Skip to main content

hnRNP K Antibody

Novus Biologicals, part of Bio-Techne | Catalog # NBP2-24531

Novus Biologicals, part of Bio-Techne
Catalog #
Availability
Size / Price
Qty
Loading...
NBP2-24531
NBP2-24531SS

Key Product Details

Species Reactivity

Validated:

Human, Mouse, Rat, Opossum, Primate

Cited:

Human

Predicted:

Bovine (97%), Canine (97%), Chimpanzee (100%), Monkey (100%). Backed by our 100% Guarantee.

Applications

Validated:

Immunohistochemistry, Immunohistochemistry-Paraffin, Western Blot

Cited:

Western Blot

Label

Unconjugated

Antibody Source

Polyclonal Rabbit IgG

Concentration

0.5 mg/ml

Product Specifications

Immunogen

A portion of amino acid 1 to 50 of human hnRNPK was used as immunogen for the antibody.

Reactivity Notes

Immunogen displays the following percentage of sequence identity for non-tested species: Chicken (86%) and Opossum (86%).

Clonality

Polyclonal

Host

Rabbit

Isotype

IgG

Description

Novus Biologicals Rabbit hnRNP K Antibody (NBP2-24531) is a polyclonal antibody validated for use in IHC and WB. Anti-hnRNP K Antibody: Cited in 1 publication. All Novus Biologicals antibodies are covered by our 100% guarantee.

Scientific Data Images for hnRNP K Antibody

Western Blot: hnRNP K Antibody [NBP2-24531]

Western Blot: hnRNP K Antibody [NBP2-24531]

Western Blot: hnRNP K Antibody [NBP2-24531] - Analysis in HeLa nuclear Extracts.
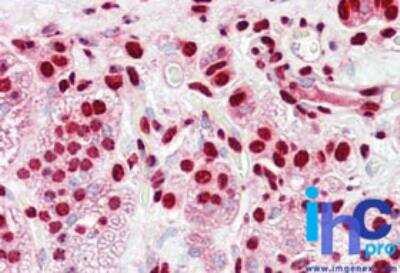
Immunohistochemistry-Paraffin: hnRNP K Antibody [NBP2-24531]

Immunohistochemistry-Paraffin: hnRNP K Antibody [NBP2-24531]

Immunohistochemistry-Paraffin: hnRNP K Antibody [NBP2-24531] - Formalin-fixed, paraffin-embedded human adrenal tissue probed with hnRNPK antibody at 5 ug/ml.
Western Blot: hnRNP K Antibody [NBP2-24531]

Western Blot: hnRNP K Antibody [NBP2-24531]

Western Blot: hnRNP K Antibody [NBP2-24531] - Analysis of hnRNPK in K562 cell lysate in the 1) absence and 2) presence of immunizing peptide using this antibody. Goat anti-rabbit Ig HRP secondary antibody and PicoTect ECL substrate solution were used for this experiment.

Applications for hnRNP K Antibody

Application
Recommended Usage

Immunohistochemistry-Paraffin

5-10 ug/ml

Western Blot

2-5 ug/ml. Use reported by customer review

Reviewed Applications

Read 1 review rated 5 using NBP2-24531 in the following applications:

Formulation, Preparation, and Storage

Purification

Immunogen affinity purified

Formulation

PBS and 0.05% BSA

Preservative

0.05% Sodium Azide

Concentration

0.5 mg/ml

Shipping

The product is shipped with polar packs. Upon receipt, store it immediately at the temperature recommended below.

Stability & Storage

Store at -20C. Avoid freeze-thaw cycles.

Background: hnRNP K

The hnRNP-K family of acidic nuclear proteins has been identified using a monoclonal antibody that distinguishes between quiescent and proliferating human keratinocytes. The family, which is composed of four major proteins (hnRNPs-K A, B, C and D) and their modified forms, is present in similar overall levels in quiescent and proliferating normal keratinocytes although clear differences were observed in the levels of some of the individual variants (1). hnRNP-K is an ancient RNA/DNA-binding protein that is involved in multiple processes that compose gene expression. The pleiotropic action of K protein reflects its ability to interact with different classes of factors, interactions that are regulated by extracellular signals (2). hnRNP-K has several different cellular roles including transcription, mRNA shuttling, RNA editing and translation. Several reports implicate hnRNP K having a role in tumorigenesis, for instance hnRNP K increases transcription of the oncogene c-myc and hnRNP K expression is regulated by the p53/MDM 2 pathway (3).

Alternate Names

dC-stretch binding protein, FLJ41122, heterogeneous nuclear ribonucleoprotein K, hnRNP K, transformation upregulated nuclear protein, Transformation up-regulated nuclear protein, TUNPHNRPKCSBP

Gene Symbol

HNRNPK

Additional hnRNP K Products

Product Documents for hnRNP K Antibody

Certificate of Analysis

To download a Certificate of Analysis, please enter a lot number in the search box below.

Product Specific Notices for hnRNP K Antibody

This product is for research use only and is not approved for use in humans or in clinical diagnosis. Primary Antibodies are guaranteed for 1 year from date of receipt.

Loading...
Loading...
Loading...
Loading...