Skip to main content

HSP90 alpha Antibody (HSP90AA1/7247) - Azide and BSA Free

Novus Biologicals, part of Bio-Techne | Catalog # NBP3-26954

Novus Biologicals, part of Bio-Techne

Key Product Details

Species Reactivity

Human

Applications

Immunohistochemistry-Paraffin

Label

Unconjugated

Antibody Source

Monoclonal Mouse IgG1 kappa Clone # HSP90AA1/7247

Format

Azide and BSA Free

Concentration

1 mg/ml

Product Specifications

Immunogen

Recombinant fragment (around aa500-700) of human HSP90 alpha protein (exact sequence is proprietary)

Localization

Cytoplasm, Melanosome

Clonality

Monoclonal

Host

Mouse

Isotype

IgG1 kappa

Description

Non-hazardous. No MSDS required.

Scientific Data Images for HSP90 alpha Antibody (HSP90AA1/7247) - Azide and BSA Free

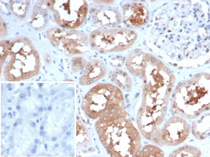
HSP90 alpha Antibody (HSP90AA1/7247)

Immunohistochemistry-Paraffin: HSP90 alpha Antibody (HSP90AA1/7247) - Azide and BSA Free [NBP3-26954] -

Formalin-fixed, paraffin-embedded human kidney stained with HSP90 alpha Antibody (HSP90AA1/7247) - Azide and BSA Free. Inset: PBS instead of primary antibody; secondary only negative control.
HSP90 alpha Antibody (HSP90AA1/7247)

Immunohistochemistry-Paraffin: HSP90 alpha Antibody (HSP90AA1/7247) - Azide and BSA Free [NBP3-26954] -

Formalin-fixed, paraffin-embedded human prostate stained with HSP90 alpha Antibody (HSP90AA1/7247) - Azide and BSA Free. HIER: Tris/EDTA, pH9.0, 45min. 2°C: HRP-polymer, 30min. DAB, 5min.

Applications for HSP90 alpha Antibody (HSP90AA1/7247) - Azide and BSA Free

Application
Recommended Usage

Immunohistochemistry-Paraffin

1-2ug/ml for 30 minutes at RT
Application Notes
Immunohistochemistry-Paraffin 1-2ug/ml for 30 minutes at RT. Optimal dilution for a specific application should be determined.. Staining of formalin-fixed tissues requires heating tissue sections in 10mM Tris with 1mM EDTA, pH 9.0, for 45 min at 95C followed by cooling at RT for 20 minutes

Formulation, Preparation, and Storage

Purification

Protein A or G purified

Formulation

10mM PBS

Format

Azide and BSA Free

Preservative

No Preservative

Concentration

1 mg/ml

Shipping

The product is shipped with polar packs. Upon receipt, store it immediately at the temperature recommended below.

Stability & Storage

Store at -20 to -80C. Avoid freeze-thaw cycles.

Background: HSP90 alpha

HSP90 proteins are highly conserved molecular chaperones that have key roles in signal transduction, protein folding,protein degradation, and morphologic evolution. HSP90 proteins normally associate with other cochaperones and playimportant roles in folding newly synthesized proteins or stabilizing and refolding denatured proteins after stress.There are 2 major cytosolic HSP90 proteins, HSP90AA1, an inducible form, and HSP90AB1 (MIM 140572), a constitutiveform. Other HSP90 proteins are found in endoplasmic reticulum (HSP90B1; MIM 191175) and mitochondria (TRAP1; MIM606219) (Chen et al., 2005 (PubMed 16269234)).(supplied by OMIM)

Long Name

Heat Shock Protein 90 alpha

Alternate Names

HSP86, HSP89A, HSP90A, HSP90AA1, HSP90N, HSPC1, HSPCA, HSPCAL1, HSPCAL4, HSPN, LAP2

Gene Symbol

HSP90AA1

Additional HSP90 alpha Products

Product Documents for HSP90 alpha Antibody (HSP90AA1/7247) - Azide and BSA Free

Certificate of Analysis

To download a Certificate of Analysis, please enter a lot number in the search box below.

Product Specific Notices for HSP90 alpha Antibody (HSP90AA1/7247) - Azide and BSA Free

This product is for research use only and is not approved for use in humans or in clinical diagnosis. Primary Antibodies are guaranteed for 1 year from date of receipt.

Loading...
Loading...
Loading...
Loading...