Skip to main content

HSF5 Antibody - BSA Free

Novus Biologicals, part of Bio-Techne | Catalog # NBP2-49401

Novus Biologicals, part of Bio-Techne
Catalog #
Availability
Size / Price
Qty
Loading...
NBP2-49401
NBP2-49401-25ul

Key Product Details

Validated by

Orthogonal Validation

Species Reactivity

Human

Applications

Immunohistochemistry, Immunohistochemistry-Paraffin

Label

Unconjugated

Antibody Source

Polyclonal Rabbit IgG

Format

BSA Free

Concentration

Concentrations vary lot to lot. See vial label for concentration. If unlisted please contact technical services.

Product Specifications

Immunogen

This antibody was developed against a recombinant protein corresponding to amino acids: LNHNPSPSSVVFVQEGPPFSTHQVDANIKCQTSSRENILPSEQMGFLISEMGPASKPSEDTGLATPARYREHRSNSQQGKSPDLH

Reactivity Notes

Mouse (84%), Rat (80%).

Clonality

Polyclonal

Host

Rabbit

Isotype

IgG

Description

Novus Biologicals Rabbit HSF5 Antibody - BSA Free (NBP2-49401) is a polyclonal antibody validated for use in IHC. All Novus Biologicals antibodies are covered by our 100% guarantee.

Scientific Data Images for HSF5 Antibody - BSA Free

Immunohistochemistry-Paraffin: HSF5 Antibody [NBP2-49401]

Immunohistochemistry-Paraffin: HSF5 Antibody [NBP2-49401]

Immunohistochemistry-Paraffin: HSF5 Antibody [NBP2-49401] - Staining in human testis and endometrium tissues using anti-HSF5 antibody. Corresponding HSF5 RNA-seq data are presented for the same tissues.
Immunohistochemistry-Paraffin: HSF5 Antibody [NBP2-49401]

Immunohistochemistry-Paraffin: HSF5 Antibody [NBP2-49401]

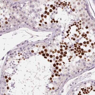
Immunohistochemistry-Paraffin: HSF5 Antibody [NBP2-49401] - Staining of human testis shows high expression.
Immunohistochemistry-Paraffin: HSF5 Antibody [NBP2-49401]

Immunohistochemistry-Paraffin: HSF5 Antibody [NBP2-49401]

Immunohistochemistry-Paraffin: HSF5 Antibody [NBP2-49401] - Staining of human endometrium shows low expression as expected.

Applications for HSF5 Antibody - BSA Free

Application
Recommended Usage

Immunohistochemistry

1:500 - 1:1000

Immunohistochemistry-Paraffin

1:500 - 1:1000
Application Notes
For IHC-Paraffin, HIER pH 6 retrieval is recommended.

Formulation, Preparation, and Storage

Purification

Affinity purified

Formulation

PBS (pH 7.2) and 40% Glycerol

Format

BSA Free

Preservative

0.02% Sodium Azide

Concentration

Concentrations vary lot to lot. See vial label for concentration. If unlisted please contact technical services.

Shipping

The product is shipped with polar packs. Upon receipt, store it immediately at the temperature recommended below.

Stability & Storage

Store at 4C short term. Aliquot and store at -20C long term. Avoid freeze-thaw cycles.

Background: HSF5

Alternate Names

FLJ40311, heat shock factor protein 5, heat shock transcription factor 5, heat shock transcription factor family member 5, HSF 5, HSTF 5, HSTF5, MGC134827

Gene Symbol

HSF5

Additional HSF5 Products

Product Documents for HSF5 Antibody - BSA Free

Certificate of Analysis

To download a Certificate of Analysis, please enter a lot number in the search box below.

Product Specific Notices for HSF5 Antibody - BSA Free

This product is for research use only and is not approved for use in humans or in clinical diagnosis. Primary Antibodies are guaranteed for 1 year from date of receipt.

Loading...
Loading...
Loading...
Loading...