Skip to main content

HLA DQ/DR/DP Antibody (HLA-Pan/2967R) - Azide and BSA Free

Novus Biologicals, part of Bio-Techne | Catalog # NBP2-79843

Recombinant Monoclonal Antibody
Novus Biologicals, part of Bio-Techne

Key Product Details

Species Reactivity

Human

Applications

Immunohistochemistry, Immunohistochemistry-Paraffin, Western Blot, ELISA, Flow Cytometry, Immunocytochemistry/ Immunofluorescence, Protein Array, CyTOF-ready

Label

Unconjugated

Antibody Source

Recombinant Monoclonal Rabbit IgG Clone # HLA-Pan/2967R

Format

Azide and BSA Free

Concentration

1 mg/ml

Product Specifications

Immunogen

Non-T, non-B human acute lymphoblastic leukemia REH6 cell line

Localization

Cell Surface

Specificity

Reacts with a common epitope of human major histocompatibility (MHC) class II antigens, HLA-DP, -DQ and -DR. Human MHC class II antigens are transmembrane glycoproteins composed ofan alpha chain(36kDa) and a beta chain (27kDa). They are expressed primarily on antigen presenting cells such as B lymphocytes, monocytes, macrophages, and thymic epithelial cells and are also present on activated T lymphocytes. Human MHC class II genes are located in the HLA-D region that encodes at least six and ten genes. Three loci, DR, DQ and DP, encode the major expressed products of the human class II region. The human MHC class II molecules bind intracellularly processed peptides and present them to T-helper cells. They, therefore, have a critical role in the initiation of the immune response. It has been shown that some autoimmune diseases are associated with certain class II alleles.

Clonality

Monoclonal

Host

Rabbit

Isotype

IgG

Description

1.0 mg/ml of antibody purified from Bioreactor Concentrate by Protein A/G. Prepared in 10mM PBS WITHOUT BSA & azide. Also available at 200 ug/ml WITH BSA & azide (NBP2-79709).

Antibody with azide - store at 2 to 8C. Antibody without azide - store at -20 to -80 C.

Scientific Data Images for HLA DQ/DR/DP Antibody (HLA-Pan/2967R) - Azide and BSA Free

Western Blot: HLA DQ/DR/DP Antibody (HLA-Pan/2967R)Azide and BSA Free [NBP2-79843]

Western Blot: HLA DQ/DR/DP Antibody (HLA-Pan/2967R)Azide and BSA Free [NBP2-79843]

Western Blot: HLA DQ/DR/DP Antibody (HLA-Pan/2967R) - Azide and BSA Free [NBP2-79843] - Western Blot Analysis of Ramos cell lysate using HLA DQ/DR/DP Antibody (HLA-Pan/2967R).
Immunocytochemistry/ Immunofluorescence: HLA DQ/DR/DP Antibody (HLA-Pan/2967R) - Azide and BSA Free [NBP2-79843]

Immunocytochemistry/ Immunofluorescence: HLA DQ/DR/DP Antibody (HLA-Pan/2967R) - Azide and BSA Free [NBP2-79843]

Immunocytochemistry/Immunofluorescence: HLA DQ/DR/DP Antibody (HLA-Pan/2967R) - Azide and BSA Free [NBP2-79843] - Immunofluorescence staining of PFA-fixed Ramos cells. HLA DQ/DR/DP Recombinant Rabbit Monoclonal Antibody (HLA DQ/DR/DP/2967R) followed by goat anti-rabbit IgG-CF488 (green). Nuclei stained with RedDot.
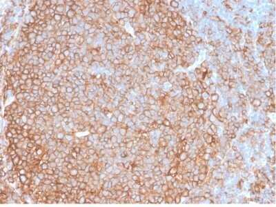
Immunohistochemistry-Paraffin: HLA DQ/DR/DP Antibody (HLA-Pan/2967R) - Azide and BSA Free [NBP2-79843]

Immunohistochemistry-Paraffin: HLA DQ/DR/DP Antibody (HLA-Pan/2967R) - Azide and BSA Free [NBP2-79843]

Immunohistochemistry-Paraffin: HLA DQ/DR/DP Antibody (HLA-Pan/2967R) - Azide and BSA Free [NBP2-79843] - Formalin-fixed, paraffin-embedded human Tonsil stained with HLA DQ/DR/DP Antibody (HLA-Pan/2967R).

Applications for HLA DQ/DR/DP Antibody (HLA-Pan/2967R) - Azide and BSA Free

Application
Recommended Usage

ELISA

2-5 ug/ml

Flow Cytometry

1-2 ug/million cells

Immunocytochemistry/ Immunofluorescence

1-2 ug/ml

Immunohistochemistry

1-2 ug/ml

Immunohistochemistry-Paraffin

1-2 ug/ml

Western Blot

1-2 ug/ml
Application Notes
ELISA: For coating use Ab at 2-5ug/ml, order Ab without BSA.
Immunohistochemistry (Formalin-fixed): 1-2ug/ml for 30 minutes at RT. Staining of formalin-fixed tissues requires heating tissue sections in 10mM Tris with 1mM EDTA, pH 9.0, for 45 min at 95C followed by cooling at RT for 20 minutes.
Optimal dilution for a specific application should be determined.

Formulation, Preparation, and Storage

Purification

Protein A or G purified

Formulation

10 mM PBS

Format

Azide and BSA Free

Preservative

No Preservative

Concentration

1 mg/ml

Shipping

The product is shipped with polar packs. Upon receipt, store it immediately at the temperature recommended below.

Stability & Storage

Store at -20 to -80C. Avoid freeze-thaw cycles.

Background: HLA DQ/DR/DP

The major histocompatibility complex (MHC) is a large genomic region or gene family found in most vertebrates containing many genes with important immune system roles. In humans, the MHC spans almost 4 megabases of chromosome 6 and includes more than 200 known genes, of which about half have known immmunological functions. The best known genes in the MHC region are the subset that encodes cell-surface antigen-presenting proteins. In humans, these genes are referred to as human leukocyte antigen (HLA) genes. The most intensely studied HLA genes are: HLA A, HLA B, HLA C, HLA DPA, HLA DPB1, HLA DQA1, HLA DQB1, HLA DRA, and HLA DRB1. In humans, the HLA is divided into three regions: Class I, II, and III. The A, B, and C genes belong to HLA class I while the six D genes belong to class II.

Alternate Names

CD, CELIAC1DQ alpha 1 chain, DC-1 alpha chain, DQ-A1, FLJ27088, FLJ27328, GSE, HLA class II histocompatibility antigen, DQ(W3) alpha chain, HLA-DCA, HLA-DQA, leucocyte antigen DQA1, leukocyte antigen alpha chain, major histocompatibility complex, class II, DQ alpha 1, MGC149527, MHC class II antigen, MHC class II DQA1, MHC class II HLA-D alpha glycoprotein, MHC class II HLA-DQ-alpha-1, MHC class II surface glycoprotein, MHC HLA-DQ alpha

Gene Symbol

HLA-DQA1

Additional HLA DQ/DR/DP Products

Product Documents for HLA DQ/DR/DP Antibody (HLA-Pan/2967R) - Azide and BSA Free

Certificate of Analysis

To download a Certificate of Analysis, please enter a lot number in the search box below.

Product Specific Notices for HLA DQ/DR/DP Antibody (HLA-Pan/2967R) - Azide and BSA Free

This product is for research use only and is not approved for use in humans or in clinical diagnosis. Primary Antibodies are guaranteed for 1 year from date of receipt.

Loading...
Loading...
Loading...
Loading...
Loading...