Skip to main content

Key Product Details

Species Reactivity

Human

Applications

Immunohistochemistry

Label

Unconjugated

Antibody Source

Monoclonal Mouse IgG2B Clone # 1068647

Product Specifications

Immunogen

Chinese Hamster Ovary cell line, CHO-derived human CD4
Lys26-Trp390
Accession # P01730

Specificity

Detects human CD4 in direct ELISA.

Clonality

Monoclonal

Host

Mouse

Isotype

IgG2B

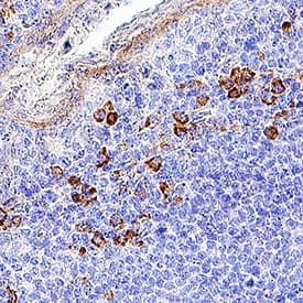
Scientific Data Images for Human CD4 Antibody

Detection of CD4 in Human Tonsil.

CD4 was detected in immersion fixed paraffin-embedded sections of Human Tonsil using Mouse Anti-Human CD4 Monoclonal Antibody (Catalog # MAB11436) at 5 µg/mL for 1 hour at room temperature followed by incubation with the Anti-Mouse IgG VisUCyte™ HRP Polymer Antibody (Catalog # VC001). Before incubation with the primary antibody, tissue was subjected to heat-induced epitope retrieval using VisUCyte Antigen Retrieval Reagent-Basic (Catalog # VCTS021). Tissue was stained using DAB (brown) and counterstained with hematoxylin (blue). Specific staining was localized to cell surface in lymphocytes. View our protocol for IHC Staining with VisUCyte HRP Polymer Detection Reagents.

Applications for Human CD4 Antibody

Application
Recommended Usage

Immunohistochemistry

5-15 µg/mL
Sample: Immersion fixed paraffin-embedded sections of Human Tonsil

Formulation, Preparation, and Storage

Purification

Protein A or G purified from hybridoma culture supernatant

Reconstitution

Reconstitute at 0.5 mg/mL in sterile PBS. For liquid material, refer to CoA for concentration.

Reconstitution Buffer Available:
Size / Price
Qty
Loading...

Formulation

Lyophilized from a 0.2 μm filtered solution in PBS with Trehalose. *Small pack size (SP) is supplied either lyophilized or as a 0.2 µm filtered solution in PBS.

Shipping

Lyophilized product is shipped at ambient temperature. Liquid small pack size (-SP) is shipped with polar packs. Upon receipt, store immediately at the temperature recommended below.

Stability & Storage

Use a manual defrost freezer and avoid repeated freeze-thaw cycles.
  • 12 months from date of receipt, -20 to -70 °C as supplied.
  • 1 month, 2 to 8 °C under sterile conditions after reconstitution.
  • 6 months, -20 to -70 °C under sterile conditions after reconstitution.

Background: CD4

CD4, also known as L3T4, T4, and W3/25, is an approximately 55 kDa type I transmembrane glycoprotein that is expressed predominantly on thymocytes and a subset of mature T lymphocytes. It is a standard phenotype marker for the identification of T cell populations (1). Mature human CD4 consists of a 371 amino acid (aa) extracellular region containing four immunoglobulin-like domains, a 22 aa transmembrane segment, and a 40 aa cytoplasmic domain (2). Within the ECD, human CD4 shares approximately 52% aa sequence identity with mouse and rat CD4. CD4 is expressed along with CD8 on double positive T cells during their development in the thymus. Either CD4 or CD8 expression is then lost, giving rise to single positive (SP) CD4+ or CD8+ mature T cells (3). CD4+ SP cells, also known as T helper cells, further differentiate into multiple subsets of CD4+ cells including Th1, Th2, Th17, Tfh, and Treg cells which regulate humoral and cellular immunity (4). CD4 is reexpressed on circulating CD8+ T cells upon activation and contributes to their cytotoxic effector activity (5). In human, CD4 is additionally expressed on macrophages, neutrophils, monocytes, NK cells, and neurons and glial cells in the brain (6-9). Similar CD4 distribution between species cannot be assumed as demonstrated by its presence on macrophages in human and rat but not in mouse (6). CD4 binds directly to MHC class II molecules on antigen presenting cells (10). This interaction contributes to the formation of the immunological synapse which is focused around the TCR-MHC class II-antigenic peptide interaction (1, 11). Palmitoylation of two cysteine residues in the cytoplasmic tail of CD4 promotes the localization of CD4 in lipid rafts and its ability to augment TCR signaling via activation of the tyrosine kinase Lck (12). CD4 also functions as a chemotactic receptor for IL-16 and, in human, as a co-receptor for the gp120 surface glycoprotein of HIV-1 (7, 13-15).

References

  1. Vignali, D.A.A. (2010) J. Immunol. 184:5933.
  2. Maddon, P.J. et al. (1985) Cell 42:93.
  3. Alarcon, B. and H.M. van Santen (2010) Sci. Signal. 3:pe11.
  4. Wan, Y.Y. and R.A. Flavell (2009) Mol. Cell Biol. 1:20.
  5. Kitchen, S.G. et al. (2005) Proc. Natl. Acad. Sci. 102:3794.
  6. Crocker, P.R. et al. (1987) J. Exp. Med. 166:613.
  7. Biswas, P. et al. (2003) Blood 101:4452.
  8. Bernstein, H.B. et al. (2006) J. Immunol. 177:3669.
  9. Funke, I. et al. (1987) J. Exp. Med. 165:1230.
  10. Doyle, C. and J.L. Strominger (1987) Nature 330:256.
  11. Huppa, J.B. et al. (2010) Nature 463:963.
  12. Fragoso, R. et al. (2003) J. Immunol. 170:913.
  13. Cruikshank, W.W. et al. (1994) Proc. Natl. Acad. Sci. 91:5109.
  14. Klatzmann, D. et al. (1984) Nature 312:767.
  15. Dagleish, A.G. et al. (1984) Nature 312:763.

Alternate Names

CD4

Entrez Gene IDs

920 (Human); 12504 (Mouse); 24932 (Rat); 403931 (Canine); 101864991 (Cynomolgus Monkey); 493775 (Feline)

Gene Symbol

CD4

UniProt

Additional CD4 Products

Product Documents for Human CD4 Antibody

Certificate of Analysis

To download a Certificate of Analysis, please enter a lot number in the search box below.

Note: Certificate of Analysis not available for kit components.

Product Specific Notices for Human CD4 Antibody

For research use only

Loading...
Loading...
Loading...
Loading...