Skip to main content

HO-1/HMOX1/HSP32 Antibody - BSA Free

Novus Biologicals, part of Bio-Techne | Catalog # NBP1-77459

Novus Biologicals, part of Bio-Techne

Key Product Details

Species Reactivity

Validated:

Human, Mouse

Predicted:

Orangutan (100%). Backed by our 100% Guarantee.

Applications

Immunohistochemistry, Immunohistochemistry-Paraffin, Immunocytochemistry/ Immunofluorescence

Label

Unconjugated

Antibody Source

Polyclonal Rabbit IgG

Format

BSA Free

Concentration

1.16 mg/ml

Product Specifications

Immunogen

A synthetic peptide made to an internal portion of the human Heme Oxygenase 1 protein (between residues 100-150) [UniProt# P09601]

Localization

Microsome. Endoplasmic reticulum.

Marker

Oxidative Stress Marker

Clonality

Polyclonal

Host

Rabbit

Isotype

IgG

Scientific Data Images for HO-1/HMOX1/HSP32 Antibody - BSA Free

Immunocytochemistry/ Immunofluorescence: HO-1/HMOX1/HSP32 Antibody - BSA Free [NBP1-77459]

Immunocytochemistry/ Immunofluorescence: HO-1/HMOX1/HSP32 Antibody - BSA Free [NBP1-77459]

Immunocytochemistry/Immunofluorescence: HO-1/HMOX1/HSP32 Antibody [NBP1-77459] - HepG2 cells with FITC (green). Nuclei and alpha-tubulin were counterstained with DAPI (blue) and DyLight 550 (red).
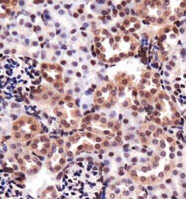
Immunohistochemistry: HO-1/HMOX1/HSP32 Antibody - BSA Free [NBP1-77459]

Immunohistochemistry: HO-1/HMOX1/HSP32 Antibody - BSA Free [NBP1-77459]

Immunohistochemistry: HO-1/HMOX1/HSP32 Antibody [NBP1-77459] - Analysis of heme oxygenase mouse kidney using DAB with hematoxylin counterstain.

Applications for HO-1/HMOX1/HSP32 Antibody - BSA Free

Application
Recommended Usage

Immunocytochemistry/ Immunofluorescence

1:25

Immunohistochemistry

1:200

Immunohistochemistry-Paraffin

1:200
Application Notes
This Heme Oxygenase 1 antibody is useful for Immunocytochemistry/Immunofluorescence and IHC-paraffin embedded sections.

Formulation, Preparation, and Storage

Purification

Immunogen affinity purified

Formulation

PBS and 30% Glycerol

Format

BSA Free

Preservative

0.05% Sodium Azide

Concentration

1.16 mg/ml

Shipping

The product is shipped with polar packs. Upon receipt, store it immediately at the temperature recommended below.

Stability & Storage

Store at 4C short term. Aliquot and store at -20C long term. Avoid freeze-thaw cycles.

Background: HO-1/HMOX1/HSP32

HO-1 (also know as Heme oxygenase-1, HMOX1, HSP32), a member of the heme oxygenase family, is an enzyme for heme catabolism and cleaves heme to form biliverdin. This inducible protein reacts from hypoxia, cytokines, and oxidative stress. HO-1 is itself an antioxidant that protects cells from ROS (reactive oxygen species) by regulating ROS levels. HO-1 has been shown to inhibit the pathogenesis of immune related inflammatory diseases as well as cardiovascular disease (CVD).

Long Name

Heme Oxygenase 1

Alternate Names

HMOX1, HO1, HSP32

Entrez Gene IDs

3162 (Human)

Gene Symbol

HMOX1

UniProt

Additional HO-1/HMOX1/HSP32 Products

Product Documents for HO-1/HMOX1/HSP32 Antibody - BSA Free

Certificate of Analysis

To download a Certificate of Analysis, please enter a lot number in the search box below.

Product Specific Notices for HO-1/HMOX1/HSP32 Antibody - BSA Free

This product is for research use only and is not approved for use in humans or in clinical diagnosis. Primary Antibodies are guaranteed for 1 year from date of receipt.

Loading...
Loading...
Loading...
Loading...