Skip to main content

hnRNP H2 Antibody - BSA Free

Novus Biologicals, part of Bio-Techne | Catalog # NBP1-89817

Novus Biologicals, part of Bio-Techne
Catalog #
Availability
Size / Price
Qty
Loading...
NBP1-89817
NBP1-89817-25ul

Key Product Details

Species Reactivity

Validated:

Human

Cited:

Human

Applications

Validated:

Immunohistochemistry, Immunohistochemistry-Paraffin, Western Blot

Cited:

Western Blot, Immunocytochemistry/ Immunofluorescence, Immunoprecipitation

Label

Unconjugated

Antibody Source

Polyclonal Rabbit IgG

Format

BSA Free

Concentration

Concentrations vary lot to lot. See vial label for concentration. If unlisted please contact technical services.

Product Specifications

Immunogen

This antibody was developed against Recombinant Protein corresponding to amino acids: DGRVTGEADVEFATHEDAVAAMAKDKANMQHRYVELFLNSTAGTSGGAYDHSYVELFLNSTAGASGGAYGSQMMGGMGLSNQSSYGGPASQQLSGGYGGGYGGQSSMSGYDQVLQ

Clonality

Polyclonal

Host

Rabbit

Isotype

IgG

Scientific Data Images for hnRNP H2 Antibody - BSA Free

Immunohistochemistry-Paraffin: hnRNP H2 Antibody [NBP1-89817]

Immunohistochemistry-Paraffin: hnRNP H2 Antibody [NBP1-89817]

Immunohistochemistry-Paraffin: hnRNP H2 Antibody [NBP1-89817] - Staining of human cerebral cortex shows moderate nuclear positivity in neurons.
hnRNP H2 Antibody - BSA Free Immunohistochemistry-Paraffin: hnRNP H2 Antibody - BSA Free [NBP1-89817]

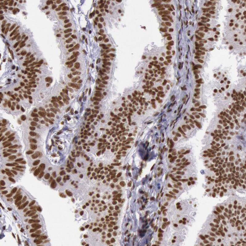
Immunohistochemistry-Paraffin: hnRNP H2 Antibody - BSA Free [NBP1-89817]

Staining of human fallopian tube shows moderate nuclear positivity in glandular cells.
hnRNP H2 Antibody - BSA Free Immunohistochemistry-Paraffin: hnRNP H2 Antibody - BSA Free [NBP1-89817]

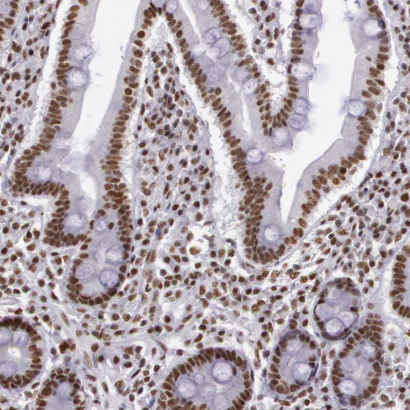
Immunohistochemistry-Paraffin: hnRNP H2 Antibody - BSA Free [NBP1-89817]

Staining of human gastrointestinal shows moderate nuclear positivity in glandular cells.

Applications for hnRNP H2 Antibody - BSA Free

Application
Recommended Usage

Immunohistochemistry

1:500 - 1:1000

Immunohistochemistry-Paraffin

1:500 - 1:1000

Western Blot

0.04-0.4 ug/ml
Application Notes
For IHC-Paraffin, HIER pH 6 retrieval is recommended.

Formulation, Preparation, and Storage

Purification

Affinity purified

Formulation

PBS (pH 7.2) and 40% Glycerol

Format

BSA Free

Preservative

0.02% Sodium Azide

Concentration

Concentrations vary lot to lot. See vial label for concentration. If unlisted please contact technical services.

Shipping

The product is shipped with polar packs. Upon receipt, store it immediately at the temperature recommended below.

Stability & Storage

Store at 4C short term. Aliquot and store at -20C long term. Avoid freeze-thaw cycles.

Background: hnRNP H2

The hnRNP H2 gene belongs to the subfamily of ubiquitously expressed heterogeneous nuclear ribonucleoproteins (hnRNPs). The hnRNPs are RNA binding proteins and they complex with heterogeneous nuclear RNA (hnRNA). These proteins are associated with pre-mRNAs in th

Alternate Names

FTP-3, FTP3hnRNP H2, Heterogeneous nuclear ribonucleoprotein H', heterogeneous nuclear ribonucleoprotein H2, heterogeneous nuclear ribonucleoprotein H2 (H'), hnRNP H', hnRNPH', HNRPH', HNRPH2heterogeneous nuclear ribonucleoprotein H-prime

Gene Symbol

HNRNPH2

Additional hnRNP H2 Products

Product Documents for hnRNP H2 Antibody - BSA Free

Certificate of Analysis

To download a Certificate of Analysis, please enter a lot number in the search box below.

Product Specific Notices for hnRNP H2 Antibody - BSA Free

This product is for research use only and is not approved for use in humans or in clinical diagnosis. Primary Antibodies are guaranteed for 1 year from date of receipt.

Loading...
Loading...
Loading...
Loading...