Skip to main content

HSP60 Antibody - BSA Free

Novus Biologicals, part of Bio-Techne | Catalog # NBP2-12734

Novus Biologicals, part of Bio-Techne
Catalog #
Availability
Size / Price
Qty
Loading...
NBP2-12734-0.025mg
NBP2-12734-100ug

Key Product Details

Species Reactivity

Validated:

Human, Bacteria, P. falciparum

Cited:

P. falciparum

Applications

Validated:

Immunohistochemistry, Western Blot, Immunocytochemistry/ Immunofluorescence

Cited:

Western Blot, Immunocytochemistry/ Immunofluorescence

Label

Unconjugated

Antibody Source

Polyclonal Rabbit IgG

Format

BSA Free

Concentration

1.83 mg/ml

Product Specifications

Immunogen

Recombinant full length PfHSP60

Localization

Mitochondrion , Mitochondrion Matrix

Specificity

Detects approx 60kDa. Cross-reacts with E.coli HSP60, GroEl.

Marker

Mitochondria Marker

Clonality

Polyclonal

Host

Rabbit

Isotype

IgG

Description

Novus Biologicals Rabbit HSP60 Antibody - BSA Free (NBP2-12734) is a polyclonal antibody validated for use in IHC, WB and ICC/IF. Anti-HSP60 Antibody: Cited in 2 publications. All Novus Biologicals antibodies are covered by our 100% guarantee.

Scientific Data Images for HSP60 Antibody - BSA Free

Western Blot: HSP60 Antibody [NBP2-12734]

Western Blot: HSP60 Antibody [NBP2-12734]

Western Blot: HSP60 Antibody [NBP2-12734] - Western blot analysis of Parasite Lysates showing detection of HSP60 protein using Rabbit Anti-HSP60 Polyclonal Antibody (NBP2-12734). Primary Antibody: Rabbit Anti-HSP60 Polyclonal Antibody (NBP2-12734) at 1:1000.
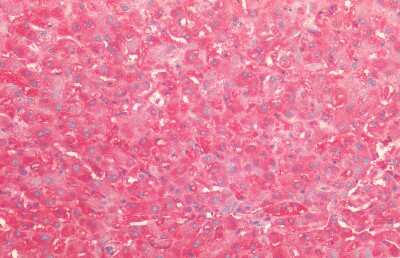
Immunohistochemistry: HSP60 Antibody [NBP2-12734]

Immunohistochemistry: HSP60 Antibody [NBP2-12734]

Immunohistochemistry: HSP60 Antibody [NBP2-12734] - Immunohistochemistry analysis using Rabbit Anti-HSP60 Polyclonal Antibody (NBP2-12734). Tissue: Liver. Species: Human. Fixation: Formalin fixed paraffin-embedded. Primary Antibody: Rabbit Anti-HSP60 Polyclonal Antibody (NBP2-12734).
Western Blot: HSP60 Antibody [NBP2-12734]

Western Blot: HSP60 Antibody [NBP2-12734]

Western Blot: HSP60 Antibody [NBP2-12734] - Analysis of Parasite Lysates showing detection of HSP60 protein using Rabbit Anti-HSP60 Polyclonal Antibody . Primary Antibody: Rabbit Anti-HSP60 Polyclonal Antibody at 1:1000.

Applications for HSP60 Antibody - BSA Free

Application
Recommended Usage

Immunocytochemistry/ Immunofluorescence

1:10-1:2000

Western Blot

1:2000
Application Notes
0.9 ug/ml of HSP60 (P. falciparum) Antibody was sufficient for detection of PfHSP60 in 20 ug of P. falciparum lysate by colorimetric immunoblot analysis using Goat anti-rabbit IgG:HRP as the secondary Antibody.

Formulation, Preparation, and Storage

Purification

Protein A purified

Formulation

PBS (pH 7.4), 50% Glycerol

Format

BSA Free

Preservative

0.09% Sodium Azide

Concentration

1.83 mg/ml

Shipping

The product is shipped with polar packs. Upon receipt, store it immediately at the temperature recommended below.

Stability & Storage

Store at 4C short term. Aliquot and store at -20C long term. Avoid freeze-thaw cycles.

Background: HSP60

Certificate of Analysis, 0.9 ug/mL was sufficient for detection of PfHsp60 in 20ug of P. falciparum lysate by colorimetric immunoblot analysis using Goat anti-rabbit IgG: HRP as the secondary antibody.

Long Name

Heat Shock Protein 60

Alternate Names

cpn60, GROEL, HSPD1, SPG13

Gene Symbol

HSPD1

Additional HSP60 Products

Product Documents for HSP60 Antibody - BSA Free

Certificate of Analysis

To download a Certificate of Analysis, please enter a lot number in the search box below.

Product Specific Notices for HSP60 Antibody - BSA Free

This product is for research use only and is not approved for use in humans or in clinical diagnosis. Primary Antibodies are guaranteed for 1 year from date of receipt.

Loading...
Loading...
Loading...
Loading...