Skip to main content

HSD17B7 Antibody - BSA Free

Novus Biologicals, part of Bio-Techne | Catalog # NBP3-46075

Novus Biologicals, part of Bio-Techne
Catalog #
Availability
Size / Price
Qty
Loading...
NBP3-46075

Key Product Details

Species Reactivity

Human

Applications

Immunohistochemistry, Western Blot, ELISA, Immunoprecipitation

Label

Unconjugated

Antibody Source

Polyclonal Rabbit IgG

Format

BSA Free

Concentration

Please see the vial label for concentration. If unlisted please contact technical services.

Product Specifications

Immunogen

hydroxysteroid(17-beta) dehydrogenase 7 pseudogene 2. (Uniprot# P56937)

Clonality

Polyclonal

Host

Rabbit

Isotype

IgG

Description

Novus Biologicals Rabbit HSD17B7 Antibody - BSA Free (NBP3-46075) is a polyclonal antibody validated for use in IHC, WB, ELISA and IP. All Novus Biologicals antibodies are covered by our 100% guarantee.

Scientific Data Images for HSD17B7 Antibody - BSA Free

HSD17B7 Antibody - BSA Free

Immunoprecipitation: HSD17B7 Antibody - BSA Free [NBP3-46075] -

Immunoprecipitation: HSD17B7 Antibody - BSA Free [NBP3-46075] - IP Result of anti-HSD17B7 (IP:, 4ug; Detection: 1:1000) with MCF-7 cells lysate 3200ug.
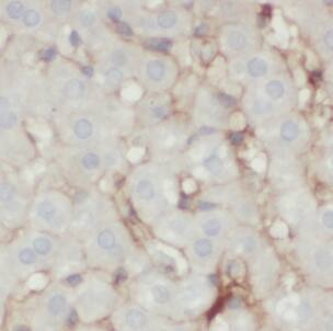
HSD17B7 Antibody - BSA Free

Immunohistochemistry: HSD17B7 Antibody - BSA Free [NBP3-46075] -

Immunohistochemistry: HSD17B7 Antibody - BSA Free [NBP3-46075] - Immunohistochemistry of paraffin-embedded human liver using (HSD17B7 antibody) at dilution of 1:50
HSD17B7 Antibody - BSA Free

Western Blot: HSD17B7 Antibody - BSA Free [NBP3-46075] -

Western Blot: HSD17B7 Antibody - BSA Free [NBP3-46075] - MCF7 cells were subjected to SDS PAGE followed by western blot with (HSD17B7 antibody) at dilution of 1:1000

Applications for HSD17B7 Antibody - BSA Free

Application
Recommended Usage

Immunohistochemistry

1:20-1:200

Immunoprecipitation

1:200-1:1000

Western Blot

1:500-1:2000
Application Notes
Theoretical Molecular Weight is 35-38 kDa

Formulation, Preparation, and Storage

Purification

Immunogen affinity purified

Formulation

PBS, 50% Glycerol, pH (7.3)

Format

BSA Free

Preservative

0.02% Sodium Azide

Concentration

Please see the vial label for concentration. If unlisted please contact technical services.

Shipping

The product is shipped with polar packs. Upon receipt, store it immediately at the temperature recommended below.

Stability & Storage

Store at -20C. Avoid freeze-thaw cycles.

Background: HSD17B7

The 17-beta-hydroxysteroid dehydrogenase enzyme (EC 1.1.1.62) oxidizes or reduces estrogens and androgens in mammals and regulates the biologic potency of these steroids.[supplied by OMIM]

Alternate Names

17 beta-hydroxysteroid dehydrogenase type VII, 17-beta-hydroxysteroid dehydrogenase 7, 3-keto-steroid reductase, EC 1.1.1.270, EC 1.1.1.62, Estradiol 17-beta-dehydrogenase 7, hydroxysteroid (17-beta) dehydrogenase 7,17beta hydroxysteroid dehydrogenase, MGC12523, MGC75018,17-beta-HSD 7, PRAP, SDR37C1, short chain dehydrogenase/reductase family 37C, member 1

Gene Symbol

HSD17B7

Additional HSD17B7 Products

Product Documents for HSD17B7 Antibody - BSA Free

Certificate of Analysis

To download a Certificate of Analysis, please enter a lot number in the search box below.

Product Specific Notices for HSD17B7 Antibody - BSA Free

This product is for research use only and is not approved for use in humans or in clinical diagnosis. Primary Antibodies are guaranteed for 1 year from date of receipt.

Loading...
Loading...
Loading...
Loading...