Skip to main content

HO-1/HMOX1/HSP32 Antibody (HL1780) - Azide and BSA Free

Novus Biologicals, part of Bio-Techne | Catalog # NBP3-25498

Recombinant Monoclonal Antibody
Novus Biologicals, part of Bio-Techne
Catalog #
Availability
Size / Price
Qty
Loading...
NBP3-25498

Key Product Details

Validated by

Knockout/Knockdown, Biological Validation

Species Reactivity

Human, Mouse, Rat, Canine, Feline

Applications

Immunohistochemistry, Immunohistochemistry-Paraffin, Western Blot

Label

Unconjugated

Antibody Source

Recombinant Monoclonal Rabbit IgG Clone # HL1780 expressed in HEK293

Format

Azide and BSA Free

Concentration

Concentrations vary lot to lot. See vial label for concentration. If unlisted please contact technical services.

Product Specifications

Immunogen

Recombinant fragment of human HO-1/HMOX1/HSP32

Clonality

Monoclonal

Host

Rabbit

Isotype

IgG

Description

Novus Biologicals Rabbit HO-1/HMOX1/HSP32 Antibody (HL1780) - Azide and BSA Free (NBP3-25498) is a recombinant monoclonal antibody validated for use in IHC and WB. All Novus Biologicals antibodies are covered by our 100% guarantee.

Scientific Data Images for HO-1/HMOX1/HSP32 Antibody (HL1780) - Azide and BSA Free

HO-1/HMOX1/HSP32 Antibody (HL1780) - Azide and BSA Free

Western Blot: HO-1/HMOX1/HSP32 Antibody (HL1780) - Azide and BSA Free [NBP3-25498] -

Western Blot: HO-1/HMOX1/HSP32 Antibody (HL1780) - Azide and BSA Free [NBP3-25498] - Wild-type (WT) and HMOX1 knockout (KO) HeLa cell extracts (30 ug) were separated by 12% SDS-PAGE, and the membrane was blotted with Heme Oxygenase 1 antibody [HL1780] (NBP3-25498) diluted at 1:2000. The HRP-conjugated anti-rabbit IgG antibody was used to detect the primary antibody, and the signal was developed with Trident ECL plus-Enhanced.
HO-1/HMOX1/HSP32 Antibody (HL1780) - Azide and BSA Free

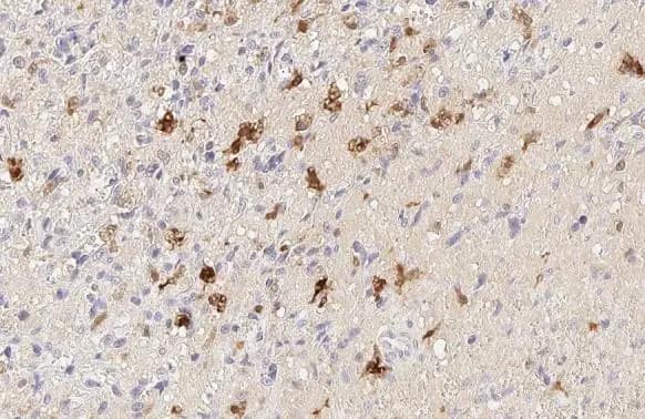
Immunohistochemistry-Paraffin: HO-1/HMOX1/HSP32 Antibody (HL1780) - Azide and BSA Free [NBP3-25498] -

Immunohistochemistry-Paraffin: HO-1/HMOX1/HSP32 Antibody (HL1780) - Azide and BSA Free [NBP3-25498] - Heme Oxygenase 1 antibody [HL1780] detects Heme Oxygenase 1 protein at cytoplasm by immunohistochemical analysis. Sample: Paraffin-embedded rat spleen. Heme Oxygenase 1 stained by Heme Oxygenase 1 antibody [HL1780] (NBP3-25498) diluted at 1:100. Antigen Retrieval: Citrate buffer, pH 6.0, 15 min
HO-1/HMOX1/HSP32 Antibody (HL1780) - Azide and BSA Free

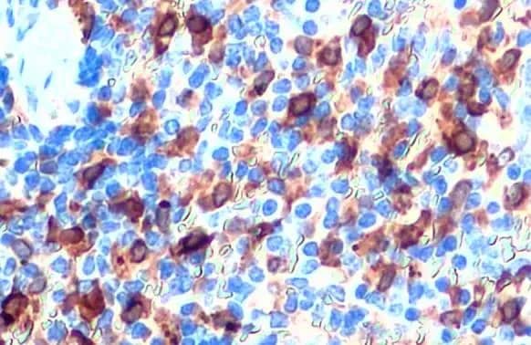
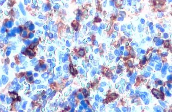
Immunohistochemistry-Paraffin: HO-1/HMOX1/HSP32 Antibody (HL1780) - Azide and BSA Free [NBP3-25498] -

Immunohistochemistry-Paraffin: HO-1/HMOX1/HSP32 Antibody (HL1780) - Azide and BSA Free [NBP3-25498] - Heme Oxygenase 1 antibody [HL1780] detects secreted Heme Oxygenase 1 protein by immunohistochemical analysis. Sample: Paraffin-embedded cat spleen. Heme Oxygenase 1 stained by Heme Oxygenase 1 antibody [HL1780] (NBP3-25498) diluted at 1:100. Antigen Retrieval: Citrate buffer, pH 6.0, 15 min

Applications for HO-1/HMOX1/HSP32 Antibody (HL1780) - Azide and BSA Free

Application
Recommended Usage

Western Blot

1:500-1:3000

Formulation, Preparation, and Storage

Purification

Protein A purified

Formulation

PBS

Format

Azide and BSA Free

Preservative

No Preservative

Concentration

Concentrations vary lot to lot. See vial label for concentration. If unlisted please contact technical services.

Shipping

The product is shipped with polar packs. Upon receipt, store it immediately at the temperature recommended below.

Stability & Storage

Store at 4C short term. Aliquot and store at -20C long term. Avoid freeze-thaw cycles.

Background: HO-1/HMOX1/HSP32

Stressed mammalian cells up-regulate heme oxygenase 1 (HO-1), which catabolizes heme to biliverdin, carbon monoxide, and free iron. Results provide genetic evidence that up-regulation of HO-1 serves as an adaptive mechanism to protect cells from oxidative damage during stress (1). When cells are injured they release their contents, resulting in a local accumulation of free heme proteins and heme. HO-1 plays a crucial role in the inflammatory process during wound healing (2). TNFalpha accelerates inflammatory responses by down-regulating HO-1 expression in human monocytes. TNF antagonists may block this TNF-dependent suppression of HO-1 expression, resulting in an amelioration of inflammation (3).

Long Name

Heme Oxygenase 1

Alternate Names

HMOX1, HO1, HSP32

Gene Symbol

HMOX1

Additional HO-1/HMOX1/HSP32 Products

Product Documents for HO-1/HMOX1/HSP32 Antibody (HL1780) - Azide and BSA Free

Certificate of Analysis

To download a Certificate of Analysis, please enter a lot number in the search box below.

Product Specific Notices for HO-1/HMOX1/HSP32 Antibody (HL1780) - Azide and BSA Free

This product is for research use only and is not approved for use in humans or in clinical diagnosis. Primary Antibodies are guaranteed for 1 year from date of receipt.

Loading...
Loading...
Loading...
Loading...