Skip to main content

hnRNP C1 + C2 Antibody (CL2593) - BSA Free

Novus Biologicals, part of Bio-Techne | Catalog # NBP2-36776

Novus Biologicals, part of Bio-Techne
Catalog #
Availability
Size / Price
Qty
Loading...
NBP2-36776
NBP2-36776-25ul

Key Product Details

Validated by

Knockout/Knockdown

Species Reactivity

Validated:

Human

Predicted:

Mouse (95%). Backed by our 100% Guarantee.

Applications

Immunocytochemistry/ Immunofluorescence, Immunohistochemistry, Immunohistochemistry-Paraffin, Knockdown Validated, Western Blot

Label

Unconjugated

Antibody Source

Monoclonal Mouse IgG2A Clone # CL2593

Format

BSA Free

Concentration

Concentrations vary lot to lot. See vial label for concentration. If unlisted please contact technical services.

Product Specifications

Immunogen

This antibody was developed using a recombinant protein derived from P07910, with the exact immunogen sequence remaining proprietary.

Reactivity Notes

Please note that this antibody is reactive to Mouse and derived from the same host, Mouse. Mouse-On-Mouse blocking reagent may be needed for IHC and ICC experiments to reduce high background signal. You can find these reagents under catalog numbers PK-2200-NB and MP-2400-NB. Please contact Technical Support if you have any questions

Clonality

Monoclonal

Host

Mouse

Isotype

IgG2A

Description

Novus Biologicals Mouse hnRNP C1 + C2 Antibody (CL2593) - BSA Free (NBP2-36776) is a monoclonal antibody validated for use in IHC, WB and ICC/IF. All Novus Biologicals antibodies are covered by our 100% guarantee.

Scientific Data Images for hnRNP C1 + C2 Antibody (CL2593) - BSA Free

Western Blot: hnRNP C1 + C2 Antibody (CL2593) [NBP2-36776]

Western Blot: hnRNP C1 + C2 Antibody (CL2593) [NBP2-36776]

Western Blot: hnRNP C1 + C2 Antibody (CL2593) [NBP2-36776] - Analysis in U-251MG cells transfected with control siRNA, target specific siRNA probe #1 and #2, using Anti-HNRNPC antibody. Remaining relative intensity is presented. Loading control: Anti-PPIB.
Immunocytochemistry/ Immunofluorescence: hnRNP C1 + C2 Antibody (CL2593) [NBP2-36776]

Immunocytochemistry/ Immunofluorescence: hnRNP C1 + C2 Antibody (CL2593) [NBP2-36776]

Immunocytochemistry/Immunofluorescence: hnRNP C1 + C2 Antibody (CL2593) [NBP2-36776] - Staining in U2OS cell line with Anti-HNRNPC monoclonal antibody, showing distinct nuclear (without nucleoli) staining in green. Microtubule- and nuclear probes are visualized in red and blue respectively (where available). Antibody staining is shown in green.
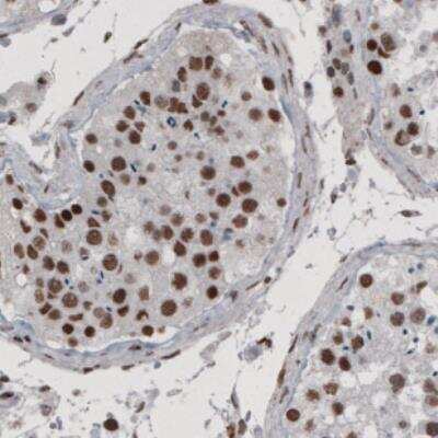
Immunohistochemistry: hnRNP C1 + C2 Antibody (CL2593) [NBP2-36776]

Immunohistochemistry: hnRNP C1 + C2 Antibody (CL2593) [NBP2-36776]

Immunohistochemistry: hnRNP C1 + C2 Antibody (CL2593) [NBP2-36776] - Staining of human testis shows nuclear positivity in seminiferous tubules.

Applications for hnRNP C1 + C2 Antibody (CL2593) - BSA Free

Application
Recommended Usage

Immunocytochemistry/ Immunofluorescence

2-10 ug/ml

Immunohistochemistry

1:1000 - 1:2500

Immunohistochemistry-Paraffin

1:1000 - 1:2500

Western Blot

1 ug/ml
Application Notes
For IHC-Paraffin, HIER pH 6 retrieval is recommended. For ICC/IF, Fixation/Permeabilization with PFA/Triton X-100 is recommended.

Formulation, Preparation, and Storage

Purification

Protein A purified

Formulation

PBS (pH 7.2) and 40% Glycerol

Format

BSA Free

Preservative

0.02% Sodium Azide

Concentration

Concentrations vary lot to lot. See vial label for concentration. If unlisted please contact technical services.

Shipping

The product is shipped with polar packs. Upon receipt, store it immediately at the temperature recommended below.

Stability & Storage

Store at 4C short term. Aliquot and store at -20C long term. Avoid freeze-thaw cycles.

Background: hnRNP C1 + C2

RNA polymerase II transcripts in the nucleus are in complex with several proteins called heterogeneous nuclear ribonucleoproteins (hnRNPs). These proteins are important in biological activities such as transcription, pre-mRNA processing, cytoplasmic mRNA translation, and turnover. hnRNPs can be isolated either by immunoprecipitation or by sucrose gradient fractionation of cell extracts. When this is performed, the hnRNPs are isolated (consisting of protein groups named A to U), and many of these protein groups consist of more than one isoform. The major steadystate proteins of the isolated hnRNP complex are the A1, A2, B1, B2, C1, and C2 with a range of molecular weight starting with 34 kDa up to 43 kDa. The hnRNP-C proteins have a single RNP motif RNA-binding domain (RBD) of 80 to 100 amino acid long. The hnRNP -C proteins preferentially bind to uridine-rich RNA sequences. Oligomerization of the protein through leucine rich regions in its C-terminal end is important for RNA binding.4 Although its physiological action is unknown, mutation of the hnRNPC gene causes a embryonic lethal phenotype.

Alternate Names

C1, C2, heterogeneous nuclear ribonucleoprotein C (C1/C2), heterogeneous nuclear ribonucleoproteins C1/C2, HNRNP, hnRNP C1/C2, hnRNPC, HNRPC, MGC104306, MGC105117, MGC117353, MGC131677, nuclear ribonucleoprotein particle C1 protein, nuclear ribonucleoprotein particle C2 protein, SNRPC

Gene Symbol

HNRNPC

UniProt

Additional hnRNP C1 + C2 Products

Product Documents for hnRNP C1 + C2 Antibody (CL2593) - BSA Free

Certificate of Analysis

To download a Certificate of Analysis, please enter a lot number in the search box below.

Product Specific Notices for hnRNP C1 + C2 Antibody (CL2593) - BSA Free

This product is for research use only and is not approved for use in humans or in clinical diagnosis. Primary Antibodies are guaranteed for 1 year from date of receipt.

Loading...
Loading...
Loading...
Loading...