HLCS Antibody - BSA Free
Novus Biologicals, part of Bio-Techne | Catalog # NBP2-99591
Conjugate
Catalog #
Key Product Details
Species Reactivity
Human
Applications
Immunohistochemistry, Immunohistochemistry-Paraffin
Label
Unconjugated
Antibody Source
Polyclonal Rabbit IgG
Format
BSA Free
Concentration
Please see the vial label for concentration. If unlisted please contact technical services.
Product Specifications
Immunogen
Produced in rabbits immunized with a synthetic peptide corresponding to the center region of the Human HLCS.
Clonality
Polyclonal
Host
Rabbit
Isotype
IgG
Description
This antibody can be stored at 2C to 8C for one month without detectable loss of activity. Antibody products are stable for twelve months from date of receipt when stored at -20C to -80C. Avoid repeated freeze-thaw cycles.
Scientific Data Images for HLCS Antibody - BSA Free
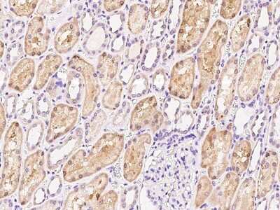
Immunohistochemistry-Paraffin: HLCS Antibody [NBP2-99591]
Immunohistochemistry-Paraffin: HLCS Antibody [NBP2-99591] - Immunochemical staining of human HLCS in human prostatic carcinoma with rabbit polyclonal antibody at 1:200 dilution, formalin-fixed paraffin embedded sections.Immunohistochemistry-Paraffin: HLCS Antibody [NBP2-99591]
Immunohistochemistry-Paraffin: HLCS Antibody [NBP2-99591] - Immunochemical staining of human HLCS in human kidney with rabbit polyclonal antibody at 1:300 dilution, formalin-fixed paraffin embedded sections.Applications for HLCS Antibody - BSA Free
Application
Recommended Usage
Immunohistochemistry-Paraffin
1:100-1:500
Formulation, Preparation, and Storage
Purification
Antigen and protein A Affinity-purified
Formulation
PBS
Format
BSA Free
Preservative
0.03% Proclin 300
Concentration
Please see the vial label for concentration. If unlisted please contact technical services.
Shipping
The product is shipped with polar packs. Upon receipt, store it immediately at the temperature recommended below.
Stability & Storage
Store at 4C short term. Aliquot and store at -20C long term. Avoid freeze-thaw cycles.
Background: HLCS
Alternate Names
Biotin apo-protein ligase, biotin--protein ligase, EC 6.3.4.-, HCSholocarboxylase synthetase, EC 6.3.410holocarboxylase synthetase (biotin-(proprionyl-Coenzyme A-carboxylase(ATP-hydrolysing)) ligase), holocarboxylase synthetase (biotin-(proprionyl-CoA-carboxylase(ATP-hydrolysing)) ligase), holocarboxylase synthetase (biotin-[proprionyl-Coenzyme A-carboxylase(ATP-hydrolysing)] ligase)
Gene Symbol
HLCS
Additional HLCS Products
Product Specific Notices for HLCS Antibody - BSA Free
This product is for research use only and is not approved for use in humans or in clinical diagnosis. Primary Antibodies are guaranteed for 1 year from date of receipt.
Loading...
Loading...
Loading...
Loading...