Skip to main content

HLA-DR Antibody (10-D8-R)

Novus Biologicals, part of Bio-Techne | Catalog # NBP3-32435

Recombinant Monoclonal Antibody
Novus Biologicals, part of Bio-Techne
Catalog #
Availability
Size / Price
Qty
Loading...
NBP3-32435

Key Product Details

Species Reactivity

Human

Applications

Immunohistochemistry, Immunohistochemistry-Paraffin, Western Blot, Immunocytochemistry/ Immunofluorescence

Label

Unconjugated

Antibody Source

Recombinant Monoclonal Mouse IgG1 Clone # 10-D8-R expressed in HEK293

Concentration

1 mg/ml

Product Specifications

Immunogen

Synthetic peptide within Human HLA-DR aa 25-66/254. (Uniprot: P01903)

Localization

Cell membrane. Endoplasmic reticulum membrane.

Clonality

Monoclonal

Host

Mouse

Isotype

IgG1

Theoretical MW

29 kDa.
Disclaimer note: The observed molecular weight of the protein may vary from the listed predicted molecular weight due to post translational modifications, post translation cleavages, relative charges, and other experimental factors.

Description

Novus Biologicals Mouse HLA-DR Antibody (10-D8-R) (NBP3-32435) is a recombinant monoclonal antibody validated for use in IHC, WB and ICC/IF. All Novus Biologicals antibodies are covered by our 100% guarantee.

Scientific Data Images for HLA-DR Antibody (10-D8-R)

HLA-DR Antibody (10-D8-R)

Western Blot: HLA-DR Antibody (10-D8-R) [NBP3-32435]

Western Blot: HLA-DR Antibody (10-D8-R) [NBP3-32435] - Western blot analysis of HLA-DR on different lysates with Mouse anti-HLA-DR antibody (NBP3-32435) at 1/1,000 dilution.

Lane 1: Raji cell lysate
Lane 2: HUT 102 cell lysate

Lysates/proteins at 20 ug/Lane.

Predicted band size: 29 kDa
Observed band size: 33 kDa

Exposure time: 3 minutes;

4-20% SDS-PAGE gel.

Proteins were transferred to a PVDF membrane and blocked with 5% NFDM/TBST for 1 hour at room temperature. The primary antibody (NBP3-32435) at 1/1,000 dilution was used in 5% NFDM/TBST at 4 overnight. Goat Anti-Mouse IgG - HRP Secondary Antibody at 1/50,000 dilution was used for 1 hour at room temperature.
HLA-DR Antibody (10-D8-R)

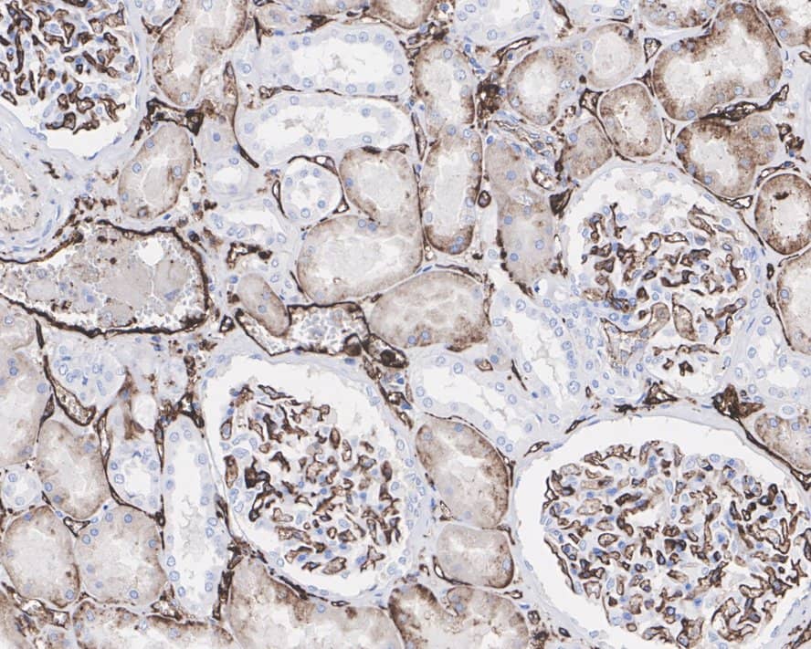
Immunohistochemistry: HLA-DR Antibody (10-D8-R) [NBP3-32435]

Immunohistochemistry: HLA-DR Antibody (10-D8-R) [NBP3-32435] - Immunohistochemical analysis of paraffin-embedded human kidney tissue with Mouse anti-HLA-DR antibody (NBP3-32435) at 1/1,000 dilution.

The section was pre-treated using heat mediated antigen retrieval with Tris-EDTA buffer (pH 9.0) for 20 minutes. The tissues were blocked in 1% BSA for 20 minutes at room temperature, washed with ddH2O and PBS, and then probed with the primary antibody (NBP3-32435) at 1/1,000 dilution for 1 hour at room temperature. The detection was performed using an HRP conjugated compact polymer system. DAB was used as the chromogen. Tissues were counterstained with hematoxylin and mounted with DPX.
HLA-DR Antibody (10-D8-R)

Immunohistochemistry: HLA-DR Antibody (10-D8-R) [NBP3-32435]

Immunohistochemistry: HLA-DR Antibody (10-D8-R) [NBP3-32435] - Immunofluorescence analysis of paraffin-embedded human stomach cancer tissue labeling HLA-DR with Mouse anti-HLA-DR antibody (NBP3-32435) at 1/100 dilution.

