Skip to main content

HspBP1 Antibody (OTI1D5) - Azide and BSA Free

Novus Biologicals, part of Bio-Techne | Catalog # NBP2-71761

Novus Biologicals, part of Bio-Techne
Catalog #
Availability
Size / Price
Qty
Loading...
NBP2-71761

Key Product Details

Species Reactivity

Human, Mouse, Rat, Monkey

Applications

Immunohistochemistry, Immunohistochemistry-Paraffin, Western Blot, Flow Cytometry, CyTOF-ready

Label

Unconjugated

Antibody Source

Monoclonal Mouse IgG1 Clone # OTI1D5

Format

Azide and BSA Free

Concentration

LYOPH mg/ml

Product Specifications

Immunogen

Full length human recombinant protein of human HSPBP1(NP_036399) produced in HEK293T cell.

Reactivity Notes

Please note that this antibody is reactive to Mouse and derived from the same host, Mouse. Mouse-On-Mouse blocking reagent may be needed for IHC and ICC experiments to reduce high background signal. You can find these reagents under catalog numbers PK-2200-NB and MP-2400-NB. Please contact Technical Support if you have any questions.

Clonality

Monoclonal

Host

Mouse

Isotype

IgG1

Theoretical MW

39.1 kDa.
Disclaimer note: The observed molecular weight of the protein may vary from the listed predicted molecular weight due to post translational modifications, post translation cleavages, relative charges, and other experimental factors.

Description

Novus Biologicals Mouse HspBP1 Antibody (OTI1D5) - Azide and BSA Free (NBP2-01168) is a monoclonal antibody validated for use in IHC, WB and Flow. All Novus Biologicals antibodies are covered by our 100% guarantee.

Scientific Data Images for HspBP1 Antibody (OTI1D5) - Azide and BSA Free

Western Blot: HspBP1 Antibody (OTI1D5)Azide and BSA Free [NBP2-71761]

Western Blot: HspBP1 Antibody (OTI1D5)Azide and BSA Free [NBP2-71761]

Western Blot: HspBP1 Antibody (OTI1D5) - Azide and BSA Free [NBP2-71761] - HEK293T cells were transfected with the pCMV6-ENTRY control (Left lane) or pCMV6-ENTRY HspBP1 (Right lane) cDNA for 48 hrs and lysed. Equivalent amounts of cell lysates (5 ug per lane) were separated by SDS-PAGE and immunoblotted with anti-HspBP1.
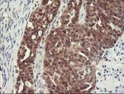
Immunohistochemistry: HspBP1 Antibody (OTI1D5) - Azide and BSA Free [NBP2-71761]

Immunohistochemistry: HspBP1 Antibody (OTI1D5) - Azide and BSA Free [NBP2-71761]

Immunohistochemistry: HspBP1 Antibody (OTI1D5) - Azide and BSA Free [NBP2-71761] - Staining of paraffin-embedded Human lymphoma tissue using anti-HspBP1 mouse monoclonal antibody.
Western Blot: HspBP1 Antibody (OTI1D5)Azide and BSA Free [NBP2-71761]

Western Blot: HspBP1 Antibody (OTI1D5)Azide and BSA Free [NBP2-71761]

Western Blot: HspBP1 Antibody (OTI1D5) - Azide and BSA Free [NBP2-71761] - Analysis of extracts (35ug) from 9 different cell lines by using anti-HspBP1 monoclonal antibody.

Applications for HspBP1 Antibody (OTI1D5) - Azide and BSA Free

Application
Recommended Usage

Flow Cytometry

1:100

Immunohistochemistry

1:150

Western Blot

1:500-2000

Formulation, Preparation, and Storage

Purification

Immunogen affinity purified

Reconstitution

we recommend adding 100uL distilled water to a final antibody concentration of about 1 mg/mL. To use this carrier-free antibody for conjugation experiment, we strongly recommend performing another round of desalting process.

Formulation

Lyophilized from PBS (pH 7.3) with 8% Trehalose

Format

Azide and BSA Free

Preservative

No Preservative

Concentration

LYOPH mg/ml

Shipping

The product is shipped with polar packs. Upon receipt, store it immediately at the temperature recommended below.

Stability & Storage

Store at -20C. Avoid freeze-thaw cycles.

Background: HspBP1

Heat shock protein binding protein is an Hsp70-interacting protein that was first isolated from a human heart cDNA library using the yeast two-hybrid system. HspBP1 binds the ATPase domain of Hsp70, and inhibits Hsp70 chaperone activity. More recently HspBP1 was found to promote nucleotide dissociation from Hsc70 and is capable of altering the confirmation of the Hsp70 ATPase domain. HspBP1 is capable of regulating any Hsp70 activity that requires ATPase.

Alternate Names

FES1, Heat shock protein-binding protein 1, Hsp70 binding protein 1, hsp70 interacting protein, hsp70-binding protein 1, Hsp70-binding protein 2, Hsp70-interacting protein 1, Hsp70-interacting protein 2, HSPA (heat shock 70kDa) binding protein, cytoplasmic cochaperone 1, HSPBP, HspBP1, hspBP2

Gene Symbol

HSPBP1

Additional HspBP1 Products

Product Documents for HspBP1 Antibody (OTI1D5) - Azide and BSA Free

Certificate of Analysis

To download a Certificate of Analysis, please enter a lot number in the search box below.

Product Specific Notices for HspBP1 Antibody (OTI1D5) - Azide and BSA Free

This product is for research use only and is not approved for use in humans or in clinical diagnosis. Primary Antibodies are guaranteed for 1 year from date of receipt.

Loading...
Loading...
Loading...
Loading...
Loading...
Loading...