Skip to main content

HS3ST5 Antibody - BSA Free

Novus Biologicals, part of Bio-Techne | Catalog # NBP1-89373

Novus Biologicals, part of Bio-Techne
Catalog #
Availability
Size / Price
Qty
Loading...
NBP1-89373
NBP1-89373-25ul

Key Product Details

Species Reactivity

Validated:

Human

Predicted:

Mouse (91%), Rat (91%). Backed by our 100% Guarantee.

Applications

Immunohistochemistry, Immunohistochemistry-Paraffin, Western Blot

Label

Unconjugated

Antibody Source

Polyclonal Rabbit IgG

Format

BSA Free

Concentration

Concentrations vary lot to lot. See vial label for concentration. If unlisted please contact technical services.

Product Specifications

Immunogen

This antibody was developed against Recombinant Protein corresponding to amino acids: DRLQPICPIEGRLGGARTQAEFPLRALQFKRGLLHEFRKGNASKEQVRLHDLVQQLPKAIIIGVRKGGTRALLEMLNLHPAVVKASQEIHF

Clonality

Polyclonal

Host

Rabbit

Isotype

IgG

Scientific Data Images for HS3ST5 Antibody - BSA Free

HS3ST5 Antibody - BSA Free Immunohistochemistry-Paraffin: HS3ST5 Antibody - BSA Free [NBP1-89373]

Immunohistochemistry-Paraffin: HS3ST5 Antibody - BSA Free [NBP1-89373]

Staining of human pancreas shows no cytoplasmic positivity in exocrine glandular cells as expected.
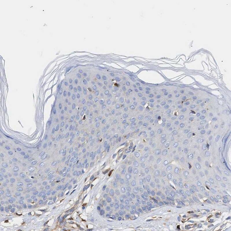
HS3ST5 Antibody - BSA Free Immunohistochemistry-Paraffin: HS3ST5 Antibody - BSA Free [NBP1-89373]

Immunohistochemistry-Paraffin: HS3ST5 Antibody - BSA Free [NBP1-89373]

Staining of human skin shows no cytoplasmic positivity in squamous epithelial cells as expected.
HS3ST5 Antibody - BSA Free Immunohistochemistry-Paraffin: HS3ST5 Antibody - BSA Free [NBP1-89373]

Immunohistochemistry-Paraffin: HS3ST5 Antibody - BSA Free [NBP1-89373]

Staining of human cerebellum shows strong cytoplasmic positivity in Purkinje cells.

Applications for HS3ST5 Antibody - BSA Free

Application
Recommended Usage

Immunohistochemistry

1:200 - 1:500

Immunohistochemistry-Paraffin

1:200 - 1:500

Western Blot

0.04-0.4 ug/ml
Application Notes
For IHC-Paraffin, HIER pH 6 retrieval is recommended.

Formulation, Preparation, and Storage

Purification

Affinity purified

Formulation

PBS (pH 7.2) and 40% Glycerol

Format

BSA Free

Preservative

0.02% Sodium Azide

Concentration

Concentrations vary lot to lot. See vial label for concentration. If unlisted please contact technical services.

Shipping

The product is shipped with polar packs. Upon receipt, store it immediately at the temperature recommended below.

Stability & Storage

Store at 4C short term. Aliquot and store at -20C long term. Avoid freeze-thaw cycles.

Background: HS3ST5

HS3ST5 belongs to a group of heparan sulfate 3-O-sulfotransferases (EC 2.8.2.23) that transfer sulfate from3-prime-phosphoadenosine 5-prime phosphosulfate (PAPS) to heparan sulfate and heparin (Mochizuki et al., 2003 (PubMed12740361)).(supplied by OMIM)

Alternate Names

3-OST-5EC 2.8.2.23, 3OST5NBLA04021, EC 2.8.2, h3-OST-5, heparan sulfate (glucosamine) 3-O-sulfotransferase 5, heparan sulfate 3-OST-5, Heparan sulfate 3-O-sulfotransferase 5, Heparan sulfate D-glucosaminyl 3-O-sulfotransferase 5, heparan sulfate glucosamine 3-O-sulfotransferase 5, HS3OST5

Gene Symbol

HS3ST5

Additional HS3ST5 Products

Product Documents for HS3ST5 Antibody - BSA Free

Certificate of Analysis

To download a Certificate of Analysis, please enter a lot number in the search box below.

Product Specific Notices for HS3ST5 Antibody - BSA Free

This product is for research use only and is not approved for use in humans or in clinical diagnosis. Primary Antibodies are guaranteed for 1 year from date of receipt.

Loading...
Loading...
Loading...
Loading...