Skip to main content

HLA DRB1 Antibody (6Z1F10)

Novus Biologicals, part of Bio-Techne | Catalog # NBP3-15950

Recombinant Monoclonal Antibody
Novus Biologicals, part of Bio-Techne
Catalog #
Availability
Size / Price
Qty
Loading...
NBP3-15950-100ul
NBP3-15950-20ul

Key Product Details

Species Reactivity

Human

Applications

Immunohistochemistry, Immunohistochemistry-Paraffin, Western Blot

Label

Unconjugated

Antibody Source

Recombinant Monoclonal Rabbit IgG Clone # 6Z1F10 expressed in HEK293

Concentration

Please see the vial label for concentration. If unlisted please contact technical services.

Product Specifications

Immunogen

A synthetic peptide corresponding to a sequence within amino acids 100-200 of human HLA DRB1 (P01911). ARAAVDTYCRHNYGVVESFTVQRRVQPKVTVYPSKTQPLQHHNLLVCSVSGFYPGSIEVRWFLNGQEEKAGMVSTGLIQNGDWTFQTLVMLETVPRSGEVY

Clonality

Monoclonal

Host

Rabbit

Isotype

IgG

Scientific Data Images for HLA DRB1 Antibody (6Z1F10)

Western Blot: HLA DRB1 Antibody (6Z1F10) [NBP3-15950]

Western Blot: HLA DRB1 Antibody (6Z1F10) [NBP3-15950]

Western Blot: HLA DRB1 Antibody (6Z1F10) [NBP3-15950] - Western blot analysis of extracts of various cell lines, using HLA DRB1 antibody (NBP3-15950) at 1:1000 dilution. Secondary antibody: HRP Goat Anti-Rabbit IgG (H+L) at 1:10000 dilution. Lysates/proteins: 25ug per lane. Blocking buffer: 3% nonfat dry milk in TBST. Detection: ECL Basic Kit. Exposure time: 10s.
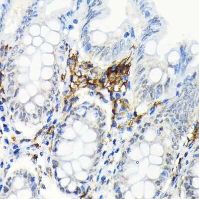
Immunohistochemistry-Paraffin: HLA DRB1 Antibody (6Z1F10) [NBP3-15950]

Immunohistochemistry-Paraffin: HLA DRB1 Antibody (6Z1F10) [NBP3-15950]

Immunohistochemistry-Paraffin: HLA DRB1 Antibody (6Z1F10) [NBP3-15950] - Immunohistochemistry of paraffin-embedded human colon using HLA DRB1 Rabbit mAb (NBP3-15950) at dilution of 1:100 (40x lens).Perform microwave antigen retrieval with 10 mM Tris/EDTA buffer pH 9.0 before commencing with IHC staining protocol.

Applications for HLA DRB1 Antibody (6Z1F10)

Application
Recommended Usage

Immunohistochemistry

1:50 - 1:200

Western Blot

1:500 - 1:1000

Formulation, Preparation, and Storage

Purification

Affinity purified

Formulation

PBS (pH 7.3), 50% glycerol, 0.05% BSA

Preservative

0.02% Sodium Azide

Concentration

Please see the vial label for concentration. If unlisted please contact technical services.

Shipping

The product is shipped with polar packs. Upon receipt, store it immediately at the temperature recommended below.

Stability & Storage

Store at -20C. Avoid freeze-thaw cycles.

Background: HLA-DRB1

HLA DRB1 can be used for HLA typing.

Long Name

Major histocompatibility complex, class II, DR beta 1

Alternate Names

DRB1, HLA-DR1B, HLA-DRB, SS1

Gene Symbol

HLA-DRB1

Additional HLA-DRB1 Products

Product Documents for HLA DRB1 Antibody (6Z1F10)

Certificate of Analysis

To download a Certificate of Analysis, please enter a lot number in the search box below.

Product Specific Notices for HLA DRB1 Antibody (6Z1F10)

This product is for research use only and is not approved for use in humans or in clinical diagnosis. Primary Antibodies are guaranteed for 1 year from date of receipt.

Loading...
Loading...
Loading...
Loading...
Loading...