Skip to main content

HOOK2 Antibody - BSA Free

Novus Biologicals, part of Bio-Techne | Catalog # NBP2-14986

Novus Biologicals, part of Bio-Techne
Catalog #
Availability
Size / Price
Qty
Loading...
NBP2-14986

Key Product Details

Species Reactivity

Validated:

Human, Mouse

Predicted:

Bovine (90%), Rat (90%). Backed by our 100% Guarantee.

Applications

Immunohistochemistry, Immunohistochemistry-Paraffin, Western Blot, Immunocytochemistry/ Immunofluorescence, Immunoprecipitation

Label

Unconjugated

Antibody Source

Polyclonal Rabbit IgG

Format

BSA Free

Concentration

Concentrations vary lot to lot. See vial label for concentration. If unlisted please contact technical services.

Product Specifications

Immunogen

Recombinant protein encompassing a sequence within the center region of human HOOK2. The exact sequence is proprietary.

Clonality

Polyclonal

Host

Rabbit

Isotype

IgG

Theoretical MW

83 kDa.
Disclaimer note: The observed molecular weight of the protein may vary from the listed predicted molecular weight due to post translational modifications, post translation cleavages, relative charges, and other experimental factors.

Description

Novus Biologicals Rabbit HOOK2 Antibody - BSA Free (NBP2-14986) is a polyclonal antibody validated for use in IHC, WB, ICC/IF and IP. Anti-HOOK2 Antibody: Cited in 1 publication. All Novus Biologicals antibodies are covered by our 100% guarantee.

Scientific Data Images for HOOK2 Antibody - BSA Free

Western Blot: HOOK2 Antibody [NBP2-14986]

Western Blot: HOOK2 Antibody [NBP2-14986]

Western Blot: HOOK2 Antibody [NBP2-14986] - Sample (30 ug of whole cell lysate) A: HCT116 7. 5% SDS PAGE; antibody diluted at 1:1000.
Immunocytochemistry/ Immunofluorescence: HOOK2 Antibody [NBP2-14986]

Immunocytochemistry/ Immunofluorescence: HOOK2 Antibody [NBP2-14986]

Immunocytochemistry/Immunofluorescence: HOOK2 Antibody [NBP2-14986] - HeLa cells were fixed in 4% paraformaldehyde at RT for 15 min.Green: HOOK2 protein stained by HOOK2 antibody (NBP2-14986) diluted at 1:500. Red: alpha Tubulin, a cytoskeleton marker, stained by alpha Tubulin antibody (NBP2-43837) diluted at 1:1000. Blue: Hoechst 33342 staining.
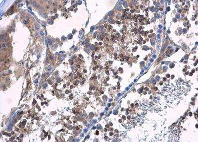
Immunohistochemistry-Paraffin: HOOK2 Antibody [NBP2-14986]

Immunohistochemistry-Paraffin: HOOK2 Antibody [NBP2-14986]

Immunohistochemistry-Paraffin: HOOK2 Antibody [NBP2-14986] - Paraffin-embedded mouse testis.HOOK2 antibody diluted at 1:500.

Applications for HOOK2 Antibody - BSA Free

Application
Recommended Usage

Immunocytochemistry/ Immunofluorescence

1:100-1:1000

Immunohistochemistry

1:100-1:1000

Immunohistochemistry-Paraffin

1:100-1:1000

Immunoprecipitation

1:10 - 1:500

Western Blot

1:500-1:3000

Formulation, Preparation, and Storage

Purification

Antigen Affinity-purified

Formulation

0.1M Tris, 0.1M Glycine, 20% Glycerol

Format

BSA Free

Preservative

0.01% Thimerosal

Concentration

Concentrations vary lot to lot. See vial label for concentration. If unlisted please contact technical services.

Shipping

The product is shipped with polar packs. Upon receipt, store it immediately at the temperature recommended below.

Stability & Storage

Aliquot and store at -20C or -80C. Avoid freeze-thaw cycles.

Background: HOOK2

Hook proteins are cytosolic coiled-coil proteins that contain conserved N-terminal domains, which attach to microtubules, and more divergent C-terminal domains, which mediate binding to organelles. The Drosophila Hook protein is a component of the endocytic compartment.[supplied by OMIM]

Alternate Names

FLJ26218, hHK2, HK2h-hook2, hook homolog 2 (Drosophila), protein Hook homolog 2

Gene Symbol

HOOK2

UniProt

Additional HOOK2 Products

Product Documents for HOOK2 Antibody - BSA Free

Certificate of Analysis

To download a Certificate of Analysis, please enter a lot number in the search box below.

Product Specific Notices for HOOK2 Antibody - BSA Free

This product is for research use only and is not approved for use in humans or in clinical diagnosis. Primary Antibodies are guaranteed for 1 year from date of receipt.

Loading...
Loading...
Loading...
Loading...

⚠ WARNING: This product can expose you to chemicals including mercury, which is known to the State of California to cause reproductive toxicity with developmental effects.  For more information go to www.P65Warnings.ca.gov.