Skip to main content

Hsp47 Antibody (3K3H1)

Novus Biologicals, part of Bio-Techne | Catalog # NBP3-15430

Recombinant Monoclonal Antibody
Novus Biologicals, part of Bio-Techne
Catalog #
Availability
Size / Price
Qty
Loading...
NBP3-15430-100ul
NBP3-15430-20ul

Key Product Details

Species Reactivity

Human, Mouse

Applications

Immunocytochemistry/ Immunofluorescence, Immunohistochemistry, Immunohistochemistry-Paraffin, Western Blot

Label

Unconjugated

Antibody Source

Recombinant Monoclonal Rabbit IgG Clone # 3K3H1 expressed in HEK293

Concentration

Please see the vial label for concentration. If unlisted please contact technical services.

Product Specifications

Immunogen

A synthetic peptide corresponding to a sequence within amino acids 319-418 of human Hsp47 (P50454). KHLAGLGLTEAIDKNKADLSRMSGKKDLYLASVFHATAFELDTDGNPFDQDIYGREELRSPKLFYADHPFIFLVRDTQSGSLLFIGRLVRPKGDKMRDEL

Clonality

Monoclonal

Host

Rabbit

Isotype

IgG

Description

Novus Biologicals Rabbit Hsp47 Antibody (3K3H1) (NBP3-15430) is a recombinant monoclonal antibody validated for use in IHC, WB and ICC/IF. All Novus Biologicals antibodies are covered by our 100% guarantee.

Scientific Data Images for Hsp47 Antibody (3K3H1)

Western Blot: Hsp47 Antibody (3K3H1) [NBP3-15430]

Western Blot: Hsp47 Antibody (3K3H1) [NBP3-15430]

Western Blot: Hsp47 Antibody (3K3H1) [NBP3-15430] - Western blot analysis of extracts of various cell lines, using Hsp47 Rabbit mAb (NBP3-15430) at 1:1000 dilution. Secondary antibody: HRP Goat Anti-Rabbit IgG (H+L) at 1:10000 dilution. Lysates/proteins: 25ug per lane. Blocking buffer: 3% nonfat dry milk in TBST. Detection: ECL Basic Kit. Exposure time: 3min.
Immunocytochemistry/ Immunofluorescence: Hsp47 Antibody (3K3H1) [NBP3-15430]

Immunocytochemistry/ Immunofluorescence: Hsp47 Antibody (3K3H1) [NBP3-15430]

Immunocytochemistry/Immunofluorescence: Hsp47 Antibody (3K3H1) [NBP3-15430] - Immunofluorescence analysis of NIH-3T3 cells using Hsp47 Rabbit mAb (NBP3-15430) at dilution of 1:100 (40x lens). Blue: DAPI for nuclear staining.
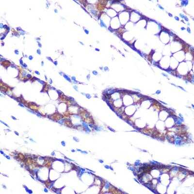
Immunohistochemistry-Paraffin: Hsp47 Antibody (3K3H1) [NBP3-15430]

Immunohistochemistry-Paraffin: Hsp47 Antibody (3K3H1) [NBP3-15430]

Immunohistochemistry-Paraffin: Hsp47 Antibody (3K3H1) [NBP3-15430] - Immunohistochemistry of paraffin-embedded human colon using Hsp47 Rabbit mAb (NBP3-15430) at dilution of 1:100 (40x lens).Perform microwave antigen retrieval with 10 mM PBS buffer pH 7.2 before commencing with IHC staining protocol.

Applications for Hsp47 Antibody (3K3H1)

Application
Recommended Usage

Immunocytochemistry/ Immunofluorescence

1:50 - 1:200

Immunohistochemistry

1:50 - 1:200

Western Blot

1:500 - 1:1000

Formulation, Preparation, and Storage

Purification

Affinity purified

Formulation

PBS (pH 7.3), 50% glycerol, 0.05% BSA

Preservative

0.02% Sodium Azide

Concentration

Please see the vial label for concentration. If unlisted please contact technical services.

Shipping

The product is shipped with polar packs. Upon receipt, store it immediately at the temperature recommended below.

Stability & Storage

Store at -20C. Avoid freeze-thaw cycles.

Background: HSP47

Hsp47 encodes a member of the serpin superfamily of serine proteinase inhibitors. Its expression is induced by heat shock. The protein localizes to the endoplasmic reticulum lumen and binds collagen; thus it is thought to be a molecular chaperone involved in the maturation of collagen molecules. Autoantibodies to this protein have been found in patients with rheumatoid arthritis.

Long Name

Heat Shock Protein 47

Alternate Names

AsTP3, BERF-1, CBP1, CBP2, Colligin, gp46, OI10, PPROM, RA-A47, Serpin H1, SERPINH1

Gene Symbol

SERPINH1

Additional HSP47 Products

Product Documents for Hsp47 Antibody (3K3H1)

Certificate of Analysis

To download a Certificate of Analysis, please enter a lot number in the search box below.

Product Specific Notices for Hsp47 Antibody (3K3H1)

This product is for research use only and is not approved for use in humans or in clinical diagnosis. Primary Antibodies are guaranteed for 1 year from date of receipt.

Loading...
Loading...
Loading...
Loading...