Skip to main content

HRD1 Antibody - BSA Free

Novus Biologicals, part of Bio-Techne | Catalog # NBP1-89668

Novus Biologicals, part of Bio-Techne
Catalog #
Availability
Size / Price
Qty
Loading...
NBP1-89668
NBP1-89668-25ul

Key Product Details

Validated by

Independent Antibodies

Species Reactivity

Validated:

Human

Predicted:

Mouse (100%), Rat (99%). Backed by our 100% Guarantee.

Applications

Immunohistochemistry, Immunohistochemistry-Paraffin

Label

Unconjugated

Antibody Source

Polyclonal Rabbit IgG

Format

BSA Free

Concentration

Concentrations vary lot to lot. See vial label for concentration. If unlisted please contact technical services.

Product Specifications

Immunogen

This antibody was developed against Recombinant Protein corresponding to amino acids: HTFPLFAIRPMYLAMRQFKKAVTDAIMSRRAIRNMNTLYPDATPEELQAMDNVCIICREEMVTGAKRLPCNHIFHTSCLRSWFQRQQTCPTCRMDVLRASLPAQSPPPPEPADQGP

Clonality

Polyclonal

Host

Rabbit

Isotype

IgG

Description

Novus Biologicals Rabbit HRD1 Antibody - BSA Free (NBP1-89668) is a polyclonal antibody validated for use in IHC. All Novus Biologicals antibodies are covered by our 100% guarantee.

Scientific Data Images for HRD1 Antibody - BSA Free

HRD1 Antibody - BSA Free Immunohistochemistry-Paraffin: HRD1 Antibody - BSA Free [NBP1-89668]

Immunohistochemistry-Paraffin: HRD1 Antibody - BSA Free [NBP1-89668]

Staining of human cerebral cortex, lymphoid tissues, pancreas and skeletal muscle using Anti-SYVN1 antibody NBP1-89668 (A) shows similar protein distribution across tissues to independent antibody NBP1-89667 (B).
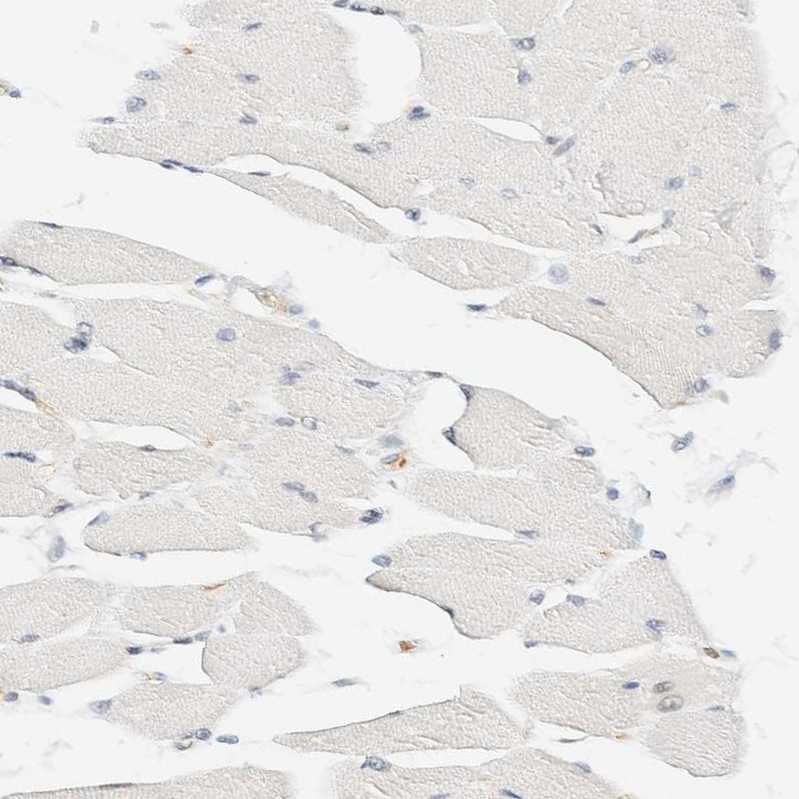
HRD1 Antibody - BSA Free Immunohistochemistry-Paraffin: HRD1 Antibody - BSA Free [NBP1-89668]

Immunohistochemistry-Paraffin: HRD1 Antibody - BSA Free [NBP1-89668]

Staining of human skeletal muscle shows no positivity in myocytes as expected.
HRD1 Antibody - BSA Free Immunohistochemistry-Paraffin: HRD1 Antibody - BSA Free [NBP1-89668]

Immunohistochemistry-Paraffin: HRD1 Antibody - BSA Free [NBP1-89668]

Staining of human tonsil shows strong cytoplasmic positivity in non-germinal center cells.

Applications for HRD1 Antibody - BSA Free

Application
Recommended Usage

Immunohistochemistry

1:500 - 1:1000

Immunohistochemistry-Paraffin

1:500 - 1:1000
Application Notes
For IHC-Paraffin, HIER pH 6 retrieval is recommended.

Formulation, Preparation, and Storage

Purification

Immunogen affinity purified

Formulation

PBS (pH 7.2) and 40% Glycerol

Format

BSA Free

Preservative

0.02% Sodium Azide

Concentration

Concentrations vary lot to lot. See vial label for concentration. If unlisted please contact technical services.

Shipping

The product is shipped with polar packs. Upon receipt, store it immediately at the temperature recommended below.

Stability & Storage

Store at 4C short term. Aliquot and store at -20C long term. Avoid freeze-thaw cycles.

Background: HRD1

HRD1 is a ubiquitin ligase whose expression is induced by the unfolded protein response (UPR) following endoplasmic reticulum stress. Expression of HRD1 protects cells from apoptosis by inducing degradation of abnormally processed proteins that accumulate in the endoplasmic reticulum. HRD1 is expressed in many tissues, strongly expressed in brain, pancreas, liver, kidney and skeletal muscle. It has been reported that Synoviolin/Hrd1 (expressed in rheumatoid synovium) is a novel causative factor for arthropathy by triggering synovial cell outgrowth through its anti-apoptotic effects. HRD1 contains one ring-type zinc finger.

Alternate Names

E3 ubiquitin-protein ligase synoviolin, EC 6.3.2, HRD1EC 6.3.2.-, KIAA1810Synovial apoptosis inhibitor 1, MGC40372, synovial apoptosis inhibitor 1, synoviolin

Gene Symbol

SYVN1

Additional HRD1 Products

Product Documents for HRD1 Antibody - BSA Free

Certificate of Analysis

To download a Certificate of Analysis, please enter a lot number in the search box below.

Product Specific Notices for HRD1 Antibody - BSA Free

This product is for research use only and is not approved for use in humans or in clinical diagnosis. Primary Antibodies are guaranteed for 1 year from date of receipt.

Loading...
Loading...
Loading...
Loading...