Skip to main content

HMG-CoA Reductase/HMGCR Antibody (CL0259) - Azide and BSA Free

Novus Biologicals, part of Bio-Techne | Catalog # NBP3-43943

Novus Biologicals, part of Bio-Techne

Key Product Details

Validated by

Knockout/Knockdown, Orthogonal Validation

Species Reactivity

Human

Applications

Immunohistochemistry-Paraffin, Western Blot

Label

Unconjugated

Antibody Source

Monoclonal Mouse IgG2A Clone # CL0259

Format

Azide and BSA Free

Concentration

LYOPH mg/ml

Product Specifications

Immunogen

This antibody was generated using a recombinant protein sequence of P04035, with the exact immunogen sequence remaining proprietary.

Clonality

Monoclonal

Host

Mouse

Isotype

IgG2A

Description

Novus Biologicals Mouse HMG-CoA Reductase/HMGCR Antibody (CL0259) - Azide and BSA Free (NBP2-61616) is a monoclonal antibody validated for use in IHC and WB. All Novus Biologicals antibodies are covered by our 100% guarantee.

Scientific Data Images for HMG-CoA Reductase/HMGCR Antibody (CL0259) - Azide and BSA Free

HMG-CoA Reductase/HMGCR Antibody (CL0259) - Azide and BSA Free Immunohistochemistry-Paraffin: HMG-CoA Reductase/HMGCR Antibody [NBP3-43943]

Immunohistochemistry-Paraffin: HMG-CoA Reductase/HMGCR Antibody [NBP3-43943]

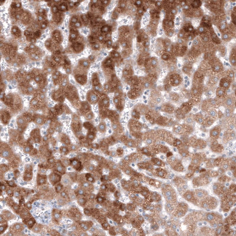
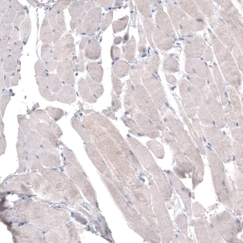
Analysis in human liver and skeletal muscle tissues using NBP3-43943 antibody. Corresponding HMG-CoA Reductase/HMGCR RNA-seq data are presented for the same tissues.
HMG-CoA Reductase/HMGCR Antibody (CL0259) - Azide and BSA Free Immunohistochemistry-Paraffin: HMG-CoA Reductase/HMGCR Antibody [NBP3-43943]

Immunohistochemistry-Paraffin: HMG-CoA Reductase/HMGCR Antibody [NBP3-43943]

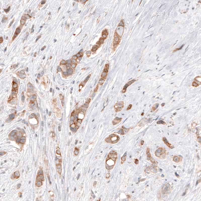
Staining of human breast cancer shows moderate cytoplasmic positivity in tumor cells.
HMG-CoA Reductase/HMGCR Antibody (CL0259) - Azide and BSA Free Immunohistochemistry-Paraffin: HMG-CoA Reductase/HMGCR Antibody [NBP3-43943]

Immunohistochemistry-Paraffin: HMG-CoA Reductase/HMGCR Antibody [NBP3-43943]

Staining of human liver shows moderate cytoplasmic positivity in hepatocytes.

Applications for HMG-CoA Reductase/HMGCR Antibody (CL0259) - Azide and BSA Free

Application
Recommended Usage

Immunohistochemistry-Paraffin

1:20 - 1:50

Western Blot

1 ug/ml
Application Notes
IHC-Paraffin HIER pH6 retrieval is recommended.

Formulation, Preparation, and Storage

Purification

Protein A purified

Reconstitution

Centrifuge the vial of lyophilized antibody at 12,000 x g for 20 seconds. Reconstitute by adding sterile, distilled water to achieve a final antibody concentration of 1mg/ml.

Formulation

Lyophilized from a 0.2 um filtered solution in PBS with Trehalose

Format

Azide and BSA Free

Preservative

No Preservative

Concentration

LYOPH mg/ml

Shipping

The product is shipped at ambient temperature. Upon receipt, store it immediately at the temperature recommended below.

Stability & Storage

Store at 4C short term. Aliquot and store at -20C long term. Avoid freeze-thaw cycles.

Background: HMG-CoA Reductase/HMGCR

HMG-CoA reductase is the rate-limiting enzyme for cholesterol synthesis and is regulated via a negative feedback mechanism mediated by sterols and non-sterol metabolites derived from mevalonate, the product of the reaction catalyzed by reductase. Normally in mammalian cells this enzyme is suppressed by cholesterol derived from the internalization and degradation of low density lipoprotein (LDL) via the LDL receptor. Competitive inhibitors of the reductase induce the expression of LDL receptors in the liver, which in turn increases the catabolism of plasma LDL and lowers the plasma concentration of cholesterol, an important determinant of atherosclerosis. Alternatively spliced transcript variants encoding different isoforms have been found for this gene. [provided by RefSeq]

Long Name

3-Hydroxy-3-Methylglutaryl-CoA Reductase

Alternate Names

HMGCR, Hydroxymethylglutaryl-CoA Reductase, LDLCQ3

Gene Symbol

HMGCR

Additional HMG-CoA Reductase/HMGCR Products

Product Documents for HMG-CoA Reductase/HMGCR Antibody (CL0259) - Azide and BSA Free

Certificate of Analysis

To download a Certificate of Analysis, please enter a lot number in the search box below.

Product Specific Notices for HMG-CoA Reductase/HMGCR Antibody (CL0259) - Azide and BSA Free

This product is for research use only and is not approved for use in humans or in clinical diagnosis. Primary Antibodies are guaranteed for 1 year from date of receipt.

Loading...
Loading...
Loading...
Loading...
Loading...