Skip to main content

HMGCS1 Antibody - BSA Free

Novus Biologicals, part of Bio-Techne | Catalog # NBP1-83246

Novus Biologicals, part of Bio-Techne
Catalog #
Availability
Size / Price
Qty
Loading...
NBP1-83246
NBP1-83246-25ul

Key Product Details

Species Reactivity

Human

Applications

Immunohistochemistry, Immunohistochemistry-Paraffin, Western Blot

Label

Unconjugated

Antibody Source

Polyclonal Rabbit IgG

Format

BSA Free

Concentration

Concentrations vary lot to lot. See vial label for concentration. If unlisted please contact technical services.

Product Specifications

Immunogen

This antibody was developed against Recombinant Protein corresponding to amino acids: RVDEKHRRTYARRPTPNDDTLDEGVGLVHSNIATEHIPSPAKKVPRLPATAAEPEAAVISN

Reactivity Notes

Immunogen displays the following percentage of sequence identity for non-tested species: Mouse (85%), Rat (87%)

Clonality

Polyclonal

Host

Rabbit

Isotype

IgG

Scientific Data Images for HMGCS1 Antibody - BSA Free

Immunohistochemistry: HMGCS1 Antibody [NBP1-83246]

Immunohistochemistry: HMGCS1 Antibody [NBP1-83246]

Immunohistochemistry: HMGCS1 Antibody [NBP1-83246] - Staining of human liver shows moderate cytoplasmic positivity in hepatocytes.
Immunohistochemistry-Paraffin: HMGCS1 Antibody [NBP1-83246]

Immunohistochemistry-Paraffin: HMGCS1 Antibody [NBP1-83246]

Immunohistochemistry-Paraffin: HMGCS1 Antibody [NBP1-83246] - Staining of human cerebral cortex shows moderate to strong cytoplasmic positivity in neurons.
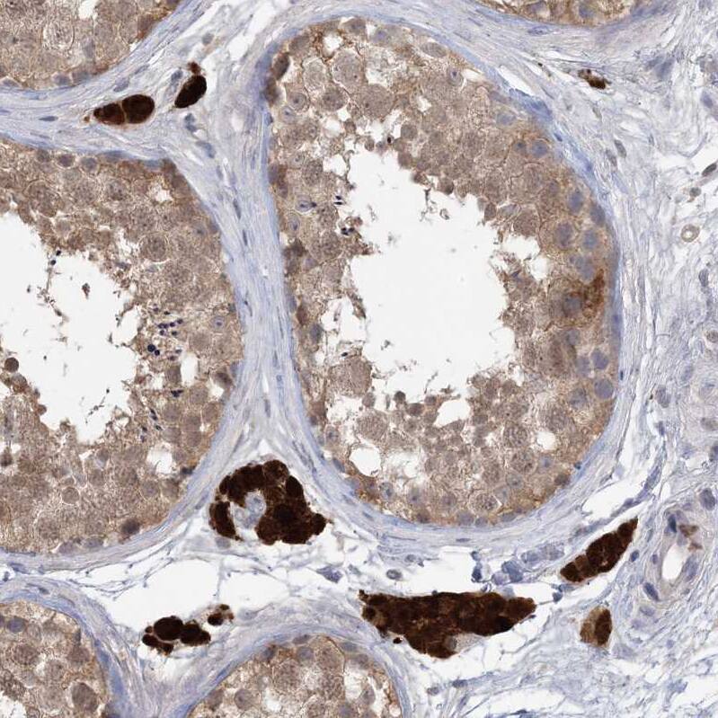
HMGCS1 Antibody - BSA Free Immunohistochemistry-Paraffin: HMGCS1 Antibody - BSA Free [NBP1-83246]

Immunohistochemistry-Paraffin: HMGCS1 Antibody - BSA Free [NBP1-83246]

Staining of human testis shows strong cytoplasmic positivity in Leydig cells.

Applications for HMGCS1 Antibody - BSA Free

Application
Recommended Usage

Immunohistochemistry

1:50 - 1:200

Immunohistochemistry-Paraffin

1:50 - 1:200

Western Blot

0.04-0.4 ug/ml
Application Notes
For IHC-Paraffin, HIER pH 6 retrieval is recommended.

Formulation, Preparation, and Storage

Purification

Affinity purified

Formulation

PBS (pH 7.2) and 40% Glycerol

Format

BSA Free

Preservative

0.02% Sodium Azide

Concentration

Concentrations vary lot to lot. See vial label for concentration. If unlisted please contact technical services.

Shipping

The product is shipped with polar packs. Upon receipt, store it immediately at the temperature recommended below.

Stability & Storage

Store at 4C short term. Aliquot and store at -20C long term. Avoid freeze-thaw cycles.

Background: HMGCS1

This enzyme condenses acetyl-CoA with acetoacetyl-CoA to form HMG-CoA, which is the substrate for HMG-CoAreductase

Alternate Names

3-hydroxy-3-methylglutaryl coenzyme A (HMG-CoA) synthase, 3-hydroxy-3-methylglutaryl coenzyme A synthase, 3-hydroxy-3-methylglutaryl-CoA synthase 1 (soluble), 3-hydroxy-3-methylglutaryl-Coenzyme A synthase 1 (soluble), EC 2.3.3.10, HMG-CoA synthase, HMGCS, hydroxymethylglutaryl-CoA synthase, cytoplasmic, MGC90332

Gene Symbol

HMGCS1

Additional HMGCS1 Products

Product Documents for HMGCS1 Antibody - BSA Free

Certificate of Analysis

To download a Certificate of Analysis, please enter a lot number in the search box below.

Product Specific Notices for HMGCS1 Antibody - BSA Free

This product is for research use only and is not approved for use in humans or in clinical diagnosis. Primary Antibodies are guaranteed for 1 year from date of receipt.

Loading...
Loading...
Loading...
Loading...