Skip to main content

HSBP1 Antibody - BSA Free

Novus Biologicals, part of Bio-Techne | Catalog # NBP3-46077

Novus Biologicals, part of Bio-Techne
Catalog #
Availability
Size / Price
Qty
Loading...
NBP3-46077

Key Product Details

Species Reactivity

Human, Mouse, Rat

Applications

Immunohistochemistry, Western Blot, ELISA

Label

Unconjugated

Antibody Source

Polyclonal Rabbit IgG

Format

BSA Free

Concentration

Please see the vial label for concentration. If unlisted please contact technical services.

Product Specifications

Immunogen

heat shock factor binding protein 1. (Uniprot# O75506)

Clonality

Polyclonal

Host

Rabbit

Isotype

IgG

Theoretical MW

60 kDa.
Disclaimer note: The observed molecular weight of the protein may vary from the listed predicted molecular weight due to post translational modifications, post translation cleavages, relative charges, and other experimental factors.

Description

Novus Biologicals Rabbit HSBP1 Antibody - BSA Free (NBP3-46077) is a polyclonal antibody validated for use in IHC, WB and ELISA. All Novus Biologicals antibodies are covered by our 100% guarantee.

Scientific Data Images for HSBP1 Antibody - BSA Free

HSBP1 Antibody - BSA Free

Western Blot: HSBP1 Antibody - BSA Free [NBP3-46077] -

Western Blot: HSBP1 Antibody - BSA Free [NBP3-46077] - Mouse brain tissue were subjected to SDS PAGE followed by western blot with (HSBP1 antibody) at dilution of 1:1000
HSBP1 Antibody - BSA Free

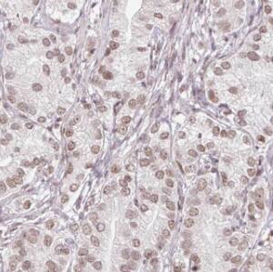
Immunohistochemistry: HSBP1 Antibody - BSA Free [NBP3-46077] -

Immunohistochemistry: HSBP1 Antibody - BSA Free [NBP3-46077] - Immunohistochemistry of paraffin-embedded human prostate cancer using (HSBP1 antibody) at dilution of 1:50

Applications for HSBP1 Antibody - BSA Free

Application
Recommended Usage

Immunohistochemistry

1:20-1:200

Western Blot

1:500-1:2000

Formulation, Preparation, and Storage

Purification

Immunogen affinity purified

Formulation

PBS, 50% Glycerol, pH (7.3)

Format

BSA Free

Preservative

0.02% Sodium Azide

Concentration

Please see the vial label for concentration. If unlisted please contact technical services.

Shipping

The product is shipped with polar packs. Upon receipt, store it immediately at the temperature recommended below.

Stability & Storage

Store at -20C. Avoid freeze-thaw cycles.

Background: HSBP1

The heat-shock response is elicited by exposure of cells to thermal and chemical stress and through the activation ofHSFs (heat shock factors) results in the elevated expression of heat-shock induced genes. Heat shock factor bindingprotein 1 (HSBP1), is a 76-amino-acid protein that binds to heat shock factor 1(HSF1), which is a transcription factorinvolved in the HS response. During HS response, HSF1 undergoes conformational transition from an inertnon-DNA-binding monomer to active functional trimers. HSBP1 is nuclear-localized and interacts with the activetrimeric state of HSF1 to negatively regulate HSF1 DNA-binding activity. Overexpression of HSBP1 in mammalian cellsrepresses the transactivation activity of HSF1. When overexpressed in C.elegans HSBP1 has severe effects on survivalof the animals after thermal and chemical stress consistent with a role of HSBP1 as a negative regulator of heat shockresponse. (provided by RefSeq)

Alternate Names

DKFZp686D1664, DKFZp686O24200, heat shock factor binding protein 1, heat shock factor-binding protein 1, HSF1BP, Nasopharyngeal carcinoma-associated antigen 13, NPC-A-13

Gene Symbol

HSBP1

Additional HSBP1 Products

Product Documents for HSBP1 Antibody - BSA Free

Certificate of Analysis

To download a Certificate of Analysis, please enter a lot number in the search box below.

Product Specific Notices for HSBP1 Antibody - BSA Free

This product is for research use only and is not approved for use in humans or in clinical diagnosis. Primary Antibodies are guaranteed for 1 year from date of receipt.

Loading...
Loading...
Loading...
Loading...