HMG-CoA Reductase/HMGCR Antibody (CL0260)
Novus Biologicals, part of Bio-Techne | Catalog # NBP3-52096
Recombinant Monoclonal Antibody
Key Product Details
Species Reactivity
Human
Applications
Immunohistochemistry, Immunohistochemistry-Paraffin, Western Blot
Label
Unconjugated
Antibody Source
Recombinant Monoclonal Mouse IgG1 Clone # CL0260
Concentration
1 mg/ml
Product Specifications
Immunogen
This antibody was developed using a recombinant protein derived from P04035, with the exact immunogen sequence remaining proprietary.
Clonality
Monoclonal
Host
Mouse
Isotype
IgG1
Scientific Data Images for HMG-CoA Reductase/HMGCR Antibody (CL0260)
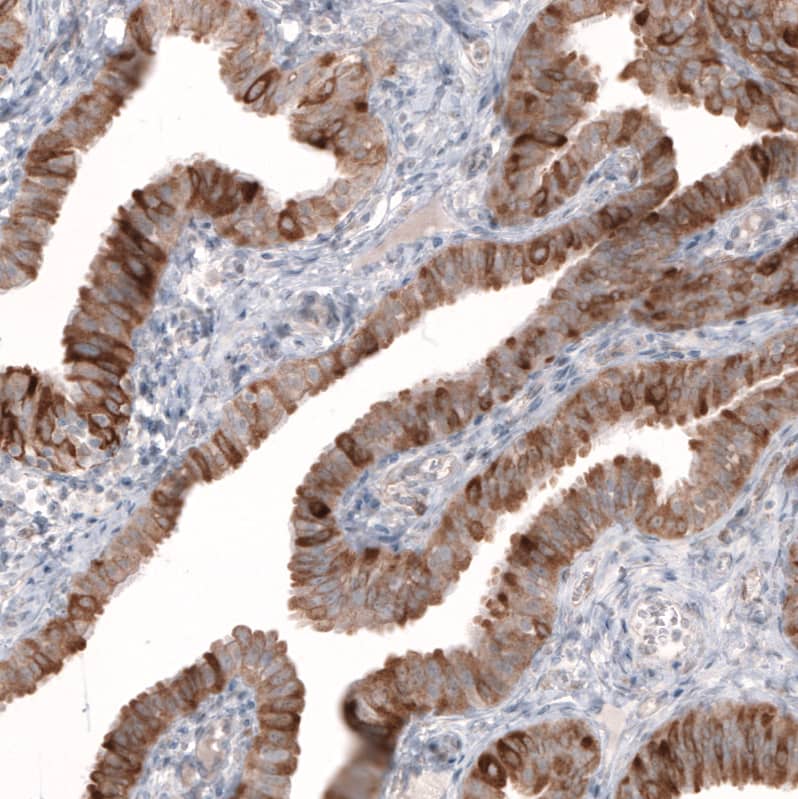
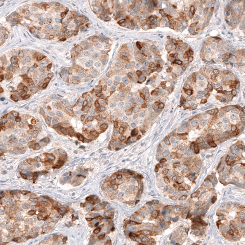
Immunohistochemistry: HMG-CoA Reductase/HMGCR Antibody (CL0260) [NBP3-52096]
Staining of human fallopian tube shows moderate to strong cytoplasmic positivity in glandular cells.Immunohistochemistry: HMG-CoA Reductase/HMGCR Antibody (CL0260) [NBP3-52096]
Staining of human breast cancer shows moderate to strong cytoplasmic positivity in tumor cells.Western Blot: HMG-CoA Reductase/HMGCR Antibody (CL0260) [NBP3-52096]
Analysis in MCF-7 cells transfected with control siRNA, target specific siRNA probe #1 and #2,. Remaining relative intensity is presented. Loading control: Anti-GAPDH.Applications for HMG-CoA Reductase/HMGCR Antibody (CL0260)
Application
Recommended Usage
Immunohistochemistry
1:20 - 1:50
Immunohistochemistry-Paraffin
1:20 - 1:50
Western Blot
1 ug/ml
Application Notes
For IHC-Paraffin, HIER pH 6 retrieval is recommended.
Formulation, Preparation, and Storage
Purification
Protein A purified
Formulation
PBS, pH 7.2, 40% glycerol
Preservative
0.02% Sodium Azide
Concentration
1 mg/ml
Shipping
The product is shipped with polar packs. Upon receipt, store it immediately at the temperature recommended below.
Stability & Storage
Store at 4C short term. Aliquot and store at -20C long term. Avoid freeze-thaw cycles.
Background: HMG-CoA Reductase/HMGCR
Long Name
3-Hydroxy-3-Methylglutaryl-CoA Reductase
Alternate Names
HMGCR, Hydroxymethylglutaryl-CoA Reductase, LDLCQ3
Gene Symbol
HMGCR
Additional HMG-CoA Reductase/HMGCR Products
Product Documents for HMG-CoA Reductase/HMGCR Antibody (CL0260)
Product Specific Notices for HMG-CoA Reductase/HMGCR Antibody (CL0260)
This product is for research use only and is not approved for use in humans or in clinical diagnosis. Primary Antibodies are guaranteed for 1 year from date of receipt.
Loading...
Loading...
Loading...
Loading...