Skip to main content

HSP90 Antibody (D7A) - BSA Free

Novus Biologicals, part of Bio-Techne | Catalog # NB110-96872

Novus Biologicals, part of Bio-Techne

Key Product Details

Species Reactivity

Validated:

Human, Mouse, Rat, Porcine, Bovine, Chicken, Rabbit

Cited:

Avian - Chicken

Applications

Validated:

Immunohistochemistry, Immunohistochemistry-Paraffin, Western Blot, ELISA, Immunoprecipitation, Microarray

Cited:

Immunohistochemistry-Paraffin, Western Blot

Label

Unconjugated

Antibody Source

Monoclonal Mouse IgG1 Clone # D7A

Format

BSA Free

Concentration

1 mg/ml

Product Specifications

Immunogen

Full length protein HSP90 purified from chicken brain

Localization

Cytoplasm , Melanosome

Specificity

Recognizes 90kDa. Can isolate complexes of HSP90, Src kinase and cec37.

Clonality

Monoclonal

Host

Mouse

Isotype

IgG1

Description

Novus Biologicals Mouse HSP90 Antibody (D7A) - BSA Free (NB110-96872) is a monoclonal antibody validated for use in IHC, WB, ELISA and IP. Anti-HSP90 Antibody: Cited in 2 publications. All Novus Biologicals antibodies are covered by our 100% guarantee.

Scientific Data Images for HSP90 Antibody (D7A) - BSA Free

Western Blot: HSP90 Antibody (D7A) [NB110-96872]

Western Blot: HSP90 Antibody (D7A) [NB110-96872]

Western Blot: HSP90 Antibody (D7A) [NB110-96872] - Western Blot analysis of Rat cell lysates showing detection of Hsp90 protein using Mouse Anti-Hsp90 Monoclonal Antibody, Clone D7Alpha (NB110-96872). Load: 15 ug. Block: 1.5% BSA for 30 minutes at RT. Primary Antibody: Mouse Anti-Hsp90 Monoclonal Antibody (NB110-96872) at 1:1000 for 2 hours at RT. Secondary Antibody: Sheep Anti-Mouse IgG: HRP for 1 hour at RT.
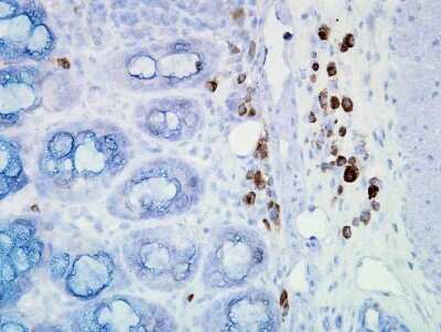
Immunohistochemistry: HSP90 Antibody (D7A) [NB110-96872]

Immunohistochemistry: HSP90 Antibody (D7A) [NB110-96872]

Immunohistochemistry: HSP90 Antibody (D7A) [NB110-96872] - Immunohistochemistry analysis using Mouse Anti-Hsp90 Monoclonal Antibody, Clone D7alpha (NB110-96872). Tissue: colon carcinoma. Species: Human. Fixation: Formalin. Primary Antibody: Mouse Anti-Hsp90 Monoclonal Antibody (NB110-96872) at 1:100000 for 12 hours at 4C. Secondary Antibody: Biotin Goat Anti-Mouse at 1:2000 for 1 hour at RT. Counterstain: Mayer Hematoxylin (purple/blue) nuclear stain at 200 l for 2 minutes at RT. Magnification: 40x. This image was produced using an amplifying IHC wash buffer. The antibody has therefore been diluted more than is recommended for other applications..
Immunohistochemistry: HSP90 Antibody (D7A) [NB110-96872]

Immunohistochemistry: HSP90 Antibody (D7A) [NB110-96872]

Immunohistochemistry: HSP90 Antibody (D7A) [NB110-96872] - Immunohistochemistry analysis using Mouse Anti-Hsp90 Monoclonal Antibody, Clone D7alpha (NB110-96872). Tissue: inflamed colon. Species: Mouse. Fixation: Formalin. Primary Antibody: Mouse Anti-Hsp90 Monoclonal Antibody (NB110-96872) at 1:100000 for 12 hours at 4C. Secondary Antibody: Biotin Goat Anti-Mouse at 1:2000 for 1 hour at RT. Counterstain: Mayer Hematoxylin (purple/blue) nuclear stain at 200 l for 2 minutes at RT. Localization: Inflammatory cells. Magnification: 40x. Inflammatory cells. This image was produced using an amplifying IHC wash buffer. The antibody has therefore been diluted more than is recommended for other applications..

Applications for HSP90 Antibody (D7A) - BSA Free

Application
Recommended Usage

ELISA

1:100-1:2000

Immunohistochemistry

1:10-1:500

Immunohistochemistry-Paraffin

1:10-1:500

Immunoprecipitation

5ug

Western Blot

1:500
Application Notes
2 ug/ml was sufficient for detection of HSP90a in 20 ug of heat shocked HeLa cell lysate as well as in 100 ng of human HSP90a protein by colorimetric immunoblot analysis using Goat Anti-Mouse IgG:HRP as the secondary.HSP90 Antibody.

Formulation, Preparation, and Storage

Purification

Protein G purified

Formulation

PBS (pH 7.2), 50% Glycerol

Format

BSA Free

Preservative

0.09% Sodium Azide

Concentration

1 mg/ml

Shipping

The product is shipped with polar packs. Upon receipt, store it immediately at the temperature recommended below.

Stability & Storage

Store at 4C short term. Aliquot and store at -20C long term. Avoid freeze-thaw cycles.

Background: HSP90

Hsp90 is a highly conserved and essential stress protein that is expressed in all eukaryotic cells. From a functional perspective, hsp90 participates in the folding, assembly, maturation, and stabilization of specific proteins as an integral component of a chaperone complex (4-7). Despite its label of being a heat-shock protein, hsp90 is one of the most highly expressed proteins in unstressed cells (1

Long Name

Heat Shock Protein 90

Alternate Names

FLJ31884, Heat shock 86 kDa, heat shock 90kD protein 1, alpha, heat shock 90kD protein 1, alpha-like 4, heat shock 90kD protein, alpha-like 4, heat shock 90kDa protein 1, alpha, heat shock protein 90kDa alpha (cytosolic), class A member 1, heat shock protein HSP 90-alpha, Hsp89, Hsp90, HSP90AHSP86, HSP90N, HSPC1HSP 86, HSPCAHSP89A, HSPCAL1, HSPCAL4, HSPN, LAP2, Renal carcinoma antigen NY-REN-38

Entrez Gene IDs

3320 (Human); 15519 (Mouse); 299331 (Rat)

Gene Symbol

HSP90AA1

Additional HSP90 Products

Product Documents for HSP90 Antibody (D7A) - BSA Free

Certificate of Analysis

To download a Certificate of Analysis, please enter a lot number in the search box below.

Product Specific Notices for HSP90 Antibody (D7A) - BSA Free

This product is for research use only and is not approved for use in humans or in clinical diagnosis. Primary Antibodies are guaranteed for 1 year from date of receipt.

Loading...
Loading...
Loading...
Loading...