Skip to main content

HNF1 Antibody (HL3229)

Novus Biologicals, part of Bio-Techne | Catalog # NBP3-48780

Recombinant Monoclonal Antibody
Novus Biologicals, part of Bio-Techne
Catalog #
Availability
Size / Price
Qty
Loading...
NBP3-48780

Key Product Details

Validated by

Orthogonal Validation

Species Reactivity

Human, Mouse

Applications

Immunohistochemistry, Immunohistochemistry-Paraffin, Western Blot, Immunocytochemistry/ Immunofluorescence

Label

Unconjugated

Antibody Source

Recombinant Monoclonal Rabbit IgG Clone # HL3229

Concentration

Concentrations vary lot to lot. See vial label for concentration. If unlisted please contact technical services.

Product Specifications

Immunogen

Recombinant fragment of human HNF1.

Clonality

Monoclonal

Host

Rabbit

Isotype

IgG

Description

Novus Biologicals Rabbit HNF1 Antibody (HL3229) (NBP3-48780) is a recombinant monoclonal antibody validated for use in IHC, WB and ICC/IF. All Novus Biologicals antibodies are covered by our 100% guarantee.

Scientific Data Images for HNF1 Antibody (HL3229)

HNF1 Antibody (HL3229)

Immunocytochemistry/ Immunofluorescence: HNF1 Antibody (HL3229) [NBP3-48780] -

HNF1 antibody [HL3229] detects HNF1 protein by immunofluorescent analysis.
Sample: HepG2 cells were fixed in 4% paraformaldehyde at RT for 15 min.
Green: HNF1 stained by HNF1 antibody [HL3229] (NBP3-48780) diluted at 1:500.
Red: alpha Tubulin, a cytoskeleton marker, stained by alpha Tubulin antibody [GT114] diluted at 1:1000.
HNF1 Antibody (HL3229)

Western Blot: HNF1 Antibody (HL3229) [NBP3-48780] -

Mouse tissue extract (50 ug) was separated by 7.5% SDS-PAGE, and the membrane was blotted with HNF1 antibody [HL3229] (NBP3-48780) diluted at 1:1000. The HRP-conjugated anti-rabbit IgG antibody was used to detect the primary antibody.
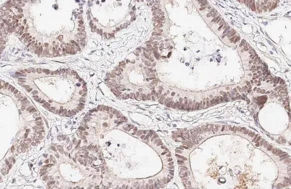
HNF1 Antibody (HL3229)

Immunohistochemistry-Paraffin: HNF1 Antibody (HL3229) [NBP3-48780] -

HNF1 antibody [HL3229] detects HNF1 protein by immunohistochemical analysis.
Sample: Paraffin-embedded mouse tissues.
HNF1 stained by HNF1 antibody [HL3229] (NBP3-48780) diluted at 1:100.
Antigen Retrieval: Tris-EDTA-Citrate acid buffer, pH 7.8, 15 min
Corresponding RNA expression data for the same tissues are based on NCBI.

Applications for HNF1 Antibody (HL3229)

Application
Recommended Usage

Immunocytochemistry/ Immunofluorescence

1:100-1:1000

Western Blot

1:500-1:10000

Formulation, Preparation, and Storage

Purification

Protein A purified

Formulation

PBS

Preservative

No Preservative

Concentration

Concentrations vary lot to lot. See vial label for concentration. If unlisted please contact technical services.

Shipping

The product is shipped with polar packs. Upon receipt, store it immediately at the temperature recommended below.

Stability & Storage

Store at 4C short term. Aliquot and store at -20C long term. Avoid freeze-thaw cycles.

Background: HNF1

HNF1 is a transcription factor required for the expression of several liver-specific genes. The protein functions as a homodimer and binds to the inverted palindrome 5'-GTTAATNATTAAC-3'. Defects in this gene are a cause of maturity onset diabetes of the young type 3 (MODY3) and also can result in the appearance of hepatic adenomas. Alternative splicing results in multiple transcript variants encoding different isoforms.

Alternate Names

HNF1 homeobox A, IDDM20, LFB1transcription factor 1, hepatic; LF-B1, hepatic nuclear factor (HNF1), albuminproximal factor, MODY3, TCF1hepatic, Transcription factor 1

Gene Symbol

HNF1A

Additional HNF1 Products

Product Documents for HNF1 Antibody (HL3229)

Certificate of Analysis

To download a Certificate of Analysis, please enter a lot number in the search box below.

Product Specific Notices for HNF1 Antibody (HL3229)

This product is for research use only and is not approved for use in humans or in clinical diagnosis. Primary Antibodies are guaranteed for 1 year from date of receipt.

Loading...
Loading...
Loading...
Loading...