Skip to main content

HRD1 Antibody - BSA Free

Novus Biologicals, part of Bio-Techne | Catalog # NB100-2526

Novus Biologicals, part of Bio-Techne

Key Product Details

Species Reactivity

Validated:

Human, Mouse, Hamster

Cited:

Human, Mouse

Applications

Validated:

Knockout Validated, Immunohistochemistry, Immunohistochemistry-Paraffin, Western Blot, Immunocytochemistry/ Immunofluorescence, Immunoprecipitation

Cited:

Immunohistochemistry-Paraffin, Western Blot, Immunoprecipitation

Label

Unconjugated

Antibody Source

Polyclonal Rabbit IgG

Format

BSA Free

Concentration

1.0 mg/ml

Product Specifications

Immunogen

A synthetic peptide made to an internal portion of human HRD1 (within residues 300-400). [UniProt Q96PK3]

Reactivity Notes

Hamster reactivity reported in scientific literature (PMID: 25078082).

Clonality

Polyclonal

Host

Rabbit

Isotype

IgG

Description

Novus Biologicals Knockout (KO) Validated Rabbit HRD1 Antibody - BSA Free (NB100-2526) is a polyclonal antibody validated for use in IHC, WB, ICC/IF and IP. Anti-HRD1 Antibody: Cited in 15 publications. All Novus Biologicals antibodies are covered by our 100% guarantee.

Scientific Data Images for HRD1 Antibody - BSA Free

Western Blot: HRD1 AntibodyBSA Free [NB100-2526]

Western Blot: HRD1 AntibodyBSA Free [NB100-2526]

HRD1-Antibody-Western-Blot-NB100-2526-img0006.jpg
Immunocytochemistry/ Immunofluorescence: HRD1 Antibody - BSA Free [NB100-2526]

Immunocytochemistry/ Immunofluorescence: HRD1 Antibody - BSA Free [NB100-2526]

Immunocytochemistry/Immunofluorescence: HRD1 Antibody [NB100-2526] - HRD1 antibody was tested in Hek293 cells with Dylight 488 (green). Nuclei and alpha-tubulin were counterstained with DAPI (blue) and Dylight 550 (red).
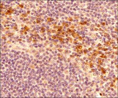
Immunohistochemistry-Paraffin: HRD1 Antibody - BSA Free [NB100-2526]

Immunohistochemistry-Paraffin: HRD1 Antibody - BSA Free [NB100-2526]

Immunohistochemistry-Paraffin: HRD1 Antibody [NB100-2526] - FFPE tissue section of human tonsil using rabbit polyclonal HRD1 antibody at 2 ug/mL concentration (1:500 dilution). The primary antibody binding to SYVN1/HRD1 antigen in cells was detected using HRP conjugated anti-Rabbit secondary antibody with DAB reagent, and the sections were further counterstained with hematoxylin for labeling cellular nuclei. This HRD1 antibody generated an expected cytoplasmic staining of HRD1 with stronger signal around periphery of the nucleus signifying the staining of the endoplasmic reticulum.

Applications for HRD1 Antibody - BSA Free

Application
Recommended Usage

Immunocytochemistry/ Immunofluorescence

1:500

Immunohistochemistry

1:200 - 1:500

Immunohistochemistry-Paraffin

1:200 - 1:500. Use reported in scientific literature (PMID 24453213)

Immunoprecipitation

reported in scientific literature (PMID 35350536)

Knockout Validated

reported in scientific literature (PMID 26551274)

Western Blot

1:1000 - 1:2000
Application Notes
Heat samples at 50C for 30 minutes to detect HRD1 by Western blot.

Reviewed Applications

Read 3 reviews rated 5 using NB100-2526 in the following applications:

Formulation, Preparation, and Storage

Purification

Immunogen affinity purified

Formulation

PBS

Format

BSA Free

Preservative

0.02% Sodium Azide

Concentration

1.0 mg/ml

Shipping

The product is shipped with polar packs. Upon receipt, store it immediately at the temperature recommended below.

Stability & Storage

Aliquot and store at -20C or -80C. Avoid freeze-thaw cycles.

Background: HRD1

HRD1 (synovial apoptosis inhibitor 1 or SYVN1) is a ubiquitin ligase whose expression is induced by UPR following ER stress and it provides protection to cells from apoptosis by inducing degradation of abnormally processed proteins that accumulate in ER. HRD1 acts as an E3 ubiquitin-protein ligase which accepts ubiquitin specifically from ER-associated UBC7 E2 ligase and transfers it to target proteins for promoting their degradation. It is a component of ER's quality control system called ERAD (ER-associated degradation) which is involved in ubiquitin-dependent degradation of misfolded ER proteins. HRD1 also facilitates the degradation of normal/naturally short-lived proteins such as SGK, and has been shown to protect neuronal cells from apoptosis triggered by polyglutamine-expanded huntingtin (HTT) or unfolded GPR37 by prooting their degradation. Moreover, HRD1 sequesters p53/TP53 in the cytoplasm and promotes its degradation, thereby negatively regulating its biological function in transcription, cell cycle regulation and apoptosis.

Alternate Names

E3 ubiquitin-protein ligase synoviolin, EC 6.3.2, HRD1EC 6.3.2.-, KIAA1810Synovial apoptosis inhibitor 1, MGC40372, synovial apoptosis inhibitor 1, synoviolin

Entrez Gene IDs

84447 (Human); 74126 (Mouse)

Gene Symbol

SYVN1

UniProt

Additional HRD1 Products

Product Documents for HRD1 Antibody - BSA Free

Certificate of Analysis

To download a Certificate of Analysis, please enter a lot number in the search box below.

Product Specific Notices for HRD1 Antibody - BSA Free

This product is for research use only and is not approved for use in humans or in clinical diagnosis. Primary Antibodies are guaranteed for 1 year from date of receipt.

Loading...
Loading...
Loading...
Loading...
Loading...