Skip to main content

HO-1/HMOX1/HSP32 Antibody - BSA Free

Novus Biologicals, part of Bio-Techne | Catalog # NBP1-89964

Novus Biologicals, part of Bio-Techne
Catalog #
Availability
Size / Price
Qty
Loading...
NBP1-89964
NBP1-89964-25ul

Key Product Details

Validated by

Orthogonal Validation

Species Reactivity

Human

Applications

Immunohistochemistry, Immunohistochemistry-Paraffin, Western Blot

Label

Unconjugated

Antibody Source

Polyclonal Rabbit IgG

Format

BSA Free

Concentration

Concentrations vary lot to lot. See vial label for concentration. If unlisted please contact technical services.

Product Specifications

Immunogen

This antibody was developed against a recombinant protein corresponding to the amino acids: QDLSEALKEATKEVHTQAENAEFMRNFQKGQVTRDGFKLVMASLYHIYVALEEEIERNKESPVFAPVYFPEELHRKAALEQDLAFWYGPRWQEVIPYTPAMQRYVKRLHEVGRTEPELLVAHAYTRYLGDLSGGQVLKKIAQKALDLPSSGEGLAFFTFPNIASATKFKQLYRSRMNSLEMTPAVRQRVIEEAKTAF

Reactivity Notes

Immunogen displays the following percentage of sequence identity for non-tested species: Mouse (86%), Rat (85%)

Marker

Oxidative Stress Marker

Clonality

Polyclonal

Host

Rabbit

Isotype

IgG

Scientific Data Images for HO-1/HMOX1/HSP32 Antibody - BSA Free

Immunohistochemistry-Paraffin: HO-1/HMOX1/HSP32 Antibody [NBP1-89964]

Immunohistochemistry-Paraffin: HO-1/HMOX1/HSP32 Antibody [NBP1-89964]

Immunohistochemistry-Paraffin: HO-1/HMOX1/HSP32 Antibody [NBP1-89964] - Staining in human spleen and skeletal muscle tissues using NBP1-89964 antibody. Corresponding HMOX1 RNA-seq data are presented for the same tissues.
Immunohistochemistry-Paraffin: HO-1/HMOX1/HSP32 Antibody [NBP1-89964]

Immunohistochemistry-Paraffin: HO-1/HMOX1/HSP32 Antibody [NBP1-89964]

Immunohistochemistry-Paraffin: HO-1/HMOX1/HSP32 Antibody [NBP1-89964] - Staining of human spleen shows strong granular cytoplasmic positivity in cells in red pulp.
Immunohistochemistry-Paraffin: HO-1/HMOX1/HSP32 Antibody [NBP1-89964]

Immunohistochemistry-Paraffin: HO-1/HMOX1/HSP32 Antibody [NBP1-89964]

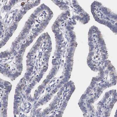
Immunohistochemistry-Paraffin: HO-1/HMOX1/HSP32 Antibody [NBP1-89964] - Staining of human skeletal muscle shows shows no positivity in myocytes as expected.

Applications for HO-1/HMOX1/HSP32 Antibody - BSA Free

Application
Recommended Usage

Immunohistochemistry

1:500 - 1:1000

Immunohistochemistry-Paraffin

1:500 - 1:1000

Western Blot

0.04 - 0.4 ug/ml
Application Notes
For IHC-Paraffin, HIER pH 6 retrieval is recommended.

Formulation, Preparation, and Storage

Purification

Affinity purified

Formulation

PBS (pH 7.2) and 40% Glycerol

Format

BSA Free

Preservative

0.02% Sodium Azide

Concentration

Concentrations vary lot to lot. See vial label for concentration. If unlisted please contact technical services.

Shipping

The product is shipped with polar packs. Upon receipt, store it immediately at the temperature recommended below.

Stability & Storage

Store at 4C short term. Aliquot and store at -20C long term. Avoid freeze-thaw cycles.

Background: HO-1/HMOX1/HSP32

Stressed mammalian cells up-regulate heme oxygenase 1 (HO-1), which catabolizes heme to biliverdin, carbon monoxide, and free iron. Results provide genetic evidence that up-regulation of HO-1 serves as an adaptive mechanism to protect cells from oxidative damage during stress (1). When cells are injured they release their contents, resulting in a local accumulation of free heme proteins and heme. HO-1 plays a crucial role in the inflammatory process during wound healing (2). TNFalpha accelerates inflammatory responses by down-regulating HO-1 expression in human monocytes. TNF antagonists may block this TNF-dependent suppression of HO-1 expression, resulting in an amelioration of inflammation (3).

Long Name

Heme Oxygenase 1

Alternate Names

HMOX1, HO1, HSP32

Gene Symbol

HMOX1

Additional HO-1/HMOX1/HSP32 Products

Product Documents for HO-1/HMOX1/HSP32 Antibody - BSA Free

Certificate of Analysis

To download a Certificate of Analysis, please enter a lot number in the search box below.

Product Specific Notices for HO-1/HMOX1/HSP32 Antibody - BSA Free

This product is for research use only and is not approved for use in humans or in clinical diagnosis. Primary Antibodies are guaranteed for 1 year from date of receipt.

Loading...
Loading...
Loading...
Loading...