Skip to main content

HLA Class I Antibody

Novus Biologicals, part of Bio-Techne | Catalog # NBP2-75928

Novus Biologicals, part of Bio-Techne
Catalog #
Availability
Size / Price
Qty
Loading...
NBP2-75928

Key Product Details

Species Reactivity

Human

Applications

Immunohistochemistry, Immunohistochemistry-Paraffin, Western Blot, Flow Cytometry

Label

Unconjugated

Antibody Source

Polyclonal Rabbit IgG

Concentration

1 mg/ml

Product Specifications

Immunogen

Recombinant protein within Human HLA Class I aa 125-325 / 362. (SwissProt: P30443 Human; SwissProt: P01889 Human; SwissProt: P30499 Human)

Localization

Cell Membrane.

Clonality

Polyclonal

Host

Rabbit

Isotype

IgG

Theoretical MW

41 kDa.
Disclaimer note: The observed molecular weight of the protein may vary from the listed predicted molecular weight due to post translational modifications, post translation cleavages, relative charges, and other experimental factors.

Description

Novus Biologicals Rabbit HLA Class I Antibody (NBP2-75928) is a polyclonal antibody validated for use in IHC, WB and Flow. All Novus Biologicals antibodies are covered by our 100% guarantee.

Scientific Data Images for HLA Class I Antibody

Western Blot: HLA Class I Antibody [NBP2-75928]

Western Blot: HLA Class I Antibody [NBP2-75928]

Western Blot: HLA Class I Antibody [NBP2-75928] - Western blot analysis of HLA Class I on Hela cell lysate using anti-HLA Class I antibody at 1/1,000 dilution.
Flow Cytometry: HLA Class I Antibody [NBP2-75928]

Flow Cytometry: HLA Class I Antibody [NBP2-75928]

Flow Cytometry: HLA Class I Antibody [NBP2-75928] - analysis of Jurkat cells with HLA Class 1 ABC antibody at 1/100 dilution (red) compared with an unlabelled control (cells without incubation with primary antibody; black).
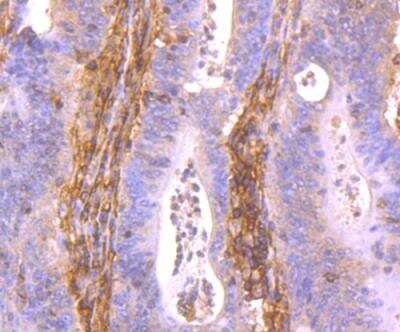
Immunohistochemistry-Paraffin: HLA Class I Antibody [NBP2-75928]

Immunohistochemistry-Paraffin: HLA Class I Antibody [NBP2-75928]

Immunohistochemistry-Paraffin: HLA Class I Antibody [NBP2-75928] - analysis of paraffin-embedded human colon cancer tissue using anti-HLA Class 1 ABC antibody. Counter stained with hematoxylin.

Applications for HLA Class I Antibody

Application
Recommended Usage

Flow Cytometry

1:50-1:200

Immunohistochemistry-Paraffin

1:200-1:500

Western Blot

1:500-1:2000

Formulation, Preparation, and Storage

Purification

Protein A purified

Formulation

PBS (pH7.4), 0.2% BSA, 50% Glycerol

Preservative

0.05% Sodium Azide

Concentration

1 mg/ml

Shipping

The product is shipped with polar packs. Upon receipt, store it immediately at the temperature recommended below.

Stability & Storage

Store at 4C short term. Aliquot and store at -20C long term. Avoid freeze-thaw cycles.

Background: HLA Class I

HLA CLass I is involved in the presentation of foreign antigens to the immune system. This antibody is a valuable reagent for analysing variations in HLA class I expression in different disease states e.g. liver disease, muscular dystrophy, inflammatory myopathy and other neuromuscular disorders. This antibody is also suitable as a positive control for HLA tissue typing and crossmatching.

Long Name

Class I Human Leukocyte Antigen

Alternate Names

HLA-A, HLA-ABC

Gene Symbol

HLA-A

Additional HLA Class I Products

Product Documents for HLA Class I Antibody

Certificate of Analysis

To download a Certificate of Analysis, please enter a lot number in the search box below.

Product Specific Notices for HLA Class I Antibody

This product is for research use only and is not approved for use in humans or in clinical diagnosis. Primary Antibodies are guaranteed for 1 year from date of receipt.

Loading...
Loading...
Loading...
Loading...
Loading...