Skip to main content

Key Product Details

Species Reactivity

Human

Applications

Immunohistochemistry, Western Blot

Label

Unconjugated

Antibody Source

Polyclonal Goat IgG

Product Specifications

Immunogen

E. coli-derived recombinant human Carbonic Anhydrase VB/CA5B
Cys34-Pro317
Accession # Q9Y2D0

Specificity

Detects human Carbonic Anhydrase VB/CA5B in direct ELISAs and Western blots. In direct ELISAs, less than 5% cross-reactivity with recombinant human (rh) CA-5A, rhCA-2, and rhCA-7 is observed.

Clonality

Polyclonal

Host

Goat

Isotype

IgG

Scientific Data Images for Human Carbonic Anhydrase VB/CA5B Antibody

Detection of Human Carbonic Anhydrase VB/CA5B antibody by Western Blot.

Detection of Human Carbonic Anhydrase VB/CA5B by Western Blot.

Western blot shows lysates of human kidney (medulla) tissue. PVDF membrane was probed with 1 µg/mL of Goat Anti-Human Carbonic Anhydrase VB/CA5B Antigen Affinity-purified Polyclonal Antibody (Catalog # AF3176) followed by HRP-conjugated Anti-Goat IgG Secondary Antibody (Catalog # HAF019). A specific band was detected for Carbonic Anhydrase VB/CA5B at approximately 32 kDa (as indicated). This experiment was conducted under reducing conditions and using Immunoblot Buffer Group 1.
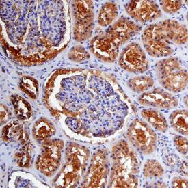
Carbonic Anhydrase VB/CA5B antibody in Human Kidney by Immunohistochemistry (IHC-P).

Carbonic Anhydrase VB/CA5B in Human Kidney.

Carbonic Anhydrase VB/CA5B was detected in immersion fixed paraffin-embedded sections of human kidney using Goat Anti-Human Carbonic Anhydrase VB/ CA5B Antigen Affinity-purified Polyclonal Antibody (Catalog # AF3176) at 3 µg/mL overnight at 4 °C. Before incubation with the primary antibody, tissue was subjected to heat-induced epitope retrieval using Antigen Retrieval Reagent-Basic (Catalog # CTS013). Tissue was stained using the Anti-Goat HRP-DAB Cell & Tissue Staining Kit (brown; Catalog # CTS008) and counterstained with hematoxylin (blue). Specific staining was localized to epithelial cells in convoluted tubules. View our protocol for Chromogenic IHC Staining of Paraffin-embedded Tissue Sections.

Applications for Human Carbonic Anhydrase VB/CA5B Antibody

Application
Recommended Usage

Immunohistochemistry

5-15 µg/mL
Sample: Immersion fixed paraffin-embedded sections of human kidney

Western Blot

1 µg/mL
Sample: Human kidney (medulla) tissue

Formulation, Preparation, and Storage

Purification

Antigen Affinity-purified

Reconstitution

Sterile PBS to a final concentration of 0.2 mg/mL. For liquid material, refer to CoA for concentration.

Reconstitution Buffer Available:
Size / Price
Qty
Loading...

Formulation

Lyophilized from a 0.2 μm filtered solution in PBS with Trehalose. *Small pack size (SP) is supplied either lyophilized or as a 0.2 µm filtered solution in PBS.

Shipping

Lyophilized product is shipped at ambient temperature. Liquid small pack size (-SP) is shipped with polar packs. Upon receipt, store immediately at the temperature recommended below.

Stability & Storage

Use a manual defrost freezer and avoid repeated freeze-thaw cycles.
  • 12 months from date of receipt, -20 to -70 °C as supplied.
  • 1 month, 2 to 8 °C under sterile conditions after reconstitution.
  • 6 months, -20 to -70 °C under sterile conditions after reconstitution.

Background: Carbonic Anhydrase VB/CA5B

Carbonic Anhydrase (CA) catalyzes the reversible reaction of CO2 + H2O = HCO3- + H+, which is fundamental to many processes such as respiration, renal tubular acidification and bone resorption (1). Topics in a CA meeting (6th International Conference on the CAs, June 20 - 25, 2003, Slovakia) ranged from the use of CAs as markers for tumor and hypoxia in the clinic, as a nutritional supplement in milk, and as a tool for CO2 removal and mosquito control in industry. Carbonic Anhydrase VB encoded by the CA5B gene is a mitochondrial protein. In comparison with another mitochondrial CA (CA5A), CA5B has different tissue distribution and chromosomal location (2, 3). The amino acid sequence of human CA5B (residues 34 to 317) is 94%, 93%, 92%, and 74% identical to that of canine, mouse, bovine/rat, and chicken.

References

  1. Hewett-Emmett, D. and R.E. Tashian (1996) Mol. Phylogenet. Evol. 5:50.
  2. Fujikawa-Adachi, K. et al. (1999) J. Biol. Chem. 274:21228.
  3. Shah, G.N. et al. (2000) Proc. Natl. Acad. Sci. USA 97:1677.

Alternate Names

CA5B, CAVB

Entrez Gene IDs

11238 (Human); 302669 (Rat)

Gene Symbol

CA5B

UniProt

Additional Carbonic Anhydrase VB/CA5B Products

Product Documents for Human Carbonic Anhydrase VB/CA5B Antibody

Certificate of Analysis

To download a Certificate of Analysis, please enter a lot number in the search box below.

Note: Certificate of Analysis not available for kit components.

Product Specific Notices for Human Carbonic Anhydrase VB/CA5B Antibody

For research use only

Loading...
Loading...
Loading...
Loading...