Skip to main content

HMG2L1 Antibody - BSA Free

Novus Biologicals, part of Bio-Techne | Catalog # NBP1-91995

Novus Biologicals, part of Bio-Techne
Catalog #
Availability
Size / Price
Qty
Loading...
NBP1-91995
NBP1-91995-25ul

Key Product Details

Species Reactivity

Human

Applications

Immunohistochemistry, Immunohistochemistry-Paraffin

Label

Unconjugated

Antibody Source

Polyclonal Rabbit IgG

Format

BSA Free

Concentration

Concentrations vary lot to lot. See vial label for concentration. If unlisted please contact technical services.

Product Specifications

Immunogen

This antibody was developed against Recombinant Protein corresponding to amino acids: YDDSVKKEDCFDGDHTFEDIGLAAGRSQREKKRSYKDFLREEEEIAAQVRNSSKKKLKDSELYFLGTDTHKKKRKHSSDDYYYGDISSLESSQKKKKKSSPQSTDTAMDLLKAITSPLAAGSKPSKKTGEKSSGSSSHSES

Reactivity Notes

Immunogen displays the following percentage of sequence identity for non-tested species: Mouse (89%), Rat (89%)

Clonality

Polyclonal

Host

Rabbit

Isotype

IgG

Scientific Data Images for HMG2L1 Antibody - BSA Free

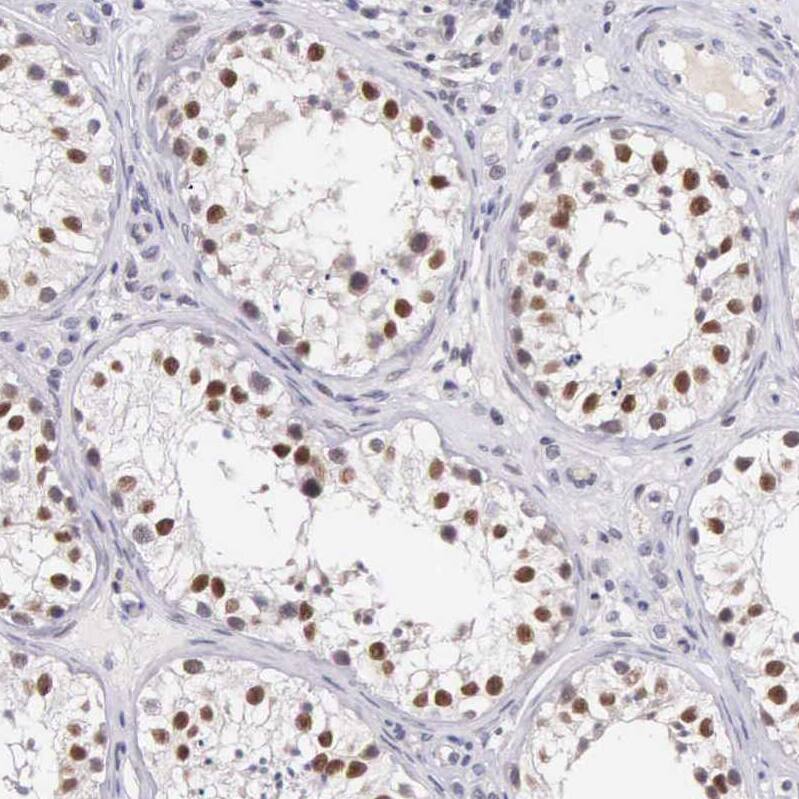
Immunohistochemistry-Paraffin: HMG2L1 Antibody [NBP1-91995]

Immunohistochemistry-Paraffin: HMG2L1 Antibody [NBP1-91995]

Immunohistochemistry-Paraffin: HMG2L1 Antibody [NBP1-91995] - Staining of human testis shows strong nuclear positivity in cells in seminiferus ducts.
HMG2L1 Antibody - BSA Free Immunohistochemistry: HMG2L1 Antibody - BSA Free [NBP1-91995]

Immunohistochemistry: HMG2L1 Antibody - BSA Free [NBP1-91995]

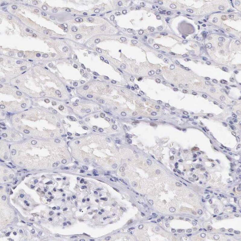
Staining of human kidney shows no positivity in cells in tubules as expected.
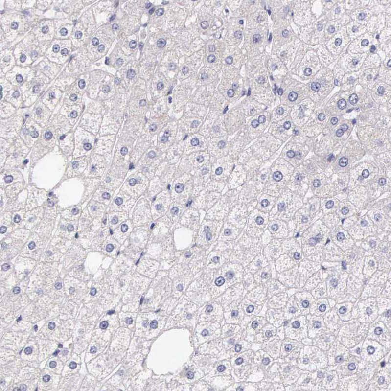
HMG2L1 Antibody - BSA Free Immunohistochemistry: HMG2L1 Antibody - BSA Free [NBP1-91995]

Immunohistochemistry: HMG2L1 Antibody - BSA Free [NBP1-91995]

Staining of human liver shows no positivity in hepatocytes as expected.

Applications for HMG2L1 Antibody - BSA Free

Application
Recommended Usage

Immunohistochemistry

1:200 - 1:500

Immunohistochemistry-Paraffin

1:200 - 1:500
Application Notes
For IHC-Paraffin, HIER pH 6 retrieval is recommended.

Formulation, Preparation, and Storage

Purification

Affinity purified

Formulation

PBS (pH 7.2) and 40% Glycerol

Format

BSA Free

Preservative

0.02% Sodium Azide

Concentration

Concentrations vary lot to lot. See vial label for concentration. If unlisted please contact technical services.

Shipping

The product is shipped with polar packs. Upon receipt, store it immediately at the temperature recommended below.

Stability & Storage

Store at 4C short term. Aliquot and store at -20C long term. Avoid freeze-thaw cycles.

Background: HMG2L1

Negatively regulates Wnt/beta-catenin signaling during development

Alternate Names

High mobility group protein 2-like 1, high-mobility group protein 2-like 1, HMG box domain containing 4, HMG domain-containing protein 4, HMG2L1HMG box-containing protein 4, HMGBCG, Protein HMGBCG, THC211630

Gene Symbol

HMGXB4

Additional HMG2L1 Products

Product Documents for HMG2L1 Antibody - BSA Free

Certificate of Analysis

To download a Certificate of Analysis, please enter a lot number in the search box below.

Product Specific Notices for HMG2L1 Antibody - BSA Free

This product is for research use only and is not approved for use in humans or in clinical diagnosis. Primary Antibodies are guaranteed for 1 year from date of receipt.

Loading...
Loading...
Loading...
Loading...