HOXD10 Antibody (OTI1D11)
Novus Biologicals, part of Bio-Techne | Catalog # NBP2-45744
Conjugate
Catalog #
Forumulation
Catalog #
Key Product Details
Species Reactivity
Human, Mouse, Rat
Applications
Immunohistochemistry, Immunohistochemistry-Paraffin, Western Blot
Label
Unconjugated
Antibody Source
Monoclonal Mouse IgG2B Clone # OTI1D11
Concentration
1 mg/ml
Product Specifications
Immunogen
Human recombinant protein fragment corresponding to amino acids 80-340 of human HOXD10 (NP_002139) produced in E.coli.
Reactivity Notes
Please note that this antibody is reactive to Mouse and derived from the same host, Mouse. Mouse-On-Mouse blocking reagent may be needed for IHC and ICC experiments to reduce high background signal. You can find these reagents under catalog numbers PK-2200-NB and MP-2400-NB. Please contact Technical Support if you have any questions.
Clonality
Monoclonal
Host
Mouse
Isotype
IgG2B
Theoretical MW
38.2 kDa.
Disclaimer note: The observed molecular weight of the protein may vary from the listed predicted molecular weight due to post translational modifications, post translation cleavages, relative charges, and other experimental factors.
Disclaimer note: The observed molecular weight of the protein may vary from the listed predicted molecular weight due to post translational modifications, post translation cleavages, relative charges, and other experimental factors.
Description
Novus Biologicals Mouse HOXD10 Antibody (OTI1D11) (NBP2-45744) is a monoclonal antibody validated for use in IHC and WB. All Novus Biologicals antibodies are covered by our 100% guarantee.
Scientific Data Images for HOXD10 Antibody (OTI1D11)
Western Blot: HOXD10 Antibody (OTI1D11) [NBP2-45744]
Western Blot: HOXD10 Antibody (1D11) [NBP2-45744] - Analysis of HEK293T cells were transfected with the pCMV6-ENTRY control (Left lane) or pCMV6-ENTRY HOXD10.Immunohistochemistry: HOXD10 Antibody (OTI1D11) [NBP2-45744]
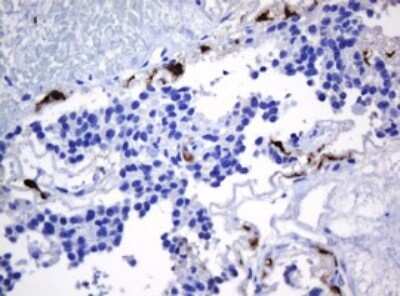
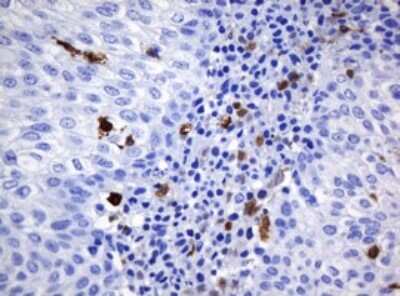
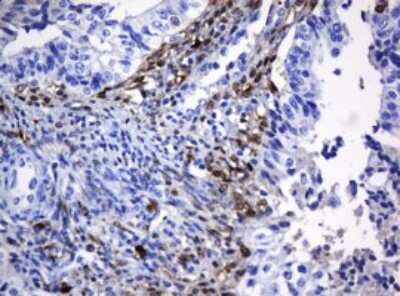
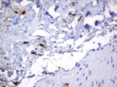
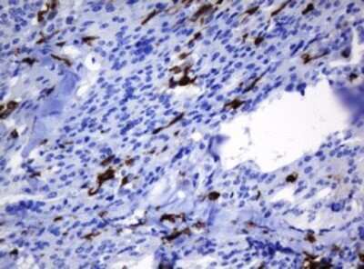
Immunohistochemistry: HOXD10 Antibody (1D11) [NBP2-45744] - Analysis of Carcinoma of Human bladder tissue. (Heat-induced epitope retrieval by 10mM citric buffer, pH6.0, 120C for 3min)Immunohistochemistry: HOXD10 Antibody (OTI1D11) [NBP2-45744]
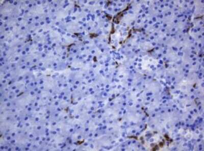
Immunohistochemistry: HOXD10 Antibody (1D11) [NBP2-45744] - Analysis of Carcinoma of Human pancreas tissue. (Heat-induced epitope retrieval by 10mM citric buffer, pH6.0, 120C for 3min)Applications for HOXD10 Antibody (OTI1D11)
Application
Recommended Usage
Immunohistochemistry
1:150
Western Blot
1:500
Formulation, Preparation, and Storage
Purification
Immunogen affinity purified
Formulation
PBS (pH 7.3), 1.0% BSA and 50% Glycerol
Preservative
0.02% Sodium Azide
Concentration
1 mg/ml
Shipping
The product is shipped with polar packs. Upon receipt, store it immediately at the temperature recommended below.
Stability & Storage
Store at -20C. Avoid freeze-thaw cycles.
Background: HOXD10
Long Name
Homeobox D10
Alternate Names
HOX4, HOX4D, HOX4E
Gene Symbol
HOXD10
Additional HOXD10 Products
Product Documents for HOXD10 Antibody (OTI1D11)
Product Specific Notices for HOXD10 Antibody (OTI1D11)
This product is for research use only and is not approved for use in humans or in clinical diagnosis. Primary Antibodies are guaranteed for 1 year from date of receipt.
Loading...
Loading...
Loading...
Loading...