hnRNP K Antibody
Novus Biologicals, part of Bio-Techne | Catalog # NBP2-24532
Key Product Details
Species Reactivity
Validated:
Human, Mouse, Rat, Opossum, Primate
Predicted:
Chimpanzee (100%), Equine (93%), Monkey (100%). Backed by our 100% Guarantee.
Applications
Immunohistochemistry, Immunohistochemistry-Paraffin, Simple Western, Western Blot
Label
Unconjugated
Antibody Source
Polyclonal Rabbit IgG
Concentration
0.5 mg/ml
Product Specifications
Immunogen
A portion of amino acid 200 to 250 of human hnRNPK was used as immunogen for this antibody.
Clonality
Polyclonal
Host
Rabbit
Isotype
IgG
Description
Novus Biologicals Rabbit hnRNP K Antibody (NBP2-24532) is a polyclonal antibody validated for use in IHC, WB and Simple Western. All Novus Biologicals antibodies are covered by our 100% guarantee.
Scientific Data Images for hnRNP K Antibody
Western Blot: hnRNP K Antibody [NBP2-24532]
Western Blot: hnRNP K Antibody [NBP2-24532] - analysis of hnRNPK in K562 cell lysate in the 1) absence and2) presence of immunizing peptide and 3) NIH 3T3 cell lysate using this antibody. I goat anti-rabbit Ig HRP secondary antibody and PicoTect ECL substrate solution were used for this test.Immunohistochemistry-Paraffin: hnRNP K Antibody [NBP2-24532]
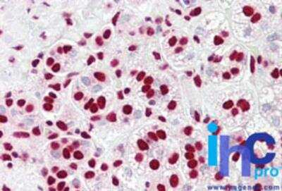
Immunohistochemistry-Paraffin: hnRNP K Antibody [NBP2-24532] - Formalin-fixed, paraffin-embedded human adrenal tissue probed with hnRNPK antibody at 5 ug/ml.Immunohistochemistry-Paraffin: hnRNP K Antibody [NBP2-24532]
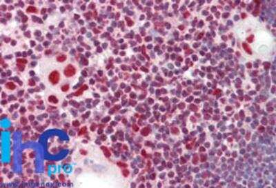
Immunohistochemistry-Paraffin: hnRNP K Antibody [NBP2-24532] - Formalin-fixed, paraffin-embedded human thymus probed with hnRNPK antibody at 5 ug/ml.Applications for hnRNP K Antibody
Application
Recommended Usage
Immunohistochemistry-Paraffin
5-10 ug/ml
Simple Western
1:50
Western Blot
2-5 ug/ml
Application Notes
In Simple Western only 10 - 15 uL of the recommended dilution is used per data point.
See Simple Western Antibody Database for Simple Western validation: Tested in NIH-3T3 lysate 0.5 mg/mL, separated by Size, antibody dilution of 1:50, apparent MW was 61 kDa.
See Simple Western Antibody Database for Simple Western validation: Tested in NIH-3T3 lysate 0.5 mg/mL, separated by Size, antibody dilution of 1:50, apparent MW was 61 kDa.
Formulation, Preparation, and Storage
Purification
Immunogen affinity purified
Formulation
PBS and 0.05% BSA
Preservative
0.05% Sodium Azide
Concentration
0.5 mg/ml
Shipping
The product is shipped with polar packs. Upon receipt, store it immediately at the temperature recommended below.
Stability & Storage
Store at -20C. Avoid freeze-thaw cycles.
Background: hnRNP K
Alternate Names
dC-stretch binding protein, FLJ41122, heterogeneous nuclear ribonucleoprotein K, hnRNP K, transformation upregulated nuclear protein, Transformation up-regulated nuclear protein, TUNPHNRPKCSBP
Gene Symbol
HNRNPK
Additional hnRNP K Products
Product Documents for hnRNP K Antibody
Product Specific Notices for hnRNP K Antibody
This product is for research use only and is not approved for use in humans or in clinical diagnosis. Primary Antibodies are guaranteed for 1 year from date of receipt.
Loading...
Loading...
Loading...
Loading...