The section was pre-treated using heat mediated antigen retrieval with Tris-EDTA buffer (pH 9.0) for 20 minutes. The tissues were blocked in 10% negative goat serum for 1 hour at room temperature, washed with PBS, and then probed with the primary antibody (NBP3-32435, green) at 1/100 dilution overnight at 4 ℃, washed with PBS. Goat Anti-Mouse IgG H&L (iFluor™ 488) was used as the secondary antibody at 1/1,000 dilution. Nuclei were counterstained with DAPI (blue).

Applications for HLA-DR Antibody (10-D8-R)

Application
Recommended Usage

Immunocytochemistry/ Immunofluorescence

1:100

Immunohistochemistry-Paraffin

1:1000

Western Blot

1:1000

Formulation, Preparation, and Storage

Purification

Protein A purified

Formulation

PBS (pH7.4), 0.1% BSA and 40% Glycerol

Preservative

0.05% Sodium Azide

Concentration

1 mg/ml

Shipping

The product is shipped with polar packs. Upon receipt, store it immediately at the temperature recommended below.

Stability & Storage

Store at 4C short term. Aliquot and store at -20C long term. Avoid freeze-thaw cycles.

Background: HLA-DR

Human Leukocyte Antigen -DR isotype (HLA-DR) is a major histocompatibility complex (MHC) class II molecule expressed by antigen presenting cells (APCs) that plays a significant role in immune response (1). Class II molecules also include isoforms HLA-DP and -DQ (1,2). These type I membrane glycoproteins on APCs present peptides to helper T cells and T cell receptors on CD4+ cells (1). In humans, the genes encoding class II MHC proteins are located on chromosome 6p21, where HLA-DR is typically the most highly expressed, followed by HLA-DQ and then HLA-DP (3). Structurally, HLA-DR molecules are heterodimers consisting of an alpha chain subunit with an approximate theoretical molecular weight of 34 kDa and one of many approximately 30 kDa beta subunits (1-3). The alpha and beta genes are considered highly polymorphic with duplication resulting in nine DRB (beta subunit of HLA-DR) genes (DRB1-DRB9); though only DRB1, DRB3, DRB4, and DRB5 are considered functional (2,3). On the other hand, the alpha subunit is encoded by a single DRA gene (2,3). Studies focusing on the structural and biochemical properties of peptides that bind to HLA-DR molecules have helped contribute to subunit vaccine design and development (3).

Given the role in adaptive immunity, HLA-DR allele polymorphisms, gene misexpression, and dysfunction has been implicated in many diseases ranging from autoimmune disorders to cancer (2). HLA-DR is also a classical biomarker for disease, including sepsis where reduced expression of HLA-DR molecules on monocytes, as measured by flow cytometry, indicates diagnosis and prognosis (4,5). Immunosuppression observed with sepsis results in decreased surface expression of HLA-DR and concurrent increase in expression of programmed death 1 (PD-1), cytotoxic T-lymphocyte antigen 4 (CTLA-4), and B and T lymphocyte attenuator (BTLA) (4). This altered expression results in poor T cell response and apoptosis, along with reduced interferon-gamma (IFN-gamma) production and increased pro-inflammatory cytokine release (4). Furthermore, the decrease in HLA-DR expression is also correlated with the decrease in CD14lowCD16+ inflammatory monocytes (5). Interestingly, COVID-19 patients also exhibit a reduction in HLA-DR that correlates with disease severity and immunosuppression (5).

References

1. Andersson G. (1998). Evolution of the human HLA-DR region. Frontiers in bioscience : a journal and virtual library. https://doi.org/10.2741/a317

2. Shiina, T., Hosomichi, K., Inoko, H., & Kulski, J. K. (2009). The HLA genomic loci map: expression, interaction, diversity and disease. Journal of human genetics. https://doi.org/10.1038/jhg.2008.5

3. Stern, L. J., & Calvo-Calle, J. M. (2009). HLA-DR: molecular insights and vaccine design. Current pharmaceutical design. https://doi.org/10.2174/138161209789105171

4. Zhuang, Y., Peng, H., Chen, Y., Zhou, S., & Chen, Y. (2017). Dynamic monitoring of monocyte HLA-DR expression for the diagnosis, prognosis, and prediction of sepsis. Frontiers in bioscience (Landmark edition). https://doi.org/10.2741/4547

5. Benlyamani, I., Venet, F., Coudereau, R., Gossez, M., & Monneret, G. (2020). Monocyte HLA-DR Measurement by Flow Cytometry in COVID-19 Patients: An Interim Review. Cytometry. Part A : the journal of the International Society for Analytical Cytology. https://doi.org/10.1002/cyto.a.24249

Long Name

Major Histocompatibility Complex Class II DR

Alternate Names

HLA-DRA, HLADR, MHC Class II DR

Gene Symbol

HLA-DRA

Additional HLA-DR Products

Product Documents for HLA-DR Antibody (10-D8-R)

Certificate of Analysis

To download a Certificate of Analysis, please enter a lot number in the search box below.

Product Specific Notices for HLA-DR Antibody (10-D8-R)

This product is for research use only and is not approved for use in humans or in clinical diagnosis. Primary Antibodies are guaranteed for 1 year from date of receipt.

Loading...
Loading...
Loading...
Loading...