Skip to main content

Key Product Details

Validated by

Biological Validation

Species Reactivity

Validated:

Human

Cited:

Human, Mouse

Applications

Validated:

Immunohistochemistry, Western Blot

Cited:

Immunohistochemistry, Western Blot, Immunocytochemistry, Blocking, ELISA Capture

Label

Unconjugated

Antibody Source

Monoclonal Rat IgG1 Clone # 316223

Product Specifications

Immunogen

Mouse myeloma cell line NS0-derived recombinant human CHL‑1/L1CAM‑2
Ile25-Gln1096
Accession # NP_006605

Specificity

Detects human CHL‑1/L1CAM‑2 in direct ELISAs and Western blots. In direct ELISAs and Western blots, no cross-reactivity with recombinant mouse CHL-1 is observed.

Clonality

Monoclonal

Host

Rat

Isotype

IgG1

Scientific Data Images for Human CHL-1/L1CAM-2 Antibody

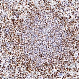
CHL-1/L1CAM-2 in Human Melanoma Tissue.

CHL-1/L1CAM-2 was detected in immersion fixed paraffin-embedded sections of human melanoma tissue using Rat Anti-Human CHL-1/L1CAM-2 Monoclonal Antibody (Catalog # MAB2126) at 1.7 µg/mL for 1 hour at room temperature followed by incubation with the Anti-Rat IgG VisUCyte™ HRP Polymer Antibody (VC005). Before incubation with the primary antibody, tissue was subjected to heat-induced epitope retrieval using Antigen Retrieval Reagent-Basic (CTS013). Tissue was stained using DAB (brown) and counterstained with hematoxylin (blue). Specific staining was localized to cell nuclei. Staining was performed using our protocol for IHC Staining with VisUCyte HRP Polymer Detection Reagents.

CHL-1/L1CAM-2 in Human Spleen.

CHL-1/L1CAM-2 was detected in immersion fixed paraffin-embedded sections of human spleen using Rat Anti-Human CHL-1/L1CAM-2 Monoclonal Antibody (Catalog # MAB2126) at 1.7 µg/mL for 1 hour at room temperature followed by incubation with the Anti-Rat IgG VisUCyte™ HRP Polymer Antibody (VC005). Before incubation with the primary antibody, tissue was subjected to heat-induced epitope retrieval using Antigen Retrieval Reagent-Basic (CTS013). Tissue was stained using DAB (brown) and counterstained with hematoxylin (blue). Specific staining was localized to cell nuclei. Staining was performed using our protocol for IHC Staining with VisUCyte HRP Polymer Detection Reagents.
Detection of Human CHL-1/L1CAM-2 by Western Blot

Detection of Human CHL-1/L1CAM-2 by Western Blot

Western blot analysis of the protein levels of CHL1 detected in normal human glial HEB cells and 3 glioma/glioblastoma cell lines. CHL1 was weakly expressed in normal human HEB glial cells. Its levels in all the 3 glioma/glioblastoma cells were higher than that in normal human HEB glial cells, with the statistical significance detected in SHG44 cells (*p < 0.05 vs. HEB cells) and U-87 MG cells (**p < 0.01 vs. HEB cells). n = 3 for each group. Student’s t-test for independent samples was used. Image collected and cropped by CiteAb from the following publication (https://journal.frontiersin.org/article/10.3389/fnmol.2017.00324/full), licensed under a CC-BY license. Not internally tested by R&D Systems.

Applications for Human CHL-1/L1CAM-2 Antibody

Application
Recommended Usage

Immunohistochemistry

1.7-25 µg/mL
Sample: Immersion fixed paraffin-embedded sections of human melanoma tissue and human spleen

Western Blot

1 µg/mL
Sample: Recombinant Human CHL-1/L1CAM-2 (Catalog # 2126-CH)

Reviewed Applications

Read 1 review rated 5 using MAB2126 in the following applications:

Formulation, Preparation, and Storage

Purification

Protein A or G purified from hybridoma culture supernatant

Reconstitution

Reconstitute at 0.5 mg/mL in sterile PBS. For liquid material, refer to CoA for concentration.

Reconstitution Buffer Available:
Size / Price
Qty
Loading...

Formulation

Lyophilized from a 0.2 μm filtered solution in PBS with Trehalose. *Small pack size (SP) is supplied either lyophilized or as a 0.2 µm filtered solution in PBS.

Shipping

Lyophilized product is shipped at ambient temperature. Liquid small pack size (-SP) is shipped with polar packs. Upon receipt, store immediately at the temperature recommended below.

Stability & Storage

Use a manual defrost freezer and avoid repeated freeze-thaw cycles.
  • 12 months from date of receipt, -20 to -70 °C as supplied.
  • 1 month, 2 to 8 °C under sterile conditions after reconstitution.
  • 6 months, -20 to -70 °C under sterile conditions after reconstitution.

Background: CHL-1/L1CAM-2

Close homolog of L1 (CHL-1), also known as cell adhesion L1-like (CALL) and L1 cell adhesion molecule 2 (L1-CAM2), belongs to the L1 subfamily of the Ig superfamily cell adhesion molecules, which also include L1, neurofascin and NgCAM-related cell adhesion molecule (NrCAM) (1‑3). These molecules are type I transmembrane proteins that have 6 Ig-like domains and 4‑5 fibronectin type III-like (FNIII) domains in their extracellular regions. They also shared a highly conserved cytoplasmic region of approximately 110 amino acids (aa) containing an ankyrin-binding site. CHL-1 is expressed as a highly glycosylated 185 kDa transmembrane protein by subpopulations of neurons and glia of the central and peripheral nervous system (4, 5). Ectodomain shedding via the metalloprotease-disintegrin ADAM8 releases 165 kDa and 125 kDa soluble CHL-1 fragments, which can diffuse away to function at distant sites (6). CHL-1 is not capable of homotypic interactions, but an extracellular binding partner of CHL-1 has not been identified (4). Human CHL1 has been mapped to chromosome 3p26 and is a candidate gene for 3p- syndrome characterized by mental impairment (7). A missense CHL1 polymorphism associated with an increased risk of schizophrenia has been reported (8). The functional importance of CHL-1 in the nervous system is also evident in CHL-1 deficient mice, which display behavioral abnormalities and show misguided axons within the hippocampus and olfactory tract (9). Enhanced ectodomain-shedding of CHL-1 is also observed in Wobbler mice, the neurodegenerative mutant mice (6). In vitro, soluble or substrate-coated CHL-1 promotes neurite outgrowth and neuronal survival of both cerebellar and hippocampal neurons. Cell surface CHL-1 interacts with integrins in cis to potentiate integrin-dependent cell migration toward extracellular matrix proteins (10). For this enhanced cell motility, CHL-1 linkage to the actin cytoskeleton via interaction between ankyrin and the CHL-1 cytoplasmic region is required.

References

  1. Moos, M. et al. (1988) Nature 334:701. 
  2. Holm, J. et al. (1996) Eur. J. Neusci. 8:1613. 
  3. Wei, M. et al. (1998) Hum. Genet. 103:355. 
  4. Hillenbrand, R. et al. (1999) Eur. J. Neurosci. 11:813. 
  5. Liu, Q. et al. (2000) J. Neurosci. 20:7682. 
  6. Naus, S. et al. (2004) J. Biol. Chem. 279:16083.
  7. Angeloni, D. et al. (1999) Am. J. Med. Genet. 86:482.
  8. Sakurai, K. et al. (2002) Mol. Psychiatry 7:412.
  9. Montag-Sallaz, M. et al. (2002) Mol. Cell. Biol. 22(22):7967.
  10. Buhusi, M. et al. (2003) J. Biol. Chem. 278(27):25024.

Long Name

Cell Adhesion Molecule with Homology to L1CAM

Alternate Names

CALL, CHL1, L1CAM-2

Entrez Gene IDs

10752 (Human); 12661 (Mouse)

Gene Symbol

CHL1

UniProt

Additional CHL-1/L1CAM-2 Products

Product Documents for Human CHL-1/L1CAM-2 Antibody

Certificate of Analysis

To download a Certificate of Analysis, please enter a lot number in the search box below.

Note: Certificate of Analysis not available for kit components.

Product Specific Notices for Human CHL-1/L1CAM-2 Antibody

For research use only

Loading...
Loading...
Loading...
Loading...