Skip to main content

HNF1 Antibody - BSA Free

Novus Biologicals, part of Bio-Techne | Catalog # NBP1-33596

Novus Biologicals, part of Bio-Techne
Catalog #
Availability
Size / Price
Qty
Loading...
NBP1-33596

Key Product Details

Validated by

Orthogonal Validation, Biological Validation

Species Reactivity

Validated:

Human, Mouse, Rat

Cited:

Human, Mouse, Rat

Predicted:

Bovine (98%), Chicken (95%), Porcine (99%). Backed by our 100% Guarantee.

Applications

Validated:

Immunohistochemistry, Immunohistochemistry-Paraffin, Western Blot, Immunocytochemistry/ Immunofluorescence, Immunoprecipitation, SDS-Page

Cited:

Western Blot, Immunocytochemistry/ Immunofluorescence, SDS-Page

Label

Unconjugated

Antibody Source

Polyclonal Rabbit IgG

Format

BSA Free

Concentration

Concentrations vary lot to lot. See vial label for concentration. If unlisted please contact technical services.

Product Specifications

Immunogen

Recombinant protein encompassing a sequence within the center region of human HNF1. The exact sequence is proprietary.

Reactivity Notes

Xenopus laevis (85%).

Localization

Nucleus

Specificity

human HNF-1 alpha protein.

Clonality

Polyclonal

Host

Rabbit

Isotype

IgG

Theoretical MW

67 kDa.
Disclaimer note: The observed molecular weight of the protein may vary from the listed predicted molecular weight due to post translational modifications, post translation cleavages, relative charges, and other experimental factors.

Description

Novus Biologicals Rabbit HNF1 Antibody - BSA Free (NBP1-33596) is a polyclonal antibody validated for use in IHC, WB, ICC/IF and IP. Anti-HNF1 Antibody: Cited in 6 publications. All Novus Biologicals antibodies are covered by our 100% guarantee.

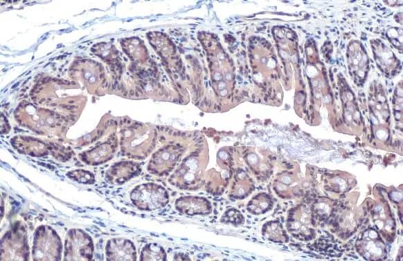
Scientific Data Images for HNF1 Antibody - BSA Free

Western Blot: HNF1 Antibody [NBP1-33596]

Western Blot: HNF1 Antibody [NBP1-33596]

HNF1-Antibody-Western-Blot-NBP1-33596-img0023.jpg
Immunocytochemistry/ Immunofluorescence: HNF1 Antibody [NBP1-33596]

Immunocytochemistry/ Immunofluorescence: HNF1 Antibody [NBP1-33596]

HNF1-Antibody-Immunocytochemistry-Immunofluorescence-NBP1-33596-img0022.jpg
Western Blot: HNF1 Antibody [NBP1-33596]

Western Blot: HNF1 Antibody [NBP1-33596]

Western Blot: HNF1 Antibody [NBP1-33596] - Various whole cell extracts (30 ug) were separated by 7.5% SDS-PAGE, and the membrane was blotted with HNF1 alpha antibody [N1N3] diluted at 1:5000. The HRP-conjugated anti-rabbit IgG antibody (NBP2-19301) was used to detect the primary antibody.

Applications for HNF1 Antibody - BSA Free

Application
Recommended Usage

Immunocytochemistry/ Immunofluorescence

1:100-1:1000

Immunohistochemistry

1:100-1:1000

Immunohistochemistry-Paraffin

1:100-1:1000

Immunoprecipitation

1:100-1:500

Western Blot

1:1000-1:10000
Application Notes
Use in SDS-Page reported in scientific literature (PMID:31543815).

Formulation, Preparation, and Storage

Purification

Antigen Affinity-purified

Formulation

PBS, 20% Glycerol

Format

BSA Free

Preservative

0.025% Proclin 300

Concentration

Concentrations vary lot to lot. See vial label for concentration. If unlisted please contact technical services.

Shipping

The product is shipped with polar packs. Upon receipt, store it immediately at the temperature recommended below.

Stability & Storage

Aliquot and store at -20C or -80C. Avoid freeze-thaw cycles.

Background: HNF1

HNF1 is a transcription factor required for the expression of several liver-specific genes. The protein functions as a homodimer and binds to the inverted palindrome 5'-GTTAATNATTAAC-3'. Defects in this gene are a cause of maturity onset diabetes of the young type 3 (MODY3) and also can result in the appearance of hepatic adenomas. Alternative splicing results in multiple transcript variants encoding different isoforms.

Alternate Names

HNF1 homeobox A, IDDM20, LFB1transcription factor 1, hepatic; LF-B1, hepatic nuclear factor (HNF1), albuminproximal factor, MODY3, TCF1hepatic, Transcription factor 1

Entrez Gene IDs

6927 (Human)

Gene Symbol

HNF1A

UniProt

Additional HNF1 Products

Product Documents for HNF1 Antibody - BSA Free

Certificate of Analysis

To download a Certificate of Analysis, please enter a lot number in the search box below.

Product Specific Notices for HNF1 Antibody - BSA Free

This product is for research use only and is not approved for use in humans or in clinical diagnosis. Primary Antibodies are guaranteed for 1 year from date of receipt.

Loading...
Loading...
Loading...
Loading...
Loading...