Skip to main content

HPV18 E7 Antibody - BSA Free

Novus Biologicals, part of Bio-Techne | Catalog # NBP3-13223

Novus Biologicals, part of Bio-Techne
Catalog #
Availability
Size / Price
Qty
Loading...
NBP3-13223

Key Product Details

Species Reactivity

Virus

Applications

Western Blot, Immunocytochemistry/ Immunofluorescence

Label

Unconjugated

Antibody Source

Polyclonal Rabbit IgG

Format

BSA Free

Concentration

Concentrations vary lot to lot. See vial label for concentration. If unlisted please contact technical services.

Product Specifications

Immunogen

Full length HPV18 E7 recombinant protein.

Reactivity Notes

Human papillomavirus type 18

Clonality

Polyclonal

Host

Rabbit

Isotype

IgG

Description

Centrifuge briefly prior to opening.

Scientific Data Images for HPV18 E7 Antibody - BSA Free

Immunocytochemistry/ Immunofluorescence: HPV18 E7 Antibody [NBP3-13223]

Immunocytochemistry/ Immunofluorescence: HPV18 E7 Antibody [NBP3-13223]

Immunocytochemistry/Immunofluorescence: HPV18 E7 Antibody [NBP3-13223] - HPV18 E7 antibody detects HPV18 E7 protein at cytoplasm by immunofluorescent analysis. Sample: HeLa cells were fixed in 4% paraformaldehyde at RT for 15 min. Green: HPV18 E7 stained by HPV18 E7 antibody (NBP3-13223) diluted at 1:500. Blue: Hoechst 33342 staining. Scale bar= 10 um.
HPV18 E7 Antibody - BSA Free

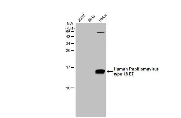
Western Blot: HPV18 E7 Antibody [NBP3-13223] -

Various whole cell extracts (30 ug) were separated by 15% SDS-PAGE, and the membrane was blotted with Human Papillomavirus type 18 E7 antibody (NBP3-13223) diluted at 1:1000. The HRP-conjugated anti-rabbit IgG antibody was used to detect the primary antibody.

Applications for HPV18 E7 Antibody - BSA Free

Application
Recommended Usage

Immunocytochemistry/ Immunofluorescence

Assay dependent

Western Blot

1:500-1:3000

Formulation, Preparation, and Storage

Purification

Antigen Affinity-purified

Formulation

PBS, 20% Glycerol

Format

BSA Free

Preservative

0.025% Proclin 300

Concentration

Concentrations vary lot to lot. See vial label for concentration. If unlisted please contact technical services.

Shipping

The product is shipped with polar packs. Upon receipt, store it immediately at the temperature recommended below.

Stability & Storage

Store at 4C short term. Aliquot and store at -20C long term. Avoid freeze-thaw cycles.

Background: HPV18 E7

Alternate Names

E7 protein

Additional HPV18 E7 Products

Product Documents for HPV18 E7 Antibody - BSA Free

Certificate of Analysis

To download a Certificate of Analysis, please enter a lot number in the search box below.

Product Specific Notices for HPV18 E7 Antibody - BSA Free

This product is for research use only and is not approved for use in humans or in clinical diagnosis. Primary Antibodies are guaranteed for 1 year from date of receipt.

Loading...
Loading...
Loading...
Loading...