-type lectin like domain (aa 32-175) and an EGF-like region (aa 245-287). Over aa 22-397, human CLEC14A shares 66% and 81% aa identity with mouse and canine CLEC14A, respectively.

Long Name

C-type Lectin Domain Family 14, Member A

Alternate Names

CEG1, EGF R5

Entrez Gene IDs

161198 (Human); 66864 (Mouse); 314148 (Rat)

Gene Symbol

CLEC14A

UniProt

Additional CLEC14A Products

Product Documents for Human CLEC14A Antibody

Certificate of Analysis

To download a Certificate of Analysis, please enter a lot number in the search box below.

Note: Certificate of Analysis not available for kit components.

Product Specific Notices for Human CLEC14A Antibody

For research use only

Loading...
Loading...
Loading...
Loading...
Loading...