HOXB13 Antibody - BSA Free
Novus Biologicals, part of Bio-Techne | Catalog # NBP2-48778
Key Product Details
Validated by
Orthogonal Validation, Independent Antibodies
Species Reactivity
Validated:
Human
Predicted:
Mouse (90%), Rat (90%). Backed by our 100% Guarantee.
Applications
Immunocytochemistry/ Immunofluorescence, Immunohistochemistry, Immunohistochemistry-Paraffin
Label
Unconjugated
Antibody Source
Polyclonal Rabbit IgG
Format
BSA Free
Concentration
Concentrations vary lot to lot. See vial label for concentration. If unlisted please contact technical services.
Product Specifications
Immunogen
This antibody was developed against a recombinant protein corresponding to amino acids: GEPRHDSLLPVDSYQSWALAGGWNSQMCCQGEQNPPGPFWKAAFADSSGQHPPDACAFRR
Clonality
Polyclonal
Host
Rabbit
Isotype
IgG
Description
Novus Biologicals Rabbit HOXB13 Antibody - BSA Free (NBP2-48778) is a polyclonal antibody validated for use in IHC and ICC/IF. All Novus Biologicals antibodies are covered by our 100% guarantee.
Scientific Data Images for HOXB13 Antibody - BSA Free
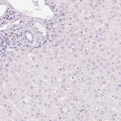
Immunohistochemistry-Paraffin: HOXB13 Antibody [NBP2-48778]
Immunohistochemistry-Paraffin: HOXB13 Antibody [NBP2-48778] - Staining of human colon, liver, prostate and rectum using Anti-HOXB13 antibody NBP2-48778 (A) shows similar protein distribution across tissues to independent antibody NBP2-49375 (B).Immunocytochemistry/ Immunofluorescence: HOXB13 Antibody [NBP2-48778]
Immunocytochemistry/Immunofluorescence: HOXB13 Antibody [NBP2-48778] - Staining of human cell line PC-3 shows localization to nucleoplasm. Antibody staining is shown in green.Applications for HOXB13 Antibody - BSA Free
Application
Recommended Usage
Immunocytochemistry/ Immunofluorescence
0.25-2 ug/ml
Immunohistochemistry
1:1000 - 1:2500
Immunohistochemistry-Paraffin
1:1000 - 1:2500
Application Notes
For IHC-Paraffin, HIER pH 6 retrieval is recommended. ICC/IF Fixation Permeabilization: Use PFA/Triton X-100.
Formulation, Preparation, and Storage
Purification
Immunogen affinity purified
Formulation
PBS (pH 7.2) and 40% Glycerol
Format
BSA Free
Preservative
0.02% Sodium Azide
Concentration
Concentrations vary lot to lot. See vial label for concentration. If unlisted please contact technical services.
Shipping
The product is shipped with polar packs. Upon receipt, store it immediately at the temperature recommended below.
Stability & Storage
Store at 4C short term. Aliquot and store at -20C long term. Avoid freeze-thaw cycles.
Background: HOXB13
Long Name
Homeobox B13
Alternate Names
PSGD
Gene Symbol
HOXB13
Additional HOXB13 Products
Product Documents for HOXB13 Antibody - BSA Free
Product Specific Notices for HOXB13 Antibody - BSA Free
This product is for research use only and is not approved for use in humans or in clinical diagnosis. Primary Antibodies are guaranteed for 1 year from date of receipt.
Loading...
Loading...
Loading...
Loading...