Skip to main content

Key Product Details

Species Reactivity

Validated:

Human

Cited:

Human, Xenograft

Applications

Validated:

Immunohistochemistry, Western Blot, Neutralization

Cited:

Immunohistochemistry-Paraffin, Neutralization, Immunocytochemistry, Granzyme B Activity

Label

Unconjugated

Antibody Source

Monoclonal Mouse IgG1 Clone # 124308

Product Specifications

Immunogen

E. coli-derived recombinant human CCL27/CTACK
Phe25-Gly112
Accession # NP_006655

Specificity

Detects human CCL27/CTACK in direct ELISAs and Western blots. In direct ELISAs, no cross-reactivity with recombinant human CCL1, 2, 3, 4, 5, 7, 8, 11, 13, 14, 15, 16, 17, 18, 19, 20, 21, 22, 23, 24, 25, 26, recombinant mouse CCL1, 2, 3, 4, 5, 6, 7, 9/10, 11, 12, 17, 19, 20, 21, 22, 24, 25, or recombinant rat CCL20 is observed.

Clonality

Monoclonal

Host

Mouse

Isotype

IgG1

Endotoxin Level

<0.10 EU per 1 μg of the antibody by the LAL method.

Scientific Data Images for Human CCL27/CTACK Antibody

Chemotaxis Induced by CCL27/CTACK and Neutralization by Human CCL27/CTACK Antibody.

Chemotaxis Induced by CCL27/CTACK and Neutralization by Human CCL27/CTACK Antibody.

Recombinant Human CCL27/CTACK (Catalog # 376-CT) chemoattracts the BaF3 mouse pro-B cell line transfected with human CCR10 in a dose-dependent manner (orange line). The amount of cells that migrated through to the lower chemotaxis chamber was measured by Resazurin (Catalog # AR002). Chemotaxis elicited by Recombinant Human CCL27/CTACK (1 µg/mL) is neutralized (green line) by increasing concentrations of Mouse Anti-Human CCL27/CTACK Monoclonal Antibody (Catalog # MAB376). The ND50 is typically 0.5-3.0 µg/mL.
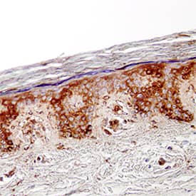
CCL27/CTACK antibody in Human Skin by Immunohistochemistry (IHC-P).

CCL27/CTACK in Human Skin.

CCL27/CTACK was detected in immersion fixed paraffin-embedded sections of human skin using Mouse Anti-Human CCL27/CTACK Monoclonal Antibody (Catalog # MAB376) at 25 µg/mL overnight at 4 °C. Tissue was stained using the Anti-Mouse HRP-DAB Cell & Tissue Staining Kit (brown; Catalog # CTS002) and counterstained with hematoxylin (blue). Specific staining was localized to cytoplasm in keratinocytes. View our protocol for Chromogenic IHC Staining of Paraffin-embedded Tissue Sections.

Applications for Human CCL27/CTACK Antibody

Application
Recommended Usage

Immunohistochemistry

8-25 µg/mL
Sample: Immersion fixed paraffin-embedded  sections of human skin

Western Blot

1 µg/mL
Sample: Recombinant Human CCL27/CTACK (Catalog # 376-CT)

Neutralization

Measured by its ability to neutralize CCL27/CTACK-induced chemotaxis in the BaF3 mouse pro‑B cell line transfected with human CCR10. The Neutralization Dose (ND50) is typically 0.5-3.0 µg/mL in the presence of 1 µg/mL Recombinant Human CCL27/CTACK.

Reviewed Applications

Read 3 reviews rated 5 using MAB376 in the following applications:

Formulation, Preparation, and Storage

Purification

Protein A or G purified from hybridoma culture supernatant

Reconstitution

Reconstitute at 0.5 mg/mL in sterile PBS. For liquid material, refer to CoA for concentration.

Reconstitution Buffer Available:
Size / Price
Qty
Loading...

Formulation

Lyophilized from a 0.2 μm filtered solution in PBS with Trehalose. *Small pack size (SP) is supplied either lyophilized or as a 0.2 µm filtered solution in PBS.

Shipping

Lyophilized product is shipped at ambient temperature. Liquid small pack size (-SP) is shipped with polar packs. Upon receipt, store immediately at the temperature recommended below.

Stability & Storage

Use a manual defrost freezer and avoid repeated freeze-thaw cycles.
  • 12 months from date of receipt, -20 to -70 °C as supplied.
  • 1 month, 2 to 8 °C under sterile conditions after reconstitution.
  • 6 months, -20 to -70 °C under sterile conditions after reconstitution.

Background: CCL27/CTACK

CCL27, also known as CTACK (cutaneous T cell-attracting chemokine), ALP, ILC, and ESkine, is a member of the CC family of chemokines (1). Mature human CCL27 is an 88 amino acid (aa) protein that shares 57% aa sequence identity with mouse and rat CCL27 (2). It shares 11%‑35% aa sequence identity with other human CC chemokines. An alternately spliced form of mouse CCL27, known as PESKY, is localized to the nucleus and promotes cellular migration (3). CCL27 is constitutively expressed by keratinocytes and is up‑regulated by inflammatory stimuli and in wounded skin (4‑7). CCL27 binds the chemokine receptor CCR10, glycosaminoglycans in the extracellular matrix, sulfated tyrosine residues on PSGL-1, and determinants on the surface of fibroblasts and endothelial cells (5, 7‑9). CCL27 cooperates with CCL17/TARC in inducing the migration of cutaneous lymphocyte antigen (CLA) positive memory T cells to the skin during inflammation (4, 6, 10‑12). Endothelial cell-bound CCL27 can mediate the adhesion of those cells to CLA+ T cells (6). CCL27 also induces the migration of keratinocyte precursors from bone marrow to the skin, thereby promoting wound healing (7). In humans, serum CCL27 levels are elevated and correlate with disease severity in atopic dermatitis, psoriasis vulgaris, and mycosis fungoides (13‑15).

References

  1. Kunkel, L. and E.C. Butcher (2002) Immunity 16:1.
  2. Ishikawa-Mochizuki, I. et al. (1999) FEBS Lett. 460:544.
  3. Gortz, A. et al. (2002) J. Immunol. 169:1387.
  4. Morales, J. et al. (1999) Proc. Natl. Acad. Sci. 96:14470.
  5. Homey, B. et al. (2000) J. Immunol. 164:3465.
  6. Homey, B. et al. (2002) Nat. Med. 8:157.
  7. Inokuma, D. et al. (2006) Stem Cells 24:2810.
  8. Jarmin, D. et al. (2000) J. Immunol. 164:3460.
  9. Hirata, T. et al. (2004) J. Biol. Chem. 279:51775.
  10. Vestergaard, C. et al. (2004) Exp. Dermatol. 13:551.
  11. Reiss, Y. et al. (2001) J. Exp. Med. 194:1541.
  12. Soler, D. et al. (2003) Blood 101:1677.
  13. Kakinuma, T. et al. (2003) J. Allergy Clin. Immunol. 111:592.
  14. Hijnen, D. et al. (2004) J. Allergy Clin. Immunol. 113:334.
  15. Fujita, Y. et al. (2006) Clin. Cancer Res. 12:2670.

Alternate Names

CTACK, ILC

Entrez Gene IDs

10850 (Human); 20301 (Mouse); 362505 (Rat)

Gene Symbol

CCL27

UniProt

Additional CCL27/CTACK Products

Product Documents for Human CCL27/CTACK Antibody

Certificate of Analysis

To download a Certificate of Analysis, please enter a lot number in the search box below.

Note: Certificate of Analysis not available for kit components.

Product Specific Notices for Human CCL27/CTACK Antibody

For research use only

Loading...
Loading...
Loading...
Loading